相关产品推荐更多 >
万千商家帮你免费找货
0 人在求购买到急需产品
- 详细信息
- 文献和实验
- 技术资料
- 靶点:
NG.1
- 克隆性:
多克隆
- 抗原来源:
Rabbit
- 抗体英文名:
Anti-IL-19/NG.1
- 抗体名:
白细胞介素19抗体
- 免疫原:
KLH conjugated synthetic peptide derived from human IL-19/NG.1
- 亚型:
IgG
- 形态:
冻干或液体
- 应用范围:
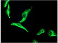
WB,ELISA,IP,ICC等
- 保存条件:
-20 °C
- 规格:
0.2ml/200μg
白细胞介素19抗体产品资料:
英文名称 白细胞介素19抗体
中文名称 Anti-IL-19/NG.1
别 名 Interleukin-19; IL 10C; IL 19; Interleukin 19; MDA1;ZMDA1; IL-19; Melanoma differentiation-associated protein-like protein; NG.1; IL19_HUMAN.
浓 度 1mg/1ml
规 格 0.2ml/200μg
抗体来源 Rabbit
克隆类型 polyclonal
交叉反应 Human, Mouse, Rat, Chicken, Dog, Pig, Cow, Rabbit
产品类型 一抗
研究领域 细胞生物 免疫学
蛋白分子量 predicted molecular weight:
20kDa
性 状 Lyophilized or Liquid
免 疫 原 KLH conjugated synthetic peptide derived from human IL-19/NG.1
亚 型 IgG
纯化方法 affinity purified by Protein A
储 存 液 Preservative: 15mM Sodium Azide, Constituents: 1% BSA, 0.01M PBS, pH 7.4
产品应用 WB=1:100-500 ELISA=1:500-1000 IHC-P=1:100-500 IHC-F=1:100-500 ICC=1:100-500 IF=1:100-500
公司优势:
我司在生物科技领域已立足多年,虽然一路走来很艰难,但是也抗住了大风大浪,并且越来越壮大。专业实力方面,我们的科技人员是专业的,我们的营销人员是专业的,我们的服务是专业的,在实力方面,我们拥有一批爱好钻研的科技人才,攻坚克难就是我们的态度。
我司已经与多家单位建立了合作,包括高等院校、科研院所、医学院以及相关的企业等,合作伙伴多,客户的针对性强,主要服务于生命科学、医学等方面的科研人员以及研究员、学生等;
我司还与国际接轨,代理着许多知名进口品牌,以填补国内需求的空缺。
如需订购,敬请详询我们!
抗体、抗原之间的关系:
抗原是人体免疫系统中需要被清除的东西,诸如病毒、细菌、寄生虫、过敏原等等,而身体里的免疫细胞会主动产生一种专门与其“对抗”或者“结合”抗原的物质,这就是抗体。这种抗原-抗体反应是人体的一种保护机制,使人从疾病中恢复健康或不得病。
有时,抗原和抗体也会相结合,形成抗原-抗体免疫复合物,反而对人体不利,例如乙型溶血性链球菌感染所致的猩红热,在恢复期,由于链球菌与人的肾小球基底膜具有共同的抗原性,就会导致免疫系统产生抗肾小球基底膜抗体,并与肾细胞上的抗原发生结合,形成抗原-抗体免疫复合物,诱导免疫系统,激活补体,导致链球菌感染后的急性肾炎。
大多数情况下,抗原是外来的,抗体是机体免疫系统自产的。但有时,抗原抗体都是机体自产的。如自身免疫性疾病,免疫系统误把自身的细胞当成抗原产生抗体,用自产的抗体和自身的细胞打仗,导致人体的健康问题。有时,抗原是自产的,抗体却可以外来。例如肿瘤细胞就是自产的抗原,人类可以利用单克隆技术制成抗体用于肿瘤的治疗。
