相关产品推荐更多 >
万千商家帮你免费找货
0 人在求购买到急需产品
- 详细信息
- 技术资料
- 免疫原:
recombinant protein
- 形态:
liquid
- 保存条件:
Store at -20˚C
- 克隆性:
Monoclonal antibody
- 适应物种:
Human
- 保质期:
12 months
- 抗原来源:
Recombinant Rabbit
- 供应商:
南京赛戈巍生物科技有限公司
- 宿主:
Recombinant Rabbit
- 应用范围:
WB, ICC/IF, IHC
- 靶点:
Uniprot:P02538
- 抗体英文名:
Cytokeratin 6 Rabbit mAb
- 规格:
50ul/100ul
CK 6B antibody
CK 6C antibody
CK 6D antibody
CK 6E antibody
CK-6C antibody
CK-6E antibody
Cytokeratin 6a antibody
Cytokeratin 6B antibody
Cytokeratin 6C antibody
Cytokeratin 6D antibody
Cytokeratin 6E antibody
Cytokeratin-6C antibody
Cytokeratin-6E antibody
K2C6C_HUMAN antibody
K6a keratin antibody
K6b keratin antibody
K6C antibody
K6c keratin antibody
K6d keratin antibody
K6e keratin antibody
Keratin antibody
Keratin K6h antibody
Keratin type II cytoskeletal 6A antibody
Keratin type II cytoskeletal 6B antibody
Keratin type II cytoskeletal 6C antibody
Keratin type II cytoskeletal 6D antibody
Keratin type II cytoskeletal 6E antibody
Keratin-6C antibody
KRT6A antibody
KRT6B antibody
KRT6C antibody
KRT6D antibody
KRT6E antibody
type II cytoskeletal 6C antibody
Type-II keratin Kb12 antibody
计算分子量:60 kDa
配方:1*TBS (pH7.4), 1%BSA, 40%Glycerol. Preservative: 0.05% Sodium Azide.
应用详情:WB: 1:1,000-1:2,000
IHC: 1:50-1:200
ICC: 1:100-1:500
图片:

Western blot analysis of Cytokeratin 6 on human skin lysates using anti-Cytokeratin 6 antibody at 1/1,000 dilution.
,

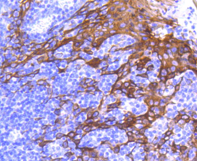
Immunohistochemical analysis of paraffin-embedded human tonsil tissue using anti-Cytokeratin 6 antibody. Counter stained with hematoxylin.
,

ICC staining Cytokeratin 6 in A431 cells (green). The nuclear counter stain is DAPI (blue). Cells were fixed in paraformaldehyde, permeabilised with 0.25% Triton X100/PBS.
风险提示:丁香通仅作为第三方平台,为商家信息发布提供平台空间。用户咨询产品时请注意保护个人信息及财产安全,合理判断,谨慎选购商品,商家和用户对交易行为负责。对于医疗器械类产品,请先查证核实企业经营资质和医疗器械产品注册证情况。
技术资料暂无技术资料 索取技术资料


![Cytokeratin 6 Rabbit mAb[49086]](https://img1.dxycdn.com/p/s14/2025/0923/496/0462304380155040791.jpg)


![Cdc25B Conjugated Antibody[C49280]](https://img1.dxycdn.com/p/s14/2025/0923/305/2150219664296040791.jpg!wh200)
![Rad2/FEN1 (Phospho-Ser187) Antibody[12777]](https://img1.dxycdn.com/p/s14/2025/0922/568/0046652811090600791.jpg!wh200)
![ZMYND11 Conjugated Antibody[C36292]](https://img1.dxycdn.com/p/s14/2025/0923/278/4431488150116040791.jpg!wh200)
![Goat Anti-Human IgG gamma chain Biotin[L35037]](https://img1.dxycdn.com/p/s14/2025/0922/498/0460884283108299691.jpg!wh200)
![MAPKAPK2 Antibody[37715]](https://img1.dxycdn.com/p/s14/2025/0922/359/6146153295428599691.jpg!wh200)
