相关产品推荐更多 >
万千商家帮你免费找货
0 人在求购买到急需产品
- 详细信息
- 询价记录
- 文献和实验
- 技术资料
- 免疫原:
Synthetic peptide (KLH-coupled) witihin human Caspase-3 N-terminal.
- 形态:
liquid
- 保存条件:
Store at -20˚C
- 克隆性:
Polyclonal
- 适应物种:
Human;Mouse
- 保质期:
12 months
- 抗原来源:
Rabbit
- 供应商:
南京赛戈巍生物科技有限公司
- 宿主:
Rabbit
- 应用范围:
WB, ICC, IHC, FC
- 靶点:
Uniprot:P42574
- 抗体英文名:
Caspase-3 Antibody
- 规格:
50ul/100ul
Apopain antibody
CASP-3 antibody
CASP3 antibody
CASP3_HUMAN antibody
Casp3a antibody
Caspase 3 antibody
Caspase 3, apoptosis-related cysteine peptidase antibody
Caspase 3, apoptosis-related cysteine protease antibody
Caspase 3, apoptosis-related cysteine protease a antibody
Caspase-3 subunit p12 antibody
CC3 antibody
CPP-32 antibody
CPP32 antibody
CPP32B antibody
Cysteine protease CPP32 antibody
EC 3.4.22.56 antibody
LICE antibody
mldy antibody
OTTHUMP00000165052 antibody
OTTHUMP00000165053 antibody
OTTHUMP00000165054 antibody
PARP cleavage protease antibody
Procaspase3 antibody
Protein Yama antibody
SCA 1 antibody
SCA-1 antibody
SREBP cleavage activity 1 antibody
Yama antibody
计算分子量:31 kDa
配方:1*TBS (pH7.4), 1%BSA, 40%Glycerol. Preservative: 0.05% Sodium Azide.
应用详情:WB: 1:500-1:1,000
IHC: 1:200
ICC: 1:200
FC: 1:100-1:200
图片:

Western blot analysis of Caspase-3 on different lysates using anti- Caspase-3 antibody at 1/1,000 dilution.
Positive control: Lane 1: Human lung Lane 2: Human brain Lane 3: Jurkat Lane 4: F9 Lane 5: NCCTI Lane 6: Daudi Lane 7: Raji Lane 8: MCF-7 Lane 9: Hela,

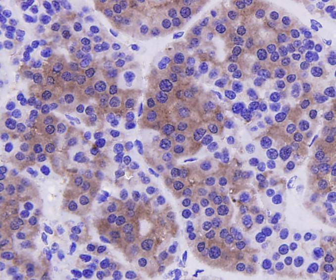
Immunohistochemical analysis of paraffin-embedded human liver carcinoma tissue using anti-Caspase-3 antibody. Counter stained with hematoxylin.
,

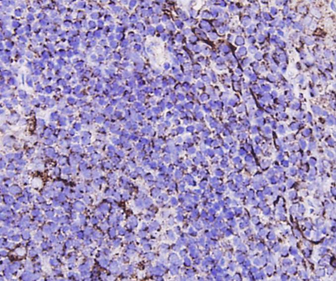
Immunohistochemical analysis of paraffin-embedded human tonsil tissue using anti-Caspase-3 antibody. Counter stained with hematoxylin.
,

ICC staining of Caspase-3 in HepG2 cells (green). Cells were fixed in paraformaldehyde, permeabilised with 0.25% Triton X100/PBS.
,

ICC staining of Caspase-3 in A549 cells (green). Cells were fixed in paraformaldehyde, permeabilised with 0.25% Triton X100/PBS.
,

Flow cytometric analysis of Hela cells with Caspase-3 antibody at 1/100 dilution (blue) compared with an unlabelled control (cells without incubation with primary antibody; red). Goat anti rabbit IgG (FITC) was used as the secondary antibody.
风险提示:丁香通仅作为第三方平台,为商家信息发布提供平台空间。用户咨询产品时请注意保护个人信息及财产安全,合理判断,谨慎选购商品,商家和用户对交易行为负责。对于医疗器械类产品,请先查证核实企业经营资质和医疗器械产品注册证情况。
- 作者
- 内容
- 询问日期
文献和实验【求助】caspase-3抗体与激活型caspase-3抗体
环佩从容 要做下一步实验啦,这两个抗体选哪个呀,目前研究有没有区分哪一个更好点啊 ronaldo_zj 楼主您好。 1. 楼主需要知道Pro caspase-3以及Cleaved caspase-3的功能以及检测手段,不是说哪个好那个不好的问题,而是根据你的课题需要检测何种片段的问题。请楼主先具体查阅关于caspase活化的文献后再定好实验计划; 2. 目前多数研究均认为Cleaved
olivial 最近想做caspase-3的WB,但关于caspase-3的活化有一个问题一直没弄明白,想请教。 在没受刺激前,细胞内的caspase-3以procaspase的形式存在,当受到内外源性刺激时,被活化成异二聚体,该异二聚体由p12和p17两个亚基组成。但procaspase是怎样变成异二聚体的呢?是self-cleavage,还是上游信号如caspase-8、9裂解的? selenium
bin1986 最近在做凋亡,在用凯基的caspase-3分光光度法试剂盒检测 细胞经过与药物孵育24小时后检测 用酶标仪检测,OD值在0.1-0.3之间,有一定浓度依赖,高浓度下caspase-3的活化程度有差不多4 问题在于,我用BCA蛋白定量得到的蛋白浓度时30多ug/ul,我加了有250ug,如果按照说明书的话,这个OD值应该在1左右,而我的最高才0.3.另外我的control孔(没加药)与我最低
技术资料暂无技术资料 索取技术资料






![Trypsin-1 Polyclonal Antibody[41516]](https://img1.dxycdn.com/p/s14/2025/0922/568/0046652811090600791.jpg!wh200)
![DCAF5 Antibody[47027]](https://img1.dxycdn.com/p/s14/2025/0923/496/0462304380155040791.jpg!wh200)
![PRH2 Conjugated Antibody[C43931]](https://img1.dxycdn.com/p/s14/2025/0923/278/4431488150116040791.jpg!wh200)

