相关产品推荐更多 >
万千商家帮你免费找货
0 人在求购买到急需产品
- 详细信息
- 文献和实验
- 技术资料
- 免疫原:
recombinant protein
- 形态:
liquid
- 保存条件:
Store at -20˚C
- 克隆性:
Monoclonal antibody
- 适应物种:
Human;Mouse;Rat
- 保质期:
12 months
- 抗原来源:
Recombinant Rabbit
- 供应商:
南京赛戈巍生物科技有限公司
- 宿主:
Recombinant Rabbit
- 应用范围:
WB, ICC/IF, IHC, IP
- 靶点:
Uniprot:P68371
- 抗体英文名:
beta Ⅱ Tubulin Rabbit mAb
- 规格:
50ul/100ul
Beta2 antibody
class II beta tubulin isotype antibody
class IIa beta-tubulin antibody
class IIb beta-tubulin antibody
Class IVb beta tubulin antibody
dJ40E16.7 antibody
DKFZp566F223 antibody
FLJ98847 antibody
M(beta)2 antibody
MGC8685 antibody
OTTHUMP00000015956 antibody
OTTHUMP00000015964 antibody
TBB4B_HUMAN antibody
TUBB 2 antibody
TUBB 2A antibody
TUBB 2C antibody
TUBB antibody
TUBB PARALOG antibody
TUBB2 antibody
TUBB2A antibody
TUBB2B antibody
TUBB2C antibody
Tubb4b antibody
Tubulin beta 2 antibody
Tubulin beta 2 chain antibody
Tubulin beta 2A antibody
Tubulin beta 2A chain antibody
Tubulin beta 2B antibody
Tubulin beta 2B chain antibody
Tubulin beta 2C antibody
Tubulin beta polypeptide antibody
Tubulin beta polypeptide 2 antibody
Tubulin beta polypeptide paralog antibody
Tubulin beta-2 chain antibody
Tubulin beta-2C chain antibody
Tubulin beta-4B chain antibody
tubulin, beta 2A class IIa antibody
tubulin, beta 2B class IIb antibody
tubulin, beta 4B class IVb antibody
Tubulin, beta, class IVB antibody
Tubulin, beta-4B antibody
计算分子量:50 kDa
配方:1*TBS (pH7.4), 1%BSA, 40%Glycerol. Preservative: 0.05% Sodium Azide.
应用详情:WB: 1:1,000-5,000
IHC: 1:50-1:200
ICC: 1:50-1:200
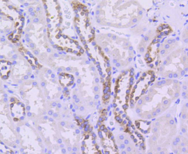
图片:

Western blot analysis of beta II Tubulin on different lysates using anti-beta II Tubulin antibody at 1/1,000 dilution. Positive control:
Lane 1: Mouse brain
Lane 2: Mouse kidney
,

Immunohistochemical analysis of paraffin-embedded human kidney tissue using anti-beta II Tubulin antibody. Counter stained with hematoxylin.
,

Immunohistochemical analysis of paraffin-embedded mouse brain tissue using anti-beta II Tubulin antibody. Counter stained with hematoxylin.
,

ICC staining beta II Tubulin in N2A cells (green). The nuclear counter stain is DAPI (blue). Cells were fixed in paraformaldehyde, permeabilised with 0.25% Triton X100/PBS.
风险提示:丁香通仅作为第三方平台,为商家信息发布提供平台空间。用户咨询产品时请注意保护个人信息及财产安全,合理判断,谨慎选购商品,商家和用户对交易行为负责。对于医疗器械类产品,请先查证核实企业经营资质和医疗器械产品注册证情况。
文献和实验到 PVDF 膜上,同时减少蛋白不必要降解,这对于最终获得清晰、可信结果也是需要考虑因素。抗体信息:1.ACC1, Recombinant Rabbit monoclonal IgG. HuaAn. HuaAn biotechnology , inc.2.ATGL, Mouse mAb IgG1, Cat#:RT1058. HuaAn biotechnology , inc.3.p-PERK(Thr981), Rabbit Polyclonal IgG primary antibodies, Cat
Large-scale immunofluorescence
containing 2% n-propyl gallate and 0.25 ug/ml Hoechst Primary antibodies rabbit anti-beta-gal antibody (Cappell Laboratories #0631-0002, at 1:200 dilution) rat monoclonal anti-yeast tubulin (YOL1/34; Sera-lab, at 1:100 dilution
C in the dark. Solutions Solution A PBS Mounting solution Primary antibodies rabbit anti-beta-gal antibody (Cappell Laboratories #0631-0002, at 1:200 dilution) rat monoclonal anti-yeast tubulin (YOL1/34; Sera-lab
技术资料暂无技术资料 索取技术资料





![IL36RN Antibody[47733]](https://img1.dxycdn.com/p/s14/2025/0923/496/0462304380155040791.jpg!wh200)
![ROC1 Conjugated Antibody[C56277]](https://img1.dxycdn.com/p/s14/2025/0922/632/2321321568067599691.jpg!wh200)
![14-3-3 ε Antibody[34145]](https://img1.dxycdn.com/p/s14/2025/0922/359/6146153295428599691.jpg!wh200)
