相关产品推荐更多 >
万千商家帮你免费找货
0 人在求购买到急需产品
- 详细信息
- 询价记录
- 文献和实验
- 技术资料
- 应用:
12次/24次
- 供应商:
辉骏生物
- 规格:
具体价格请联系辉骏生物:4006991663
| 名称 | 货号 | 规格 | 货期 |
| 动物ChainFree® Flag标签免疫共沉淀试剂盒 |
FI8801 | 12次/24次 | 现货 |
| 动物ChainFree® HA标签免疫共沉淀试剂盒 |
FI8806 | 12次/24次 | 现货 |
| 动物ChainFree® Myc标签免疫共沉淀试剂盒 |
FI8807 | 12次/24次 | 现货 |
| 动物ChainFree® GFP标签免疫共沉淀试剂盒 | FI8808 | 12次/24次 | 现货 |
| 动物ChainFree® mCherry标签免疫共沉淀试剂盒 | FI8809 | 12次/24次 | 现货 |
| 植物ChainFree® Flag标签免疫共沉淀试剂盒 |
FI8811 | 12次/24次 | 现货 |
| 植物ChainFree® HA标签免疫共沉淀试剂盒 |
FI8816 | 12次/24次 | 现货 |
| 植物ChainFree® Myc标签免疫共沉淀试剂盒 |
FI8817 | 12次/24次 | 现货 |
| 植物ChainFree® GFP标签免疫共沉淀试剂盒 | FI8818 | 12次/24次 | 现货 |
| 植物ChainFree® mCherry标签免疫共沉淀试剂盒 | FI8819 | 12次/24次 | 现货 |
ChainFree® 系列标签抗体免疫共沉淀试剂盒简介
DNA重组技术使目标蛋白带上特定标签,表达的融合蛋白再采用标签抗体来检测,为科学研究带来了极大便利。常见的蛋白标签包括Flag、HA、Myc、V5等,这些标签分子量小,对融合蛋白的活性和细胞内定位几乎没有影响。
针对不同样本的需求,辉骏生物开发了分别针对植物和动物样本的5款ChainFree®标签抗体免疫共沉淀试剂盒:
| 产品名称 | 识别的标签序列 | 磁珠偶联抗体 |
| ChainFree® Anti-Flag CoIP试剂盒 | DYKDDDDK | 优化并重组表达的无轻、重链的Flag抗体 |
| ChainFree® Anti-HA CoIP试剂盒 | YPYDVPDYA | 优化并重组表达的无轻、重链的HA抗体 |
| ChainFree® Anti-Myc CoIP试剂盒 | EQKLISEEDL | 优化并重组表达的无轻、重链的Myc抗体 |
| ChainFree® Anti-GFP CoIP试剂盒 | GFP或EGFP绿色荧光蛋白 | 优化并重组表达的无轻、重链的GFP抗体 |
| ChainFree® Anti-mCherry CoIP试剂盒 | mCherry红色荧光蛋白 | 优化并重组表达的无轻、重链的mCherry抗体 |
实验前先将Flag标签、HA标签或GFP标签等与目标蛋白在样本中融合表达。裂解样本后,将Anti-Flag磁珠(或Anti-HA磁珠、Anti-Myc磁珠等)加入样本中,标签抗体与目标融合蛋白及其结合蛋白形成复合体,去除未结合的蛋白后,可以采用多种方法洗脱蛋白质。分离的蛋白产物既可以用Western blot检测已知蛋白,也可以用质谱(LC-MS/MS)鉴定未知蛋白。
免疫共沉淀CoIP试剂盒的应用方向
蛋白-蛋白间的相互作用是蛋白质发挥生物学功能的主要模式,蛋白质会通过结合不同的伙伴来行驶不同的功能,形成复杂的信号转导网络。CO-IP试剂盒采用Flag抗体磁珠、HA抗体磁珠、Myc抗体磁珠、GFP抗体磁珠或mCherry抗体磁珠捕获样本中天然结合的Flag融合蛋白、HA融合蛋白、Myc融合蛋白、GFP融合蛋白或mCherry融合蛋白,以及它们的互作蛋白,不需要购买诱饵蛋白的IP级别抗体,只需要在细胞或组织中表达融合flag标签的诱饵蛋白,即可以利用标签抗体完成内源性Co-IP实验。以下列举了可应用COIP试剂盒的几个研究方向:
1. 病毒、细菌等病原体侵染宿主细胞的机制;
2. 酶和底物的作用机制;
3. 天然状态蛋白调控复合体的研究。
ChainFree®系列CoIP试剂盒-辉骏生物产品优势
1. 无抗体轻重链污染:IP复合物无论采用非变性洗脱还是变性洗脱,均不会出现抗体的轻、重链污染问题。
2. 亲和力强:低nM级别亲和力,轻松应对低拷贝基因,或难转染细胞系。
3. 特异性强:抗体磁珠通过了20株以上的空白细胞系检测,不易产生非特异吸附。
4. 结合量高:每10 µL抗体磁珠可结合约10~15 µg重组蛋白。
5. 兼容性好:无论标签在诱饵蛋白的N端或C端,都可以识别。
6. 稳定性好:通过了45℃高温测试。

