相关产品推荐更多 >

CHRAC1 Rabbit pAb, HRP conjugated(bs-13924R-HRP)-100ul
¥2980
human CD8 Mouse mAb, APC-Cy5.5 conjugated(bsm-30094M-APC-Cy5.5)-25T/50T/100T
¥1080
Pleiotrophin Rabbit pAb(bs-2444R)-50ul/100ul/200ul
¥1180
Growth hormone receptor Rabbit pAb, RBITC conjugated(bs-0654R-RBITC)-100ul
¥2980
phospho-C-Myc (Ser62) Rabbit pAb(bs-23392R)-50ul/100ul/200ul
¥1180
万千商家帮你免费找货
0 人在求购买到急需产品
- 详细信息
- 文献和实验
- 技术资料
- 应用范围:
产品信息以Bioss网站为准
- 规格:
50ul/100ul/200ul
| 规格: | 50ul | 产品价格: | ¥1180.0 |
|---|---|---|---|
| 规格: | 100ul | 产品价格: | ¥1980.0 |
| 规格: | 200ul | 产品价格: | ¥2800.0 |
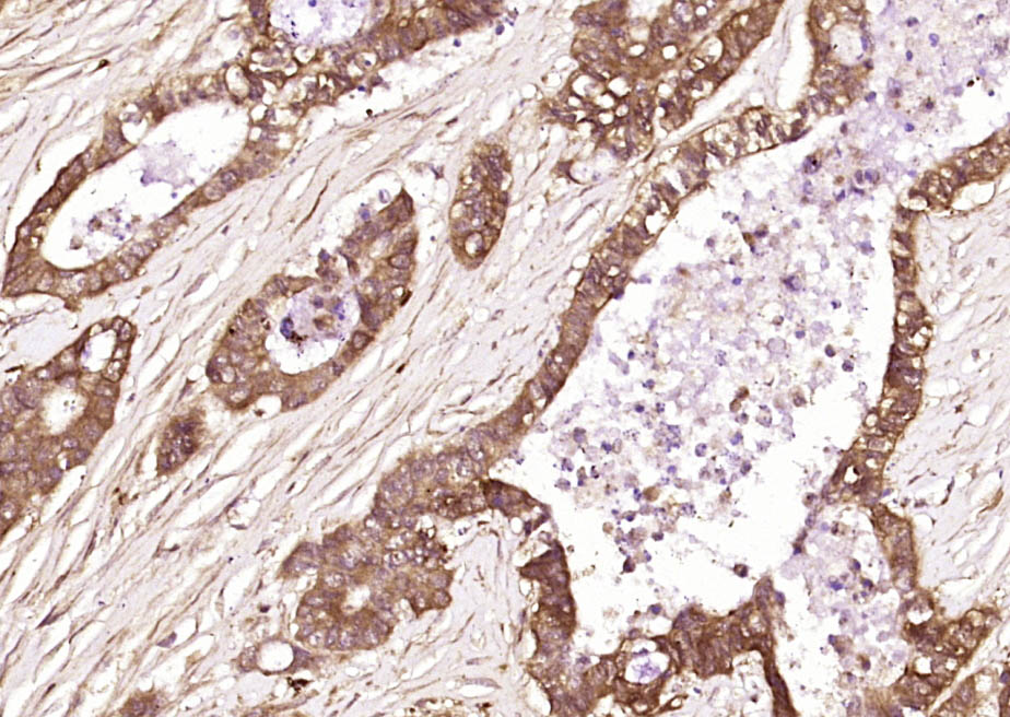
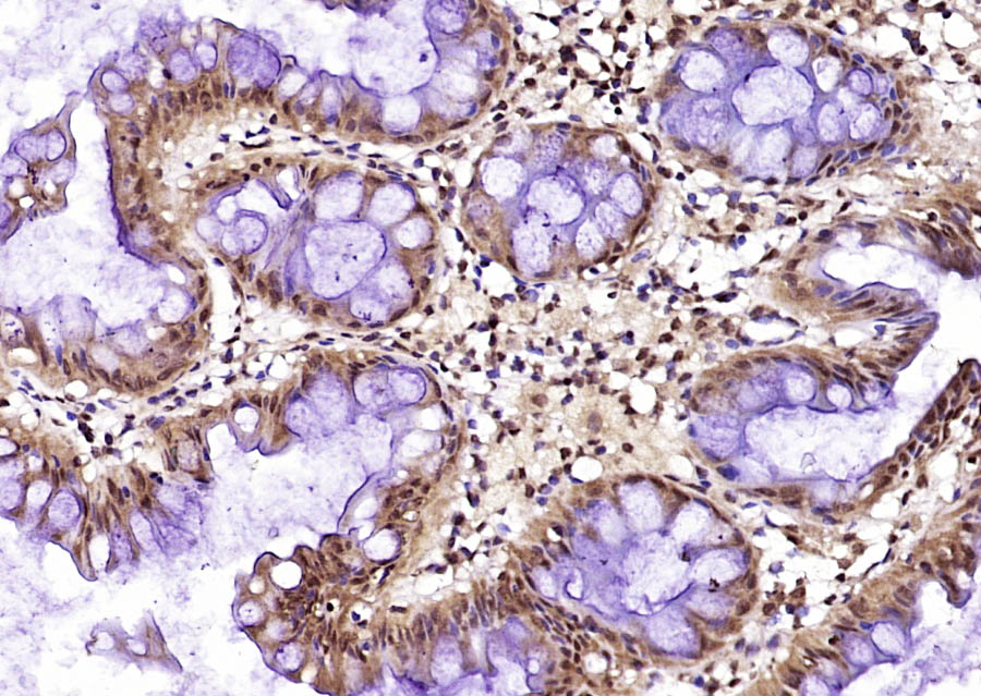
| 产品编号 | bs-21819R |
| 英文名称 | CK II beta Rabbit pAb |
| 中文名称 | 丝/苏氨酸蛋白激酶II β抗体 |
| 英文别名 | Casein kinase 2 beta polypeptide; casein kinase IIβ; Casein kinase II subunit beta; CK II beta; CK2B; CK2N; CSK2B; CSK2B_HUMAN; CSNK 2B; CSNK2B; G5A; MGC138222; MGC138224; Phosvitin; Protein G5a. |
| 产品应用 | IHC-P=1:100-500, IHC-F=1:100-500, IF=1:100-500 Not yet tested in other applications. |
| 交叉反应 | Human, Rat (Mouse, Chicken, Pig, Cow, Horse, Rabbit, Sheep) |
| 抗体来源 | Rabbit |
| 免疫原 | KLH conjugated synthetic peptide derived from human CK II beta |
| 亚型 | IgG |
| 性状 | Liquid |
| 纯化方法 | affinity purified by Protein A |
| 克隆类型 | Polyclonal |
| 理论分子量 | 25 kDa |
| 浓度 | 1mg/ml |
| 储存液 | 0.01M TBS (pH7.4) with 1% BSA, 0.02% Proclin300 and 50% Glycerol. |
| 研究领域 | Cell Biology > Cell Cycle > Kinases/Phosphatases Stem Cells > Signaling Pathways > Wnt > Cytoplasmic |
| 亚基 | Tetramer composed of an alpha subunit, an alpha' subunit and two beta subunits. The beta subunit dimerization is mediated by zinc ions. Interacts with TCTEX1D3. Interacts with CD163. Also component of a CK2-SPT16-SSRP1 complex composed of SSRP1, SUPT16H, CSNK2A1, CSNK2A2 and CSNK2B, the complex associating following UV irradiation. Interacts with MUSK; mediates phosphorylation of MUSK by CK2. |
| 翻译后修饰 | Phosphorylated by alpha subunit. |
