相关产品推荐更多 >
万千商家帮你免费找货
0 人在求购买到急需产品
- 详细信息
- 文献和实验
- 技术资料
- 免疫原:
recombinant protein
- 形态:
liquid
- 保存条件:
Store at -20˚C
- 克隆性:
Monoclonal antibody
- 适应物种:
Human;Mouse;Rat
- 保质期:
12 months
- 抗原来源:
Recombinant Rabbit
- 供应商:
南京赛戈巍生物科技有限公司
- 宿主:
Recombinant Rabbit
- 应用范围:
WB, ICC, IHC, FC
- 靶点:
Uniprot:P07437
- 抗体英文名:
beta Tubulin Rabbit mAb
- 规格:
50ul/100ul
Beta 5 tubulin antibody
BetaTubulin antibody
TBB5_HUMAN antibody
TUBB antibody
TUBB2 antibody
TUBB2A antibody
TUBB5 antibody
tubulin beta 2A antibody
Tubulin beta chain antibody
Tubulin beta-5 chain antibody
计算分子量:50 kDa
配方:1*TBS (pH7.4), 1%BSA, 40%Glycerol. Preservative: 0.05% Sodium Azide.
应用详情:WB: 1:1,000-5,000
IHC: 1:50-1:200
ICC: 1:50-1:200
FC: 1:10-1:100
图片:

Western blot analysis of beta Tubulin on different cell lysates using anti-beta Tubulin antibody at 1/1,000 dilution. Positive control:
Lane 1: Hela
Lane 2: NIH/3T3
Lane 3: PC12
,

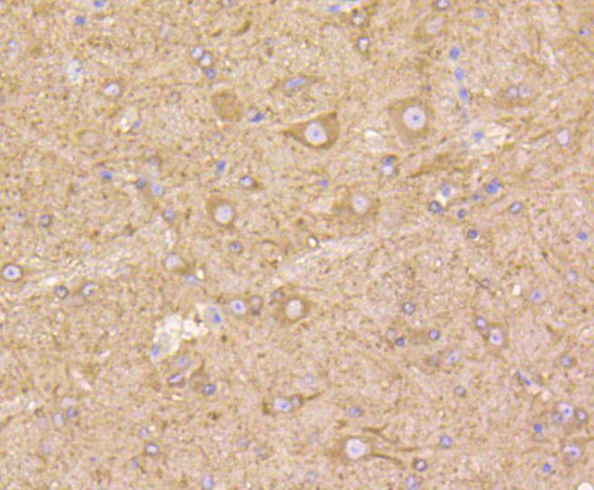
Immunohistochemical analysis of paraffin-embedded mouse brain tissue using anti-beta Tubulin antibody. Counter stained with hematoxylin.
,

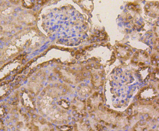
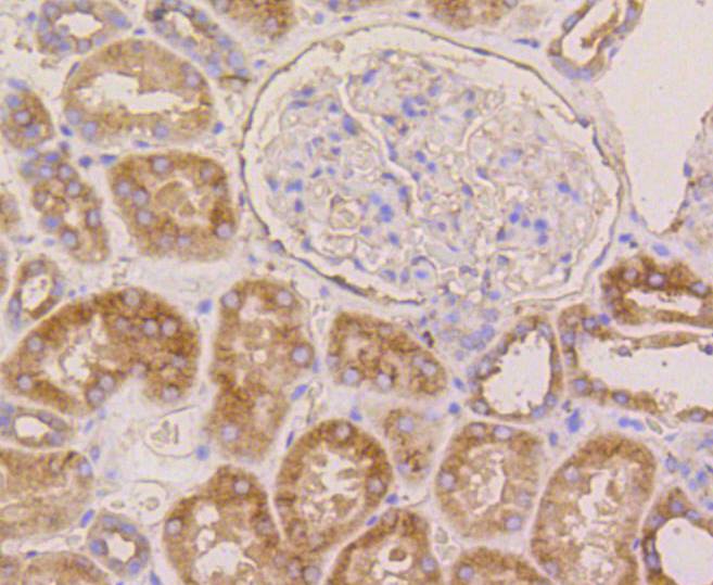
Immunohistochemical analysis of paraffin-embedded mouse kidney tissue using anti-beta Tubulin antibody. Counter stained with hematoxylin.
,

