相关产品推荐更多 >
万千商家帮你免费找货
0 人在求购买到急需产品
- 详细信息
- 文献和实验
- 技术资料
- 免疫原:
A synthetic peptide corresponding to a C-terminal region of Human Prohibitin
- 亚型:
IgG
- 形态:
Liquid
- 保存条件:
Store as concentrated solution. Centrifuge briefly prior to opening vial. For short-term storage (1-2 weeks), store at 4ºC. For long-term storage, aliquot and store at -20ºC or below. Avoid multiple freeze-thaw cycles.
- 克隆性:
Polyclonal
- 标记物:
Unconjugated
- 适应物种:
Human
- 保质期:
12 months from the shipping date of the product.
- 抗原来源:
Human
- 目录编号:
GTX77843
- 级别:
Primary Antibodies
- 库存:
Available
- 供应商:
GeneTex
- 宿主:
Rabbit
- 应用范围:
WB, IHC-P
- 浓度:
0.5-1 mg/ml (Please refer to the vial label for the specific concentration.)
- 靶点:
Prohibitin
- 抗体英文名:
Prohibitin antibody, C-term
- 抗体名:
Prohibitin 抗体, C-term
- 规格:
50 μg
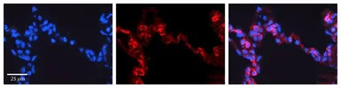
IHC-P analysis of human bronchial epithelial tissue using GTX77843 Prohibitin antibody at 1:600. Left to right:DAPI, PHB, Merge.
IHC-P analysis of human liver tissue using GTX77843 Prohibitin antibody at 1:600. Left to right:DAPI, PHB, Merge.
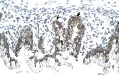
IHC-P analysis of human stomach tissue using GTX77843 Prohibitin antibody at 4.0-8.0μg/ml.
IHC-P analysis of human lung tissue using GTX77843 Prohibitin antibody at 1:600. Left to right:DAPI, PHB, Merge.
WB analysis of Daudi cells using GTX77843 Prohibitin antibody at 1μg/ml.
WB analysis of 293T cells using GTX77843 Prohibitin antibody at 1μg/ml.
WB analysis of Jurkat cells using GTX77843 Prohibitin antibody at 0.2-1μg/ml.
WB analysis of human B lymphoblast cells using GTX77843 Prohibitin antibody at 1μg/ml.
WB analysis of 293T cells using GTX77843 Prohibitin antibody at 1.0μg/ml.
风险提示:丁香通仅作为第三方平台,为商家信息发布提供平台空间。用户咨询产品时请注意保护个人信息及财产安全,合理判断,谨慎选购商品,商家和用户对交易行为负责。对于医疗器械类产品,请先查证核实企业经营资质和医疗器械产品注册证情况。
文献和实验于研究。 性能参数 LIST OF ANTBODY PRODUCTS AP8401a BDP1 N-term Antibody AP8408b MEG2 C-term Antibody AP8451b PPP3CA C-term Antibody AP8449b CTDSP1 C-term Antibody AP8408a MEG2 N-term Antibody AP8451a PPP3CA N-term Antibody AP8449
【资源】全面归类网址:毕赤酵母表达各种来源蛋白(细菌,真菌,植物,人类等)
europaea (olive tree) aeroallergen Ole e 1S, 60 mg/L, α-MF[115, 334, 391]Olea europaea 1,3-β-glucanase Ole e 9 C-term.seg.S, 100 mg/L, α-MF, active486Oleaceae sp. (lilac and privet) pollen allergensS, 30 mg/L, reactive481Pepper endo-b-1,4-glucanase cCel1S
技术资料暂无技术资料 索取技术资料









