相关产品推荐更多 >
万千商家帮你免费找货
0 人在求购买到急需产品
- 详细信息
- 文献和实验
- 技术资料
- 免疫原:
Recombinant protein
- 形态:
liquid
- 保存条件:
Store at -20˚C
- 克隆性:
Monoclonal antibody
- 适应物种:
Human;Mouse;Rat
- 保质期:
12 months
- 抗原来源:
Recombinant Rabbit
- 供应商:
南京赛戈巍生物科技有限公司
- 宿主:
Recombinant Rabbit
- 应用范围:
WB, IHC, IP, ICC
- 靶点:
Uniprot:P02792
- 抗体英文名:
Ferritin Light Chain Rabbit mAb
- 规格:
50ul/100ul
Ferritin L subunit antibody
Ferritin light chain antibody
Ferritin light polypeptide antibody
ferritin light polypeptide like 3 antibody
FRIL_HUMAN antibody
FTL antibody
LFTD antibody
NBIA 3 antibody
NBIA3 antibody
计算分子量:54 kDa
配方:1*TBS (pH7.4), 1%BSA, 40%Glycerol. Preservative: 0.05% Sodium Azide.
应用详情:WB: 1:1,000-5,000
IHC: 1:100-1:500
ICC: 1:100-1:200
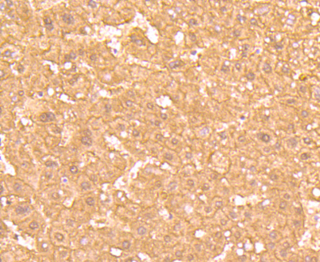
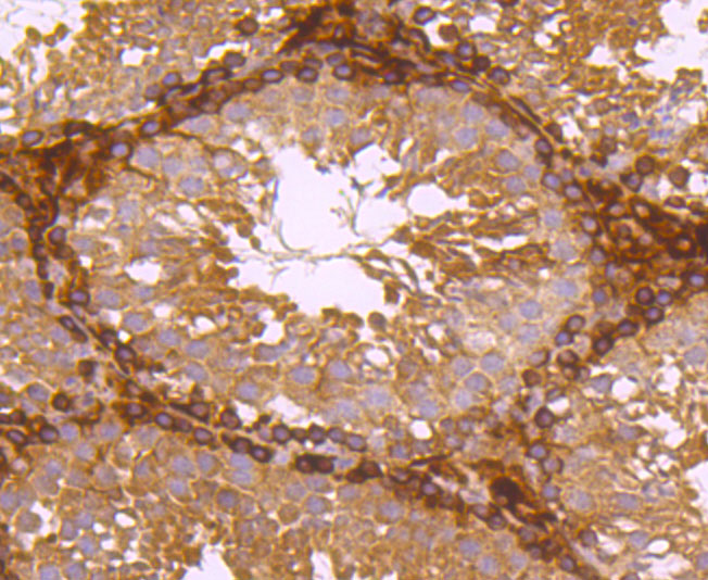
图片:

Western blot analysis of Ferritin Light Chain on rat liver tissue lysate using anti-Ferritin Light Chain antibody at 1/1,000 dilution.
,

Immunohistochemical analysis of paraffin-embedded human liver tissue using anti-Ferritin Light Chain antibody. Counter stained with hematoxylin.
,

Immunohistochemical analysis of paraffin-embedded human brain tissue using anti-Ferritin Light Chain antibody. Counter stained with hematoxylin.
,

Immunohistochemical analysis of paraffin-embedded human kidney tissue using anti-Ferritin Light Chain antibody. Counter stained with hematoxylin.
,

Immunohistochemical analysis of paraffin-embedded mouse testes tissue using anti-Ferritin Light Chain antibody. Counter stained with hematoxylin.
,

Immunohistochemical analysis of paraffin-embedded mouse kidney tissue using anti-Ferritin Light Chain antibody. Counter stained with hematoxylin.
风险提示:丁香通仅作为第三方平台,为商家信息发布提供平台空间。用户咨询产品时请注意保护个人信息及财产安全,合理判断,谨慎选购商品,商家和用户对交易行为负责。对于医疗器械类产品,请先查证核实企业经营资质和医疗器械产品注册证情况。
文献和实验Generation of Rabbit Immune Libraries
for the combinatorial cloning of the variable heavy and light chain immunoglobulin repertoire of rabbits for the subsequent phage display of rabbit scFv antibody fragments is described.
Expression and Isolation of Recombinant Antibody Fragments in E. coli
antibodies (MAbs), functional derivatives (antibody fragments) carrying antigen (Ag)-binding activities, and comprising at minimum the antibody variable heavy- and light-chain domains, can be readily produced in bacterial cells (1 ). The range of antibody
) and found that the expression of the ferritin light chain was significantly increased in CAD tissues. In this chapter, we use the CAD study as an example to demonstrate the procedures involved in proteomics analysis. The proteome is visualized by two-dimensional gel
技术资料暂无技术资料 索取技术资料





![Cyclin A2 Antibody[48181]](https://img1.dxycdn.com/p/s14/2025/0923/496/0462304380155040791.jpg!wh200)
![BCL2L12 Conjugated Antibody[C56580]](https://img1.dxycdn.com/p/s14/2025/0922/632/2321321568067599691.jpg!wh200)
![RAB31 Antibody[34968]](https://img1.dxycdn.com/p/s14/2025/0922/359/6146153295428599691.jpg!wh200)
![α-SMA Monoclonal Antibody[40482]](https://img1.dxycdn.com/p/s14/2025/0922/568/0046652811090600791.jpg!wh200)