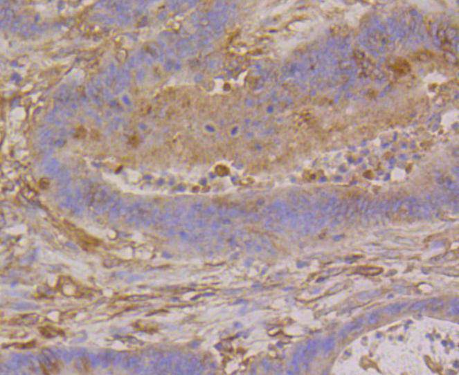
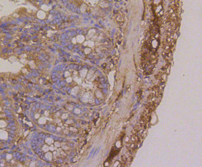
Immunohistochemical analysis of paraffin-embedded human colon cancer tissue using anti-beta Tubulin antibody. Counter stained with hematoxylin.
,

Immunohistochemical analysis of paraffin-embedded human kidney tissue using anti-beta Tubulin antibody. Counter stained with hematoxylin.
,

Immunohistochemical analysis of paraffin-embedded mouse colon tissue using anti-beta Tubulin antibody. Counter stained with hematoxylin.
,

ICC staining beta Tubulin in Hela cells (green). The nuclear counter stain is DAPI (blue). Cells were fixed in paraformaldehyde, permeabilised with 0.25% Triton X100/PBS.
,

ICC staining beta Tubulin in CRC cells (green). The nuclear counter stain is DAPI (blue). Cells were fixed in paraformaldehyde, permeabilised with 0.25% Triton X100/PBS.
,

ICC staining beta Tubulin in N2A cells (green). Cells were fixed in paraformaldehyde, permeabilised with 0.25% Triton X100/PBS.
,

ICC staining beta Tubulin in PC12 cells (green). Cells were fixed in paraformaldehyde, permeabilised with 0.25% Triton X100/PBS.
,

ICC staining beta Tubulin in SH-SY-5Y cells (green). Cells were fixed in paraformaldehyde, permeabilised with 0.25% Triton X100/PBS.
,

Flow cytometric analysis of NIH/3T3 cells with beta Tubulin antibody at 1/50 dilution (blue) compared with an unlabelled control (cells without incubation with primary antibody; red). Alexa Fluor 488-conjugated goat anti rabbit IgG was used as the secondary antibody.
风险提示:丁香通仅作为第三方平台,为商家信息发布提供平台空间。用户咨询产品时请注意保护个人信息及财产安全,合理判断,谨慎选购商品,商家和用户对交易行为负责。对于医疗器械类产品,请先查证核实企业经营资质和医疗器械产品注册证情况。
文献和实验【求助】rabbit beta-globin intron这个内含子有什么作用啊?
maiqitu 在构建载体的时候要往里面加rabbit beta-globin intron,请问是为什么呢?谢了啊 zhujoker 那你到底是构建什么载体啊?还需要往里面加rabbit beta-globin intron,我也觉得奇怪。但是有一个东西是可能的,那就是你构建的是miRNA表达质粒,因为miRNA位于大多数基因间,也就是位于内含子得地方?不知道是不是你所想要的,呵呵! hcai55
Immunofluorescent Localization of Tubulin
LEVEL II Materials Coverslip cultures of an appropriate monolayer cell line Phosphate buffered saline (PBS) Acetone/Methanol (absolute) in a 50:50 volume mixture Rabbit anti-tubulin (or other primary
Immunofluorescent Localization of Tubulin
Rabbit anti-tubulin (or other primary antibody to tubulin) FITC-labeled goat anti-rabbit (or secondary antibody to match the primary) Fluorescence Mounting Media Fluorescent Microscope equipped with 490 nm excitation filter
技术资料暂无技术资料 索取技术资料





![MAPKAPK-2 Polyclonal Antibody[33196]](https://img1.dxycdn.com/p/s14/2025/0922/632/2321321568067599691.jpg!wh200)
![S100A6 Polyclonal Antibody[30521]](https://img1.dxycdn.com/p/s14/2025/0923/278/4431488150116040791.jpg!wh200)
![SIGLEC9 Antibody[36329]](https://img1.dxycdn.com/p/s14/2025/0922/359/6146153295428599691.jpg!wh200)
![CDYL2 Conjugated Antibody[C46462]](https://img1.dxycdn.com/p/s14/2025/0923/305/2150219664296040791.jpg!wh200)
