相关产品推荐更多 >
万千商家帮你免费找货
0 人在求购买到急需产品
- 详细信息
- 文献和实验
- 技术资料
- 免疫原:
recombinant protein
- 形态:
liquid
- 保存条件:
Store at -20˚C
- 克隆性:
Monoclonal antibody
- 适应物种:
Human;Mouse;Rat
- 保质期:
12 months
- 抗原来源:
Recombinant Rabbit
- 供应商:
南京赛戈巍生物科技有限公司
- 宿主:
Recombinant Rabbit
- 应用范围:
WB, IHC, IP
- 靶点:
Uniprot:P11388
- 抗体英文名:
Topoisomerase Ⅱ alpha Rabbit mAb
- 规格:
50ul/100ul
ATP hydrolyzing DNA topoisomerase II alfa antibody
DNA gyrase antibody
DNA topoisomerase (ATP hydrolyzing) antibody
DNA topoisomerase 2 alpha antibody
DNA topoisomerase 2-alpha antibody
DNA topoisomerase II 170 kD antibody
DNA topoisomerase II alpha isozyme antibody
DNA topoisomerase II antibody
DNA Topoisomerase2 antibody
TOP 2A antibody
TOP2 antibody
TOP2A antibody
TOP2A_HUMAN antibody
Topoisomerase DNA II alpha 170kDa antibody
TP2A antibody
计算分子量:174 kDa
配方:1*TBS (pH7.4), 1%BSA, 40%Glycerol. Preservative: 0.05% Sodium Azide.
应用详情:WB: 1:1,000-1:2,000
IHC: 1:50-1:200
图片:

Western blot analysis of Topoisomerase ?? alpha on mouse testis lysates using anti-Topoisomerase ?? alpha antibody at 1/1,000 dilution.
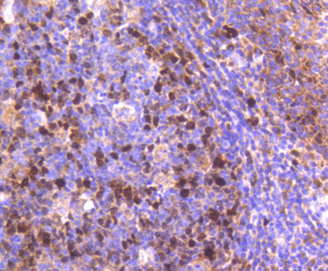
,

Immunohistochemical analysis of paraffin-embedded human tonsil tissue using anti-Topoisomerase ?? alpha antibody. Counter stained with hematoxylin.
,

Immunohistochemical analysis of paraffin-embedded human kidney tissue using anti-Topoisomerase ?? alpha antibody. Counter stained with hematoxylin.
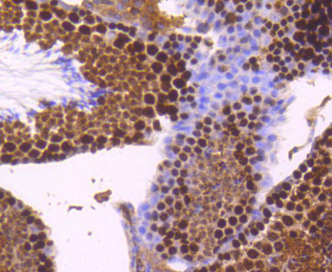
,

Immunohistochemical analysis of paraffin-embedded mouse testis tissue using anti-Topoisomerase ?? alpha antibody. Counter stained with hematoxylin.
,

Immunohistochemical analysis of paraffin-embedded mouse colon tissue using anti-Topoisomerase ?? alpha antibody. Counter stained with hematoxylin.
,

Immunohistochemical analysis of paraffin-embedded mouse kidney tissue using anti-Topoisomerase ?? alpha antibody. Counter stained with hematoxylin.
风险提示:丁香通仅作为第三方平台,为商家信息发布提供平台空间。用户咨询产品时请注意保护个人信息及财产安全,合理判断,谨慎选购商品,商家和用户对交易行为负责。对于医疗器械类产品,请先查证核实企业经营资质和医疗器械产品注册证情况。
文献和实验Immunohistochemistry / Immunocytochemistry Procedures
of fixative for each antigen. However frozen sections give less morphological detail and resolution than other methods. Rabbit anti-alpha-internexin (Cat No. AB5354
High‐Throughput, Multiplexed Analysis of 3‐Nitrotyrosine in Individual Proteins
.1 ) Phosphate‐buffered saline (PBS; Fisher Scientific) Alexa Fluor 546–conjugated goat anti—rabbit IgG (Invitrogen, cat. no. A‐11035
月初在invitrogen订了该酶,一直未到货。今天被告知invitrogen停止生产TEV Protease了!不知其它哪家公司的TEV Protease 比较好?谢啦! http://www.dxy.cn/bbs/post/view?bid=65&id=5007982&sty=1&tpg=21&age=0 [求助]HSP70 的抗体 请问有人可以送我做4次实验(稀释后的总体积为6ml即可)的HSP70的抗体吗?我的抗原来自人,有抗mouse,rabbit的二抗。如有请分享一下,多谢
技术资料暂无技术资料 索取技术资料





![TNFRSF11A Polyclonal Conjugated Antibody[C29128]](https://img1.dxycdn.com/p/s14/2025/0922/498/0460884283108299691.jpg!wh200)

![DGKH Conjugated Antibody[C33954]](https://img1.dxycdn.com/p/s14/2025/0923/278/4431488150116040791.jpg!wh200)
