相关产品推荐更多 >
万千商家帮你免费找货
0 人在求购买到急需产品
- 详细信息
- 文献和实验
- 技术资料
- 免疫原:
Synthetic peptide within human K2P4.1 aa 320-380.
- 形态:
liquid
- 保存条件:
Store at -20˚C
- 克隆性:
Polyclonal
- 适应物种:
Human;Mouse
- 保质期:
12 months
- 抗原来源:
Rabbit
- 供应商:
南京赛戈巍生物科技有限公司
- 宿主:
Rabbit
- 应用范围:
WB,IHC,FC
- 靶点:
Uniprot:Q9NYG8
- 抗体英文名:
K2P4.1 Antibody
- 规格:
50ul/100ul
K2P4.1 potassium channel antibody
KCNK 4 antibody
MGC144821 antibody
Potassium channel subfamily K member 4 antibody
Potassium inwardly rectifying channel subfamily K member 4 antibody
TRAAK antibody
TRAAK1 antibody
TRAAKt antibody
TWIK related arachidonic acid stimulated potassium channel protein antibody
Two pore K(+) channel KT4.1 antibody
Two pore K+ channel KT4.1 antibody
Two pore potassium channel KT4.1 antibody
计算分子量:43 kDa
配方:1*TBS (pH7.4), 0.5%BSA, 50%Glycerol. Preservative: 0.05% Sodium Azide.
应用详情:WB: 1:500
IHC: 1:50-1:200
FC: 1:50-1:100
图片:

Western blot analysis of K2P4.1 on different lysates using anti-K2P4.1 antibody at 1/500 dilution.
Positive control??
Lane1: Mouse colon
Lane2: Rat kidney
,

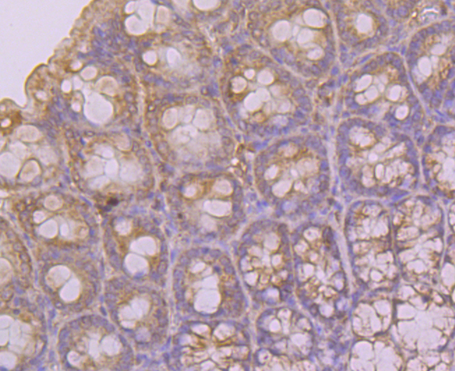
Immunohistochemical analysis of paraffin-embedded rat large intestine tissue using anti-K2P4.1 antibody. Counter stained with hematoxylin.
,

Immunohistochemical analysis of paraffin-embedded mouse colon tissue using anti-K2P4.1 antibody. Counter stained with hematoxylin.
,

Flow cytometric analysis of HepG2 cells with K2P4.1 antibody at 1/100 dilution (purple) compared with an unlabelled control (cells without incubation with primary antibody; yellow). Alexa Fluor 488-conjugated goat anti-rabbit IgG was used as the secondary antibody.
风险提示:丁香通仅作为第三方平台,为商家信息发布提供平台空间。用户咨询产品时请注意保护个人信息及财产安全,合理判断,谨慎选购商品,商家和用户对交易行为负责。对于医疗器械类产品,请先查证核实企业经营资质和医疗器械产品注册证情况。
文献和实验促进血液凝固的脂溶性维生素, K是 Koagu-lation的缩写。也称抗出血性维生素。作为具此作用的物质已从天然物中分离出 K1 , K2 ,以及合成出 K3 , K4 ,它们都是萘醌的衍生物。维生素 K1 亦称为叶绿醌, C3 1 H46 O2 ,黄色油状。维生素 K2 亦称为金合欢醌或甲基萘醌 C41 H36 O2 。维生素 K3 就是 2-甲基 1, 4萘醌( menadione),它是人工合成的代表性物质,有特殊臭味,作为维生素作用
Isolation of Knotted DNA from Coliphage P4
have been useful in screening drugs that are suspected to inhibit type II topoisomerases. This chapter describes the isolation of knotted DNA from P4 phage. In the case of wild-type P4, such DNA molecules are double-stranded, hydrogen-bonded, knotted circles of 11
Karyotye (核型):一个细胞或种属中整个染色体物质。 Kilobase, kb (千碱基):1000 个DNA 碱基对或1000 个RNA 碱基的缩写。 Kinase (激酶):磷酸化(加上一个磷酸基团) 底物的酶,蛋白质激酶的底物是其它蛋白质的 氨基酸,分为酪氨酸特异性及丝氨酸/苏氨酸特异性激酶两类。 Kinetic complexity (动力学复杂度):DNA 复性动力学检测的DNA 成分的复杂度。 Kinetochore (动粒纤维):染色体的结构
技术资料暂无技术资料 索取技术资料





![Substance P Conjugated Antibody[C45053]](https://img1.dxycdn.com/p/s14/2025/0923/278/4431488150116040791.jpg!wh200)
![PKHD1 Antibody[48398]](https://img1.dxycdn.com/p/s14/2025/0923/496/0462304380155040791.jpg!wh200)

![MYO7A Conjugated Antibody[C56330]](https://img1.dxycdn.com/p/s14/2025/0922/632/2321321568067599691.jpg!wh200)

