万千商家帮你免费找货
0 人在求购买到急需产品
- 详细信息
- 询价记录
- 文献和实验
- 技术资料
- 提供商:
深圳市拓普生物科技有限公司
- 服务名称:
铁死亡整体研究方案
服务内容
一、研究铁死亡常用的抑制剂/诱导剂
1、抑制剂:铁螯合剂、抗氧化物(如维生素E、GSH等)、ROS形成抑制剂(如ferrostatin-1、SRS8-24等);
2、诱导剂:Erastin及其衍生物、RSL3、索拉非尼等;
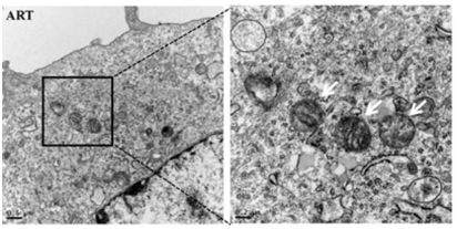
二、有关铁死亡的研究项目,其观察检测指标可以从以下几个方面开展,即形态学、生物学、基因、蛋白
形态学:线粒体超微结构;

透射电镜观察细胞形态
2)生物学特征:活性氧、铁离子;

荧光探针检测活性氧

组织中铁离子检测
3)基因/蛋白水平:检测与铁死亡相关的蛋白表达,如PTGS2、NOX1、FTH1、COX2、GPX4、ACSL4等;
4)拟研究的观察指标。
风险提示:丁香通仅作为第三方平台,为商家信息发布提供平台空间。用户咨询产品时请注意保护个人信息及财产安全,合理判断,谨慎选购商品,商家和用户对交易行为负责。对于医疗器械类产品,请先查证核实企业经营资质和医疗器械产品注册证情况。
- 作者
- 内容
- 询问日期
文献和实验三句话读懂一篇 CNS:神奇细菌可降解尼古丁,减少吸烟危害;瘦的女性,心脏功能反而更好?
variants associated with human height。 该研究对 540 万个参与者的 DNA 样本进行了研究,是有史以来规模最大的全基因组关联分析(GWAS),发现人与人之间的身高差异,80% 由遗传因素决定。其中 12000 多个基因变异,在欧洲血统人群中能够解释 40% 的身高差异;在非欧洲血统人群中,能够解释 10%~20% 的身高差异。 图 2:来源 Nature 3. Cell Metabolism:揭示三阴性乳腺癌铁死亡异质性 三阴性乳腺癌(TNBC)约占整体
相关专题蛋白质组蛋白质组(proteome)一词是澳大利亚科学家Williams和Wilkins于1994年首先提出的,它是指一个细胞或一个组织基因组所表达的全部蛋白质总和,是对应于一个基因组的所有蛋白质构成的整体。短短20年间,蛋白质组的研究取得了惊人的进展,这相当程度上要归功于质谱技术在蛋白质组中的应用和不断发展。同时,蛋白质组和基因组的发展是相辅相成的,凡是经过基因组测序的物种,都可以用质谱技术大规模鉴定其蛋白质组成。当前,比较主流的蛋白质组学研究方案当属LC-MS/MS系统, LC
三句话读懂一篇 CNS,保护肾脏,肠道微生物是关键;千古谜题,为何哪吒需怀胎三年...
clock periods are due to differential biochemical reaction speeds 的研究论文作者来自日本理化学研究所的团。该团队也发现同一种蛋白质,不管是人源还是属源的,在人类细胞中降解的速度更慢。虽然目前仍没有找到更深入的原因,但是这两篇文章都说明细胞整体的生化反应速率在影响发育速度中发挥重要作用。图片来源:Science 2. 论肌肉是如何炼成的美国丹娜 - 法伯癌症研究所 Edward T. Chouchani 团队在 Cell 杂志发表了题为
技术资料暂无技术资料 索取技术资料