抗体和抗原之间的关系复杂,要探究这期间的奥秘,还有漫长的路要走。
与白细胞介素19抗体相关的更多优势产品:
phospho-c-Raf (Ser289) 磷酸化原基因c-Raf抗体规格: 0.1mlMS4A3/CD20L CD20样蛋白抗体(造干细胞4跨膜蛋白3)规格: 0.2ml
兔抗VIM多克隆抗体
英文名:Anti-VIMrabbitpolyclonalantiboy
冷冻(-20℃)避光
兔抗LOX多克隆抗体
英文名:Anti-LOXrabbitpolyclonalantiboy
冷冻(-20℃)避光
Anti-MB211rabbitpolyclonalantiboy
英文名:Anti-MB211rabbitpolyclonalantiboy
冷冻(-20℃)避光
英文名:Anti-IL12Brabbitpolyclonalantiboy
冷冻(-20℃)避光
HDL 高密度脂蛋白抗体规格: 0.2ml
兔抗BST1多克隆抗体
英文名:Anti-BST1rabbitpolyclonalantiboy
冷冻(-20℃)避光
白细胞介素19抗体大鼠骨桥素(OPN)ELISA试剂盒 英文名: OPN ELISA Kit
大鼠肺表面活性物质相关蛋白D(SP-D)ELISA试剂盒 英文名: SP-D ELISA Kit
大鼠促甲状腺素受体(TSHR)ELISA试剂盒 英文名: TSHR ELISA Kit
大鼠白介素35(IL-35)ELISA试剂盒 英文名: IL-35 ELISA Kit
大鼠β2整合素(ITG β2/CD11+CD18)ELISA试剂盒 英文名: ITG β2/CD11+CD18 ELISA Kit
大鼠CD63分子(CD63)ELISA试剂盒 英文名: CD63 ELISA Kit
大鼠1,3-βD葡葡糖苷酶(1,3-βD-Glu)ELISA试剂盒 英文名: 1,3-βD-Glu ELISA Kit
大鼠中性粒细胞激活蛋白3(NAP3)ELISA试剂盒 英文名: NAP3 ELISA Kit
风险提示:丁香通仅作为第三方平台,为商家信息发布提供平台空间。用户咨询产品时请注意保护个人信息及财产安全,合理判断,谨慎选购商品,商家和用户对交易行为负责。对于医疗器械类产品,请先查证核实企业经营资质和医疗器械产品注册证情况。
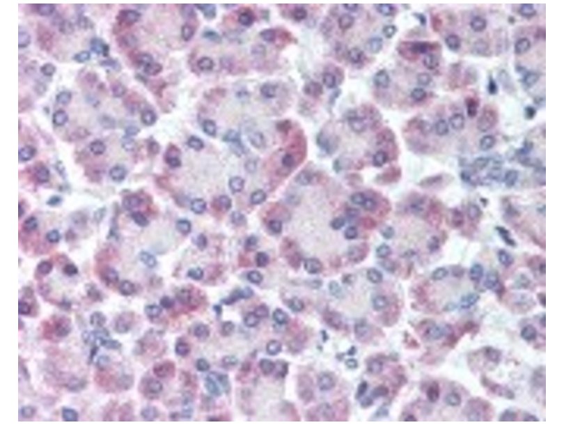
文献和实验白细胞介素 IL-19 IL-19主要产生细胞:单核/巨噬细胞 IL-19氨基酸数目:177 IL-19分子质量(kDa):35~40 IL-19受体:IL20Rα;IL20Rβ IL-19主要生物学活性:属IL10家族细胞因子,单核/巨噬细胞在LPS刺激后可表达,可结合I[120受体 复合物,生物学活性不明。
人微小病毒B19IgM抗体(B19IgM-Ab)酶联免疫分析
人 微小病毒 B19IgM 抗体( B19IgM-Ab ) 酶联免疫分析(ELISA ) 试剂盒使用说明书 本试剂仅供研究使用 目的:本试剂盒用于测定人血清,血浆及相关液体样本中 微小病毒B19IgM 抗体(B19IgM-Ab )水平 。 实验原理: 本试剂盒采用双抗原夹心酶联免疫法( ELISA )测定标本中 人 微小病毒B19IgM 抗体(B19IgM-Ab )水平 。用纯化的 人 微小
人微小病毒B19IgG抗体(B19IgG-Ab)酶联免疫分析
人 微小病毒 B19IgG 抗体( B19IgG-Ab ) 酶联免疫分析(ELISA ) 试剂盒使用说明书 本试剂仅供研究使用 目的:本试剂盒用于测定人血清,血浆及相关液体样本中 微小病毒B19IgG 抗体(B19IgG-Ab )水平 。 实验原理: 本试剂盒采用双抗原夹心酶联免疫法( ELISA )测定标本中 人 微小病毒B19IgG 抗体(B19IgG-Ab )水平 。用纯化的 人 微小
技术资料暂无技术资料 索取技术资料










