相关产品推荐更多 >
万千商家帮你免费找货
0 人在求购买到急需产品
- 详细信息
- 文献和实验
- 技术资料
- 供应商:
上海机纯实业有限公司
- 库存:
大量
- 年限:
12个月
- 英文名:
ARPE-19
- 规格:
T25
| 目录号 | JC-Y1051 |
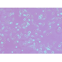
| 细胞英文(简称) | ARPE-19 |
| 细胞名称 | ARPE-19人视网膜上皮细胞 |
| 背景资料 | 收到细胞,请查看瓶子是否有破裂,培养基是否漏出,是否浑浊,如有请尽快和我们联系。如包装完,取出25cm2培养瓶,75%酒精消毒,拆下封口膜,在显微镜下观察细胞形态是否正常,细胞的贴壁情况以及细胞密度,然后放入37℃,5%CO2细胞培养箱中静置2-3小时,以稳定细胞状态。 |
| 细胞来源 | ATCC |
| 代次 | P3 |
| 规格 | T25 |
| 细胞数 | 50-100万 |
| 价格 | 电议 |
| 生物安全级别 | 2 |
| 组织来源 | 视网膜 |
| 细胞形态 | 贴壁;上皮细胞样 |
| 细胞活力 | 95%(Viability by Trypan Blue Exclusion) |
| 细胞检测 | 细胞不含有HIV-1、HBV、HCV、支原体、细菌、酵母和真菌 |
| 培养条件 | DMEM (高糖)+10% FBS;37℃,5% CO2 |
| 传代方法 | 建议1:2-1:3 两天换液一次 |
| 冻存条件 | 完全培养基50%+40%FBS+10%DMSO |
风险提示:丁香通仅作为第三方平台,为商家信息发布提供平台空间。用户咨询产品时请注意保护个人信息及财产安全,合理判断,谨慎选购商品,商家和用户对交易行为负责。对于医疗器械类产品,请先查证核实企业经营资质和医疗器械产品注册证情况。
文献和实验吸出培养瓶中的培养基,用PBS液洗涤1-2次; 加入已经在37度预热的消化液(0。25%胰酶+0。02%EDTA)少量(估计可以平铺培养瓶底部即可); 在镜下看到细胞退缩变园,立即给予少量培养基终止消化,我一般的消化时间就在1分钟之内很好消化; 再用弯管吹打细胞成单细胞悬液后,按1:2或1:3分瓶即可。
上皮层。以PBS液漂洗眼杯2次,吸干; 4. 加入0.01%EDTA-0.125%胰蛋白酶的混合消化液,置于无菌的烧杯中。于37℃恒温箱中消化30min; 5. 吸去消化液。用PBS液稍洗。加入有血清培养液终止消化酶的作用,并用毛细吸管轻轻吹打眼杯内壁,以使视网膜色素上皮细胞脱落; 6. 收集眼杯内的细胞悬液,离心(800r/min)8min; 7. 弃上清液,将沉淀的视网膜色素上皮细胞重新用培养液悬浮。计数; 8. 以8×104—10×104
为一个复合的电反应。引导的方法是将一个引导电极与角膜接触,将另一个面积较大的参照电极放在额部,当给视网膜以光刺激时,可在示波器上记录到一系列电变化,即视网膜电图。视网膜电图可分成几个部分,一个典型的视网膜电图如附图中的粗线所示。光刺激下,开始有一个小的负波(角膜为负),称 a波,然后出现一个正(角膜为正)的 b波。如刺激强度较大,则在 b波之后,还有一个上升较缓慢的正波(角膜为正),称 c波。在光刺激结束时,还会有一个角膜为正的向上突起,称 d波。据分析, a波主要
技术资料暂无技术资料 索取技术资料




![[HLF-a细胞]人肺细胞](https://img1.dxycdn.com/2019/0221/433/3330136142489445410-14.jpg!wh200)


![[Calu-3细胞]人肺腺癌细胞](https://img1.dxycdn.com/2019/0221/351/3330136795324617277-14.jpg!wh200)


