相关产品推荐更多 >
万千商家帮你免费找货
0 人在求购买到急需产品
- 详细信息
- 文献和实验
- 技术资料
- 免疫原:
recombinant protein
- 形态:
liquid
- 保存条件:
Store at -20˚C
- 克隆性:
Monoclonal
- 适应物种:
Human;Mouse;Rat
- 保质期:
12 months
- 抗原来源:
Recombinant Rabbit
- 供应商:
南京赛戈巍生物科技有限公司
- 宿主:
Recombinant Rabbit
- 应用范围:
WB, ICC/IF, IHC, FC
- 靶点:
Uniprot:Q15746
- 抗体英文名:
Myosin light chain kinase Rabbit mAb
- 规格:
50ul/100ul
DKFZp686I10125 antibody
EC 2.7.11.18 antibody
FLJ12216 antibody
Kinase related protein antibody
Kinase-related protein antibody
KRP antibody
MLCK antibody
MLCK1 antibody
MLCK108 antibody
MLCK210 antibody
MSTP083 antibody
MYLK antibody
MYLK_HUMAN antibody
MYLK1 antibody
Myosin light chain kinase antibody
Myosin light polypeptide kinase antibody
OTTHUMP00000180642 antibody
OTTHUMP00000180643 antibody
smMLCK antibody
smooth muscle antibody
Smooth muscle myosin light chain kinase antibody
Telokin antibody
计算分子量:210 kDa
配方:1*TBS (pH7.4), 1%BSA, 40%Glycerol. Preservative: 0.05% Sodium Azide.
应用详情:
WB: 1:2,000-1:10,000
IHC: 1:100-1:500
ICC: 1:100-1:500
FC: 1:50-1:100
图片:

Western blot analysis of MYLK on human lung lysates using anti-MYLK antibody at 1/5,000 dilution.
,

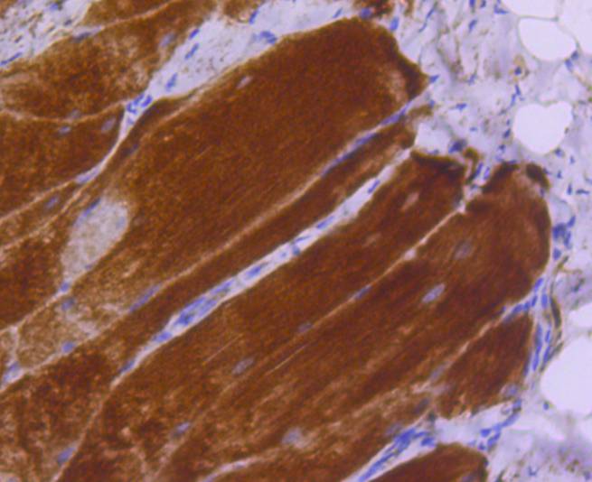
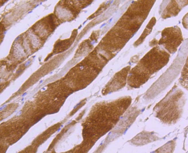
Immunohistochemical analysis of paraffin-embedded rat smooth muscle tissue using anti-MYLK antibody. Counter stained with hematoxylin.
,

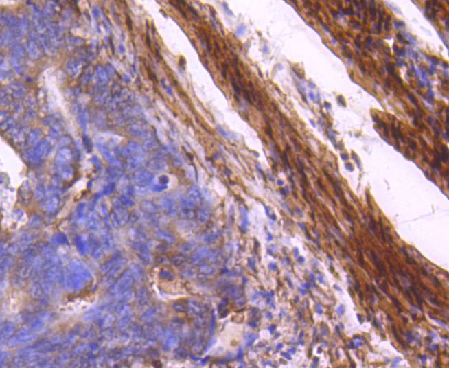
Immunohistochemical analysis of paraffin-embedded human colon cancer tissue using anti-MYLK antibody. Counter stained with hematoxylin.
,

Immunohistochemical analysis of paraffin-embedded mouse smooth muscle tissue using anti-MYLK antibody. Counter stained with hematoxylin.
,

ICC staining MYLK in Hela cells (green). The nuclear counter stain is DAPI (blue). Cells were fixed in paraformaldehyde, permeabilised with 0.25% Triton X100/PBS.
,

ICC staining MYLK in L6 cells (green). The nuclear counter stain is DAPI (blue). Cells were fixed in paraformaldehyde, permeabilised with 0.25% Triton X100/PBS.
,

ICC staining MYLK in NIH/3T3 cells (green). The nuclear counter stain is DAPI (blue). Cells were fixed in paraformaldehyde, permeabilised with 0.25% Triton X100/PBS.
,

ICC staining MYLK in SH-SY-5Y cells (green). The nuclear counter stain is DAPI (blue). Cells were fixed in paraformaldehyde, permeabilised with 0.25% Triton X100/PBS.
,

Flow cytometric analysis of SH-SY-5Y cells with MYLK antibody at 1/50 dilution (red) compared with an unlabelled control (cells without incubation with primary antibody; black). Alexa Fluor 488-conjugated goat anti rabbit IgG was used as the secondary antibody.
风险提示:丁香通仅作为第三方平台,为商家信息发布提供平台空间。用户咨询产品时请注意保护个人信息及财产安全,合理判断,谨慎选购商品,商家和用户对交易行为负责。对于医疗器械类产品,请先查证核实企业经营资质和医疗器械产品注册证情况。
文献和实验Purification of Myosin Light Chain Kinase
RPM (4℃).Filter the supernatant through glass wool and discard the pellet (or save for light chain prep).Save 1 ml of supernatant (4℃)for assay.Add pepstatin and TLCK to final concentrations of 1 μg/ml and 40 Og/ml,respectively. Volume of supernatant
Myosin Light Chain Preparation
in lyophilizer bottles and freeze in liquid nitrogen.Put on lyophilizer and leave until dry (overnight or over weekend). Day 5 22.Resuspend separate light chain pools 1 and 2 in a small volume of Dialyzing Solution G.Pipette into dialyzing tubing (size #20
构成肌球蛋白的低分子量(1.5— 2.5万)的亚单位。一分子肌球蛋白有 4个。肌球蛋白有在腺苷三磷酸酶( ATP ase)作用中不可缺少的基本 L链和调节 ATP ase作用的调节 L链。从兔的白肌除去调节 L链( L2 :由 168个氨基酸所成)不影响肌球蛋白的作用。基本 L链( L1 ∶ 190个氨基酸、 L3 ∶ 149个氨基酸)是必要的。兔白肌的肌球蛋白分子,根据 L链的不同而分为 3种,即每分子肌球蛋白中都含有两个 L2 ,其它两个则因种类不同而异,即分 L1
技术资料暂无技术资料 索取技术资料





![MKK6 Conjugated Antibody[C21153]](https://img1.dxycdn.com/p/s14/2025/0923/278/4431488150116040791.jpg!wh200)
![MRCKB Antibody[34138]](https://img1.dxycdn.com/p/s14/2025/0922/359/6146153295428599691.jpg!wh200)
![MMP-1 Monoclonal Antibody[49999]](https://img1.dxycdn.com/p/s14/2025/0922/632/2321321568067599691.jpg!wh200)
