相关产品推荐更多 >
万千商家帮你免费找货
0 人在求购买到急需产品
- 详细信息
- 文献和实验
- 技术资料
- 供应商:
上海机纯实业有限公司
- 库存:
大量
- 年限:
12个月
- 英文名:
HEC-1-A
- 规格:
T25
| 目录号 | JC-Y1198 |
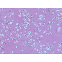
| 细胞英文(简称) | HEC-1-A |
| 细胞名称 | HEC-1-A [HEC-1A;HEC1A]人子宫内膜腺癌细胞 |
| 背景资料 | 这株细胞及其亚株HEC-1-B是H. Kuramoto及其同事1968年从一位IA期子宫内膜癌患者身上分离得到的。PAF可以诱导其c-fos的表达。 |
| 细胞来源 | ATCC |
| 代次 | P3 |
| 规格 | T25 |
| 细胞数 | 50-100万 |
| 价格 | 电议 |
| 生物安全级别 | 2 |
| 组织来源 | 腺癌;子宫;子宫内膜炎 |
| 细胞形态 | 贴壁;上皮细胞样 |
| 细胞活力 | 95%(Viability by Trypan Blue Exclusion) |
| 细胞检测 | 95%(Viability by Trypan Blue Exclusion) |
| 培养条件 | McCoy’s 5A +10% FBS;37℃,5% CO2 |
| 传代方法 | 建议1:2-1:3 两天换液一次 |
| 冻存条件 | 完全培养基50%+40%FBS+10%DMSO |
风险提示:丁香通仅作为第三方平台,为商家信息发布提供平台空间。用户咨询产品时请注意保护个人信息及财产安全,合理判断,谨慎选购商品,商家和用户对交易行为负责。对于医疗器械类产品,请先查证核实企业经营资质和医疗器械产品注册证情况。
文献和实验between myeloid cell leukemia 1 protein (MCL1) and fortilin. J. Biol. Chem. 277(40):37430-37438. Martin-Lluesma S, Stucke VM, and Nigg EA. (2002). Role of Hec1 in spindle checkpoint signaling and kinetochore recruitment of Mad1/Mad2. Science 297:2267-2270
CD31 分子 CD31 常用单克隆抗体或代号: SG134,TM3,HEC- 75;(PECAM、EndoCAM) 主要表达细胞: Pt,M,G,B,NK,Tsub [AS] 分子质量(kDa)和结构: gp140,血小板GPⅡa(IgSF) 功 能: 嗜同性或嗜异性(与CD38互为受体)粘附,炎症,En功能 CD31 Aka
, Mnjoyan ZH, and Fujise K. (2002). Physical and functional interaction between myeloid cell leukemia 1 protein (MCL1) and fortilin. J. Biol. Chem. 277(40):37430-37438. 36. Martin-Lluesma S, Stucke VM, and Nigg EA. (2002). Role of Hec1 in spindle
技术资料暂无技术资料 索取技术资料




![[KiMA细胞]人胚肾上皮细胞系](https://img1.dxycdn.com/2019/0221/267/3330142378782139663-14.jpg!wh200)

![[E1C4细胞]人胚胎干细胞](https://img1.dxycdn.com/2019/0221/662/3330155214291981274-14.jpg!wh200)



