相关产品推荐更多 >
万千商家帮你免费找货
0 人在求购买到急需产品
- 详细信息
- 技术资料
- 免疫原:
A synthesized peptide derived from human STAT5A/B
- 形态:
liquid
- 保存条件:
Store at -20˚C
- 克隆性:
Monoclonal
- 适应物种:
Human;Mouse;Rat
- 保质期:
12 months
- 抗原来源:
Recombinant Rabbit
- 供应商:
南京赛戈巍生物科技有限公司
- 宿主:
Recombinant Rabbit
- 应用范围:
WB IHC ICC/IF IP FC
- 靶点:
Uniprot:P42229/P51692
- 抗体英文名:
STAT5A/B Rabbit mAb
- 规格:
50ul/100ul
别名:Mammary gland factor (STAT5A); Signal transducer and activator of transcription 5A; Stat 5a; STAT 5b; STAT5A; Transcription factor STAT5B;
计算分子量:90kDa
配方:Rabbit IgG in phosphate buffered saline , pH 7.4, 150mM NaCl, 0.02% sodium azide and 50% glycerol.
应用详情:WB:1:1000~1:2000
IHC:1:100~1:500
ICC/IF:1:50~1:200
IP:1:50
FC:1:50
图片:
计算分子量:90kDa
配方:Rabbit IgG in phosphate buffered saline , pH 7.4, 150mM NaCl, 0.02% sodium azide and 50% glycerol.
应用详情:WB:1:1000~1:2000
IHC:1:100~1:500
ICC/IF:1:50~1:200
IP:1:50
FC:1:50
图片:
![STAT5A/B Rabbit mAb[56109]](https://img1.dxycdn.com/p/s14/2025/0922/504/0002570545448599691.jpg)
Western blot analysis of STAT5A/B expression in (1) Jurkat cell lysate; (2) 3T3 cell lysate; (2) PC12 cell lysate.
,
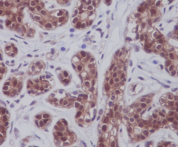
![STAT5A/B Rabbit mAb[56109]](https://img1.dxycdn.com/p/s14/2025/0922/034/8655841495448599691.jpg)
Immunohistochemical analysis of paraffin-embedded human breast, using STAT5A/B Antibody.
风险提示:丁香通仅作为第三方平台,为商家信息发布提供平台空间。用户咨询产品时请注意保护个人信息及财产安全,合理判断,谨慎选购商品,商家和用户对交易行为负责。对于医疗器械类产品,请先查证核实企业经营资质和医疗器械产品注册证情况。
技术资料暂无技术资料 索取技术资料
STAT5A/B Rabbit mAb[56109]
询价


![STAT5A/B Rabbit mAb[56109]](https://img1.dxycdn.com/p/s14/2025/0922/632/2321321568067599691.jpg)


![CD37 Mouse mAb[63382]](https://img1.dxycdn.com/p/s14/2025/0922/632/2321321568067599691.jpg!wh200)
![CDCA4 Conjugated Antibody[C37481]](https://img1.dxycdn.com/p/s14/2025/0923/278/4431488150116040791.jpg!wh200)
![PAK7 Antibody[35292]](https://img1.dxycdn.com/p/s14/2025/0922/359/6146153295428599691.jpg!wh200)
![SDHB Rabbit Polyclonal Antibody[53200]](https://img1.dxycdn.com/p/s14/2025/0922/498/0460884283108299691.jpg!wh200)