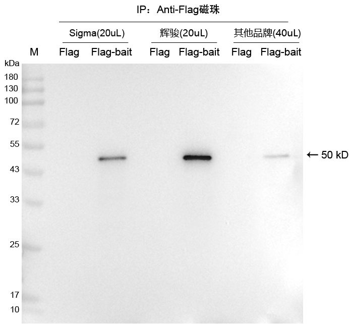
辉骏生物ChainFree®标签抗体磁珠与其他同类产品对比图
Western-Blot结果显示:辉骏生物的ChainFree® 磁珠对诱饵蛋白的亲和力强,IP效果优于sigma产品,远高于国产同类磁珠效果,并且不会产生抗体轻重链污染。

辉骏生物ChainFree®标签抗体磁珠稳定性测试图
Western-Blot结果显示:ChainFree® 磁珠在45℃条件下放置7天,稳定性几乎不受影响。
ChainFree®系列:Flag免疫共沉淀试剂盒组分
| 试剂名称 | 体积(12 Tests) | 体积(24 Tests) | 保存条件 |
| ChainFree® Anti-Flag/HA/Myc/GFP/mCherry磁珠 |
250 μL | 500 μL | 4 ℃ |
| 裂解缓冲液 | 7 mL | 14 mL | 4 ℃ |
| 漂洗液 | 25 mL | 50 mL | 4 ℃ |
| 洗脱缓冲液 | 650 μL | 1.3 mL | -20 ℃ |
| 蛋白酶抑制剂 | 190 μL | 380 μL | -20 ℃ |
Flag/HA/Myc/GFP/mCherry标签免疫共沉淀试剂盒使用流程简述
1. 裂解样本;
2. 样本裂解液与Flag磁珠(或HA磁珠、V5磁珠)孵育;
3. 漂洗、洗脱得到目标蛋白及其互作蛋白复合物。
Anti-Flag CoIP试剂盒使用案例

Co-IP western-blot结果图
Flag免疫共沉淀(flag co-ip)试剂盒—客户文章
![]() |
1. Li H.B. et al: The plant ESCRT component FREE1 shuttles to the nucleus to attenuate abscisic acid signaling. Nature Plants. 2019,IF=17.352. |
风险提示:丁香通仅作为第三方平台,为商家信息发布提供平台空间。用户咨询产品时请注意保护个人信息及财产安全,合理判断,谨慎选购商品,商家和用户对交易行为负责。对于医疗器械类产品,请先查证核实企业经营资质和医疗器械产品注册证情况。
- 作者
- 内容
- 询问日期
文献和实验|
1. Li H.B. et al: The plant ESCRT component FREE1 shuttles to the nucleus to attenuate abscisic acid signaling. Nature Plants. 2019,IF=17.352. |
L? Protein A—只与 Fc 区域结合 Protein G—结合 Fc 区域和部分轻链 Protein A/G—重组蛋白,兼具 Protein A 和 Protein G 的结合位点 Protein L—结合仅限于那些含有 κ 轻链的抗体 省事且通用可选择 Protein A/G,也可根据结合力表格进行选择,详见资源信息部分 3、基质—琼脂糖还是磁珠? 琼脂糖 磁珠 优点 简单易用,无需辅助设备 操作简单 孔径大,直径大(50-150
-Glu-Glu-Asp-Leu,这11个氨基酸作为抗原表位表达在不同的蛋白质框架中仍可识别其相应抗体。C-Myc tag已成功应用在 Western-blot杂交技术、免疫沉淀和流式细胞计量术中, 可用于检测重组蛋白质在靶细胞中的表达。 eGFP eGFP标签蛋白,是增强型绿色荧光蛋白eGFP,激发波长为488nm,发射波长为507nm,其是由野生型绿色荧光蛋白GFP通过氨基酸突变和密码子优化而来的。相对于GFP,eGFP荧光强度更强、荧光性质更稳定。同时载体中构建
掌握了分子生物学的各种试验技术,并研制成套试剂盒,使基因克隆表达变得越来越容易lIl。但分子生物学的上游工作往往并非是最终目的,分子克隆与表达的关键是要拿到纯的表达产物,以研究其生物学作用,或者大量生产出可用于疾病治疗的生物制品。相对与上游工作来说,分子克隆的下游工作显得更难,蛋白纯化工作非常复杂,除了要保证纯度外,蛋白产品还必须保持其生物学活性。纯化工艺必须能够每次都能产生相同数量和质量的蛋白,重复性良好。这就要求应用适应性非常强的方法而不是用能得到纯蛋白的最好方法去纯化蛋白。在实验室条件下的好方法
技术资料暂无技术资料 索取技术资料











