万千商家帮你免费找货
0 人在求购买到急需产品
- 详细信息
- 文献和实验
- 技术资料
- 亚型:
IgG
- 保存条件:
Store at -20 °C
- 库存:
20-60
- 供应商:
上海一研
- 浓度:
1mg/ml
- 抗体英文名:
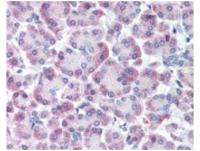
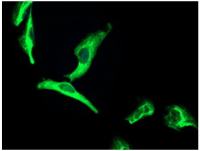
BMP3
- 规格:
0.1ml
风险提示:丁香通仅作为第三方平台,为商家信息发布提供平台空间。用户咨询产品时请注意保护个人信息及财产安全,合理判断,谨慎选购商品,商家和用户对交易行为负责。对于医疗器械类产品,请先查证核实企业经营资质和医疗器械产品注册证情况。
文献和实验baifeng1979 请教各位实验高手,我在做重组人骨形态发生蛋白2(rhBMP-2)的体内缓释实验,实验过程是将复合有rhBMP-2的载体材料植入小鼠四肢肌肉内,定期测定体内rhBMP-2的缓释和表达水平,请问采用什么方法更准确、简便,当初想采用ELISA定期测定小鼠外周血清,但有人说小鼠该蛋白与人有较强的同源性,测定值包含有自身BMP,那么如何将内源性和外源性区别开呢。另外,复合rhBMP-2载体材料植入区软组织的该蛋白的表达和定量用组织匀浆ELISA法
and mitophagy in lung fibroblasts 的研究论文。 该研究表明,骨形态发生蛋白 4 (BMP4) 在 人肺中的下调,在 IPF 疾病发生和进展中起 关键作用,BMP4 信号通路通过调节肺成 纤维细胞的衰老和线粒体自噬抑制肺纤维 化。因此,BMP4 信号的激活可能是治疗 IPF 肺纤维化的一种新型有效的治疗方法。 血清型:AAV9 注射方式:气管内注射 病毒滴度:1x1010 vp/ml 靶向部位:肺 动物模型:C57BL/6 BMP4+/+ and BMP4+/- mice
liushuitao 比如 骨形态发生蛋白BMP、转化生长因子-β1 TGF-β1 、骨钙素 OCN 、碱性磷酸酶ALP等, 已知这些蛋白,怎么从文库中找到与其对应的RNA或DNA呢? 小弟学临床的,对这些了解较少,现写标书要用,望各位大侠赐教。找的方法步骤越详细越好,不甚感激!:) zhujoker 建议借一本生物信息学的书,比如 生物信息学与功能基因组学 = Bioinformatics
技术资料暂无技术资料 索取技术资料