| 相似性 | Belongs to the casein kinase 2 subunit beta family. |
| 功能 | Participates in Wnt signaling. Plays a complex role in regulating the basal catalytic activity of the alpha subunit. |
| 保存条件 | Shipped at 4℃. Store at -20℃ for one year. Avoid repeated freeze/thaw cycles. |
| 注意事项 | This product as supplied is intended for research use only, not for use in human, therapeutic or diagnostic applications. |
| 背景资料 | This gene encodes the beta subunit of casein kinase II, a ubiquitous protein kinase which regulates metabolic pathways, signal transduction, transcription, translation, and replication. The enzyme is composed of three subunits, alpha, alpha prime and beta, which form a tetrameric holoenzyme. The alpha and alpha prime subunits are catalytic, while the beta subunit serves regulatory functions. The enzyme localizes to the endoplasmic reticulum and the Golgi apparatus. [provided by RefSeq, Jul 2008]. |
| 应用 | 推荐稀释比例 |
| {IHC-P} | {1:100-500} |
| {IHC-F} | {1:100-500} |
| {IF} | {1:100-500} |



风险提示:丁香通仅作为第三方平台,为商家信息发布提供平台空间。用户咨询产品时请注意保护个人信息及财产安全,合理判断,谨慎选购商品,商家和用户对交易行为负责。对于医疗器械类产品,请先查证核实企业经营资质和医疗器械产品注册证情况。
文献和实验of glycogensynthase kinase-3beta by bivalent zinc ions: insight into the insulin-mimetic action of zinc. Biochem Biophys Res Commun. 295 , 102–106. 19. Leclerc S, Garnier M, Hoessel R, et al. (2001) Indirubins inhibit glycogen synthase kinase-3 beta
PriCells: Introduction of Isolation and Culture of Human Alveolar Epithelial Cells
for most in vitro studies of alveolar epithelial function (e.g., transport and various metabolic pathways). The primary culture of human alveolar epithelial cells involves isolation, purification, and culture of alveolar epithelial type II (ATII) cells from human
, Yoon JK, Song DK, Nam JS, Lee SS. R-spondin (Rspo)s proteins are a new group of Wnt/beta-catenin signaling agonists. These signaling molecules are known to be involved in the developmental stages of skeletal system. Recent studies in various murine
技术资料暂无技术资料 索取技术资料





