相关产品推荐更多 >
万千商家帮你免费找货
0 人在求购买到急需产品
- 详细信息
- 技术资料
- 免疫原:
recombinant protein
- 形态:
liquid
- 保存条件:
Store at -20˚C
- 克隆性:
Monoclonal antibody
- 适应物种:
Human
- 保质期:
12 months
- 抗原来源:
Recombinant Rabbit
- 供应商:
南京赛戈巍生物科技有限公司
- 宿主:
Recombinant Rabbit
- 应用范围:
WB, ICC/IF, IHC, IP, FC
- 靶点:
Uniprot:P08729
- 抗体英文名:
Cytokeratin 7 Rabbit mAb
- 规格:
50ul/100ul
CK-7 antibody
CK7 antibody
Cytokeratin 7 antibody
Cytokeratin-7 antibody
D15Wsu77e antibody
K2C7 antibody
K2C7_HUMAN antibody
K7 antibody
Keratin 7 antibody
Keratin 7, type II antibody
Keratin type II cytoskeletal 7 antibody
Keratin, 55K type II cytoskeletal antibody
Keratin, simple epithelial antibody
Keratin, simple epithelial type I, K7 antibody
Keratin, type II cytoskeletal 7 antibody
Keratin-7 antibody
Krt2-7 antibody
KRT7 antibody
MGC11625 antibody
MGC129731 antibody
MGC3625 antibody
Sarcolectin antibody
SCL antibody
Type II mesothelial keratin K7 antibody
Type-II keratin Kb7 antibody
计算分子量:51 kDa
配方:1*TBS (pH7.4), 1%BSA, 40%Glycerol. Preservative: 0.05% Sodium Azide.
应用详情:WB: 1:1,000-1:2,000
IHC: 1:50-1:200
ICC: 1:50-1:200
FC: 1:50-1:100
图片:

Western blot analysis of Cytokeratin 7 on different lysates using anti-Cytokeratin 7 antibody at 1/1,000 dilution. Positive control:
Lane 1: A549
Lane 2: HepG2
Lane 3: SK-BR-3
Lane 4: SW1990
,

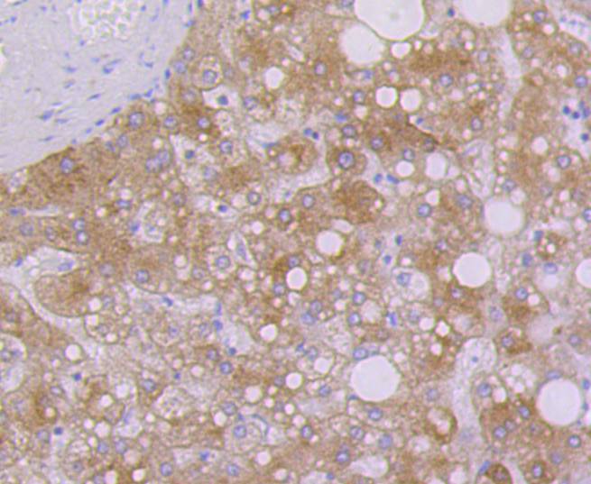
Immunohistochemical analysis of paraffin-embedded human liver tissue using anti-Cytokeratin 7 antibody. Counter stained with hematoxylin.
,

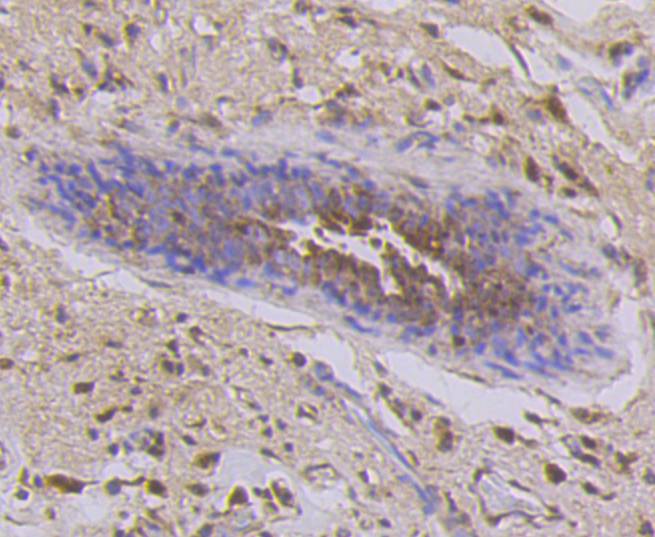
Immunohistochemical analysis of paraffin-embedded human breast carcinoma tissue using anti-Cytokeratin 7 antibody. Counter stained with hematoxylin.
,

ICC staining Cytokeratin 7 in Hela cells (green). The nuclear counter stain is DAPI (blue). Cells were fixed in paraformaldehyde, permeabilised with 0.25% Triton X100/PBS.
,

ICC staining Cytokeratin 7 in A549 cells (green). The nuclear counter stain is DAPI (blue). Cells were fixed in paraformaldehyde, permeabilised with 0.25% Triton X100/PBS.
,

ICC staining Cytokeratin 7 in BT-20 cells (green). The nuclear counter stain is DAPI (blue). Cells were fixed in paraformaldehyde, permeabilised with 0.25% Triton X100/PBS.
,

Flow cytometric analysis of Hela cells with Cytokeratin 7 antibody at 1/50 dilution (red) compared with an unlabelled control (cells without incubation with primary antibody; black). Alexa Fluor 488-conjugated goat anti rabbit IgG was used as the secondary antibody.
风险提示:丁香通仅作为第三方平台,为商家信息发布提供平台空间。用户咨询产品时请注意保护个人信息及财产安全,合理判断,谨慎选购商品,商家和用户对交易行为负责。对于医疗器械类产品,请先查证核实企业经营资质和医疗器械产品注册证情况。
技术资料暂无技术资料 索取技术资料


![Cytokeratin 7 Rabbit mAb[48899]](https://img1.dxycdn.com/p/s14/2025/0923/496/0462304380155040791.jpg)


![SCGB3A1 Conjugated Antibody[C43908]](https://img1.dxycdn.com/p/s14/2025/0923/305/2150219664296040791.jpg!wh200)
![CRP Conjugated Antibody[C32023]](https://img1.dxycdn.com/p/s14/2025/0923/278/4431488150116040791.jpg!wh200)

