相关产品推荐更多 >

FOXP3 Rabbit pAb, APC conjugated(bs-10211R-APC)-100ul
¥2980
Arginase2 Recombinant Mouse mAb(bsm-60263M)-50ul/100ul/25ul
¥800
phospho-beta Actin (Tyr53) Rabbit pAb, APC-Cy7 conjugated(bs-12581R-APC-Cy7)-100ul
¥2980
DPP4/CD26 Rabbit pAb, BF350 conjugated(bs-2570R-BF350)-100ul
¥2980
DNAJB12 Rabbit pAb(bs-14371R)-50ul/100ul/200ul
¥1180
万千商家帮你免费找货
0 人在求购买到急需产品
- 详细信息
- 文献和实验
- 技术资料
- 应用范围:
产品信息以Bioss网站为准
- 规格:
50ul/100ul/200ul
| 规格: | 50ul | 产品价格: | ¥1180.0 |
|---|---|---|---|
| 规格: | 100ul | 产品价格: | ¥1980.0 |
| 规格: | 200ul | 产品价格: | ¥2800.0 |
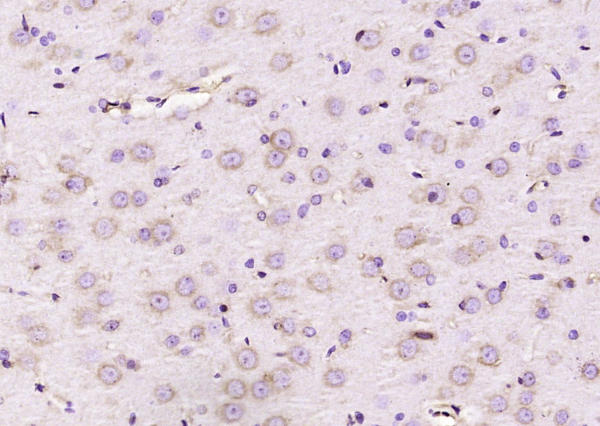
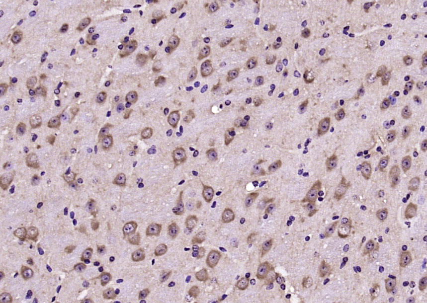
| 产品编号 | bs-21663R |
| 英文名称 | Notch 2 Rabbit pAb |
| 中文名称 | 跨膜受体蛋白Notch-2抗体 |
| 英文别名 | Neurogenic locus notch homolog protein 2; activated Notch 2; Notch2; hN2; Notch 2 extracellular truncation; Notch 2 intracellular domain; AGS2; hN2; Motch B; N2 antibody neurogenic locus notch homolog protein 2; NOTC2_HUMAN; Notch 2; Notch Drosophila homolog 2; Notch homolog 2; Notch homolog 2 Drosophila. |
| 产品应用 | IHC-P=1:100-500, IHC-F=1:100-500, IF=1:100-500 Not yet tested in other applications. |
| 交叉反应 | Mouse, Rat (Human) |
| 抗体来源 | Rabbit |
| 免疫原 | KLH conjugated synthetic peptide derived from human Notch 2 |
| 亚型 | IgG |
| 性状 | Liquid |
| 纯化方法 | affinity purified by Protein A |
| 克隆类型 | Polyclonal |
| 理论分子量 | 262 kDa |
| 浓度 | 1mg/ml |
| 储存液 | 0.01M TBS (pH7.4) with 1% BSA, 0.02% Proclin300 and 50% Glycerol. |
| 研究领域 | Epigenetics and Nuclear Signaling > Transcription > Other factors Neuroscience > Neurology process > Notch Pathway Stem Cells > Neural Stem Cells > Surface Molecules Stem Cells > Signaling Pathways > Notch > Nuclear Stem Cells > Signaling Pathways > Notch > Surface Molecules |
| 亚基 | Heterodimer of a C-terminal fragment N(TM) and an N-terminal fragment N(EC) which are probably linked by disulfide bonds (By similarity).Interacts with MAML1, MAML2 and MAML3 which act as transcriptional coactivators for NOTCH2. Interacts with RELA/p65 (By similarity). |
| 亚细胞定位 | Cell membrane; Single-pass type I membrane protein. Notch 2 intracellular domain: Nucleus. |
| 组织特异性 | Expressed in the brain, heart, kidney, lung, skeletal muscle and liver. Ubiquitously expressed in the embryo. |
| 翻译后修饰 | Synthesized in the endoplasmic reticulum as an inactive form which is proteolytically cleaved by a furin-like convertase in the trans-Golgi network before it reaches the plasma membrane to yield an active, ligand-accessible form. Cleavage results in a C-terminal fragment N(TM) and a N-terminal fragment N(EC). Following ligand binding, it is cleaved by TNF-alpha converting enzyme (TACE) to yield a membrane-associated intermediate fragment called notch extracellular truncation (NEXT). This fragment is then cleaved by presenilin dependent gamma-secretase to release a notch-derived peptide containing the intracellular domain (NICD) from the membrane (By similarity). |
| 相似性 | Belongs to the NOTCH family. Contains 6 ANK repeats. Contains 35 EGF-like domains. Contains 3 LNR (Lin/Notch) repeats. |
| 保存条件 | Shipped at 4℃. Store at -20℃ for one year. Avoid repeated freeze/thaw cycles. |
| 注意事项 | This product as supplied is intended for research use only, not for use in human, therapeutic or diagnostic applications. |
| 背景资料 | Functions as a receptor for membrane-bound ligands Jagged1, Jagged2 and Delta1 to regulate cell-fate determination. Upon ligand activation through the released notch intracellular domain (NICD) it forms a transcriptional activator complex with RBPJ/RBPSUH and activates genes of the enhancer of split locus. Affects the implementation of differentiation, proliferation and apoptotic programs. |
| 应用 | 推荐稀释比例 |
| {IHC-P} | {1:100-500} |
| {IHC-F} | {1:100-500} |
| {IF} | {1:100-500} |


风险提示:丁香通仅作为第三方平台,为商家信息发布提供平台空间。用户咨询产品时请注意保护个人信息及财产安全,合理判断,谨慎选购商品,商家和用户对交易行为负责。对于医疗器械类产品,请先查证核实企业经营资质和医疗器械产品注册证情况。
文献和实验[IF={{ 4.2 }}] {Xia Liang. et al. Notch2 improves granulosa cell functions in premature ovarian failure by activating the Wnt2/β-catenin pathway. J OVARIAN RES. 2025 Jul;18:169} {WB} {Mouse,Human}
[IF={{ 3.881 }}] {Yawen Fang. et al. Perinatal exposure to nonylphenol promotes proliferation of granule cell precursors in offspring cerebellum: Involvement of the activation of Notch2 signaling. Neurochem Int. 2020 Nov;140:104843} {IF} {Dog}
技术资料暂无技术资料 索取技术资料






