相关产品推荐更多 >
万千商家帮你免费找货
0 人在求购买到急需产品
- 详细信息
- 文献和实验
- 技术资料
- 免疫原:
recombinant protein
- 形态:
liquid
- 保存条件:
Store at -20˚C
- 克隆性:
Monoclonal antibody
- 适应物种:
Human;Mouse;Rat
- 保质期:
12 months
- 抗原来源:
Recombinant Rabbit
- 供应商:
南京赛戈巍生物科技有限公司
- 宿主:
Recombinant Rabbit
- 应用范围:
WB, ICC/IF, IHC, IP, FC
- 靶点:
Uniprot:P42229
- 抗体英文名:
STAT 5A+B Rabbit mAb
- 规格:
50ul/100ul
MGF (STAT5A) antibody
Signal transducer and activator of transcription 5A antibody
Signal transducer and activator of transcription 5B antibody
STA5A_HUMAN antibody
Stat 5a antibody
STAT 5b antibody
STAT5A antibody
Transcription factor STAT5B antibody
计算分子量:90 kDa
配方:1*TBS (pH7.4), 1%BSA, 40%Glycerol. Preservative: 0.05% Sodium Azide.
应用详情:WB: 1:1,000-1:2,000
IHC: 1:50-1:200
ICC: 1:50-1:200
FC: 1:50-1:100
图片:

Western blot analysis of STAT5A+B on different lysates using anti-STAT5A+B antibody at 1/1,000 dilution. Positive control:
Lane 1: K562
Lane 2: Jurkat
Lane 3: PC-12
,

Immunohistochemical analysis of paraffin-embedded human spleen tissue using anti-STAT5A+B antibody. Counter stained with hematoxylin.
,

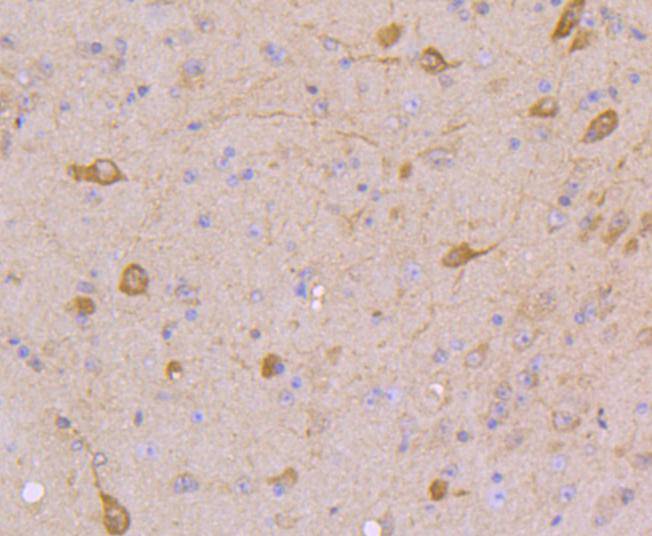
Immunohistochemical analysis of paraffin-embedded mouse brain tissue using anti-STAT5A+B antibody. Counter stained with hematoxylin.
,

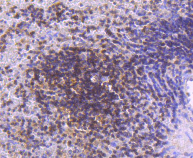
Immunohistochemical analysis of paraffin-embedded human tonsil tissue using anti-STAT5A+B antibody. Counter stained with hematoxylin.
,

ICC staining STAT5A+B in HepG2 cells (green). The nuclear counter stain is DAPI (blue). Cells were fixed in paraformaldehyde, permeabilised with 0.25% Triton X100/PBS.
,

ICC staining STAT5A+B in NIH/3T3 cells (green). The nuclear counter stain is DAPI (blue). Cells were fixed in paraformaldehyde, permeabilised with 0.25% Triton X100/PBS.
,

ICC staining STAT5A+B in RH-35 cells (green). The nuclear counter stain is DAPI (blue). Cells were fixed in paraformaldehyde, permeabilised with 0.25% Triton X100/PBS.
,

Flow cytometric analysis of NIH/3T3 cells with STAT5A+B antibody at 1/50 dilution (red) compared with an unlabelled control (cells without incubation with primary antibody; black). Alexa Fluor 488-conjugated goat anti rabbit IgG was used as the secondary antibody.
风险提示:丁香通仅作为第三方平台,为商家信息发布提供平台空间。用户咨询产品时请注意保护个人信息及财产安全,合理判断,谨慎选购商品,商家和用户对交易行为负责。对于医疗器械类产品,请先查证核实企业经营资质和医疗器械产品注册证情况。
文献和实验Testing Rabbit Bleeds By Elisa
same amount of NaBH4 after 15''. Do a quick microfuge spin if there are too many bubbles. B. ELISA with Peptide conjugated to BSA Coat 10 ug/ml antigen (peptide conjugated to BSA) diluted in TBS (50 ul/well) ON at 4 deg C. Remove antigen
Constitutively Active STAT5 Constructs
5 constitutively active. These constructs have now been used to generate animal models that allow for targeted expression of constitutively active STAT5 including a model where STAT5 is expressed in developing B and T cells. Herein we briefly describe the design
Testing Rabbit Bleeds By Elisa
Testing Rabbit Bleeds By Elisa Claire Walczak January 1996 You can test whether or not you have gotten an immune response to the peptide and how strong that immune response is by doing ELISAs against peptide conjugated to BSA
技术资料暂无技术资料 索取技术资料





![Actin Rabbit mAb[49366]](https://img1.dxycdn.com/p/s14/2025/0923/496/0462304380155040791.jpg!wh200)
![Cdk6 Conjugated Antibody[C49139]](https://img1.dxycdn.com/p/s14/2025/0923/305/2150219664296040791.jpg!wh200)
![Renalase Conjugated Antibody[C56635]](https://img1.dxycdn.com/p/s14/2025/0922/632/2321321568067599691.jpg!wh200)
