相关产品推荐更多 >
万千商家帮你免费找货
0 人在求购买到急需产品
- 详细信息
- 文献和实验
- 技术资料
- 免疫原:
recombinant protein
- 形态:
liquid
- 保存条件:
Store at -20˚C
- 克隆性:
Monoclonal antibody
- 适应物种:
Human
- 保质期:
12 months
- 抗原来源:
Recombinant Rabbit
- 供应商:
南京赛戈巍生物科技有限公司
- 宿主:
Recombinant Rabbit
- 应用范围:
WB, ICC/IF, IHC, IP
- 靶点:
Uniprot:Q96GD4
- 抗体英文名:
Aurora B Rabbit mAb
- 规格:
50ul/100ul
AIM-1 antibody
AIM1 antibody
ARK-2 antibody
ARK2 antibody
AurB antibody
AURKB antibody
AURKB_HUMAN antibody
Aurora 1 antibody
Aurora and Ipl1 like midbody associated protein 1 antibody
Aurora kinase B antibody
Aurora related kinase 2 antibody
Aurora- and Ipl1-like midbody-associated protein 1 antibody
Aurora-B antibody
Aurora-related kinase 2 antibody
Aurora/IPL1 related kinase 2 antibody
Aurora/IPL1-related kinase 2 antibody
IPL1 antibody
PPP1R48 antibody
Protein phosphatase 1 regulatory subunit 48 antibody
Serine/theronine kinase 12 antibody
Serine/threonine protein kinase 12 antibody
Serine/threonine-protein kinase 12 antibody
Serine/threonine-protein kinase aurora-B antibody
STK-1 antibody
STK1 antibody
STK12 antibody
STK5 antibody
计算分子量:39 kDa
配方:1*TBS (pH7.4), 1%BSA, 40%Glycerol. Preservative: 0.05% Sodium Azide.
应用详情:WB: 1:1,000-1:2,000
IHC: 1:50-1:200
ICC: 1:50-1:200
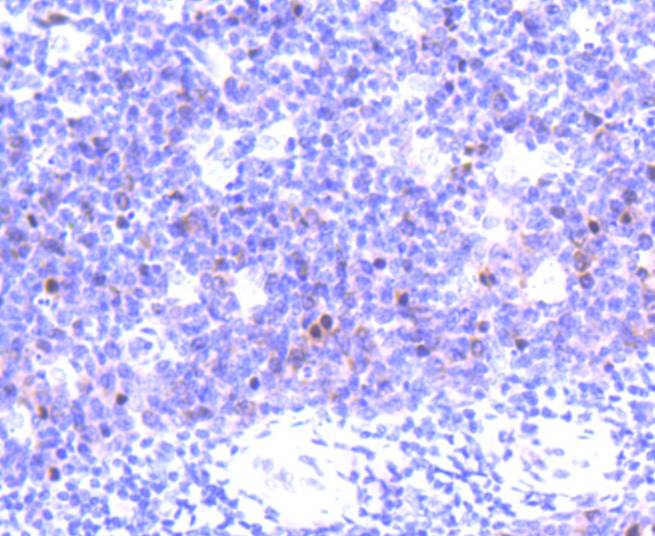
图片:

Western blot analysis of Aurora B on different lysates using anti-Aurora B antibody at 1/1,000 dilution. Positive control:
Lane 1: Hela
Lane 2: MCF-7
,

Immunohistochemical analysis of paraffin-embedded human tonsil tissue using anti-Aurora B antibody. Counter stained with hematoxylin.
风险提示:丁香通仅作为第三方平台,为商家信息发布提供平台空间。用户咨询产品时请注意保护个人信息及财产安全,合理判断,谨慎选购商品,商家和用户对交易行为负责。对于医疗器械类产品,请先查证核实企业经营资质和医疗器械产品注册证情况。
文献和实验Testing Rabbit Bleeds By Elisa
same amount of NaBH4 after 15''. Do a quick microfuge spin if there are too many bubbles. B. ELISA with Peptide conjugated to BSA Coat 10 ug/ml antigen (peptide conjugated to BSA) diluted in TBS (50 ul/well) ON at 4 deg C. Remove antigen
The Ipl1/Aurora Kinase Family: Methods of Inhibition and Functional Analysis in Mammalian Cells
and the pharmaceutical industry. Indeed, two small molecule Aurora kinase inhibitors have recently been described. In this chapter, we describe several methods for investigating the function of the Aurora kinases, focusing on Aurora B. We describe the use of the small
Testing Rabbit Bleeds By Elisa
Testing Rabbit Bleeds By Elisa Claire Walczak January 1996 You can test whether or not you have gotten an immune response to the peptide and how strong that immune response is by doing ELISAs against peptide conjugated to BSA
技术资料暂无技术资料 索取技术资料





![TCP1 Conjugated Antibody[C43013]](https://img1.dxycdn.com/p/s14/2025/0923/278/4431488150116040791.jpg!wh200)
![LC3B Polyclonal Antibody FITC Conjugated[C92253FITC]](https://img1.dxycdn.com/p/s14/2025/0922/498/0460884283108299691.jpg!wh200)

![KCNIP2 Polyclonal Antibody[30821]](https://img1.dxycdn.com/p/s14/2025/0923/305/2150219664296040791.jpg!wh200)
