相关产品推荐更多 >
万千商家帮你免费找货
0 人在求购买到急需产品
- 详细信息
- 文献和实验
- 技术资料
- 免疫原:
This antibody is produced by immunizing rabbits with a synthetic peptide (KLH-coupled) corresponding to N-terminal NF-κB p65.
- 形态:
liquid
- 保存条件:
Store at -20˚C
- 克隆性:
Polyclonal
- 适应物种:
Human;Mouse;Rat
- 保质期:
12 months
- 抗原来源:
Rabbit
- 供应商:
南京赛戈巍生物科技有限公司
- 宿主:
Rabbit
- 应用范围:
WB, IHC, FC
- 靶点:
Uniprot:Q04206
- 抗体英文名:
NF-κB p65 Antibody
- 规格:
50ul/100ul
MGC131774 antibody
NF kappa B p65delta3 antibody
NFKB3 antibody
Nuclear Factor NF Kappa B p65 Subunit antibody
Nuclear factor NF-kappa-B p65 subunit antibody
Nuclear factor of kappa light polypeptide gene enhancer in B cells 3 antibody
Nuclear factor of kappa light polypeptide gene enhancer in B-cells 3 antibody
OTTHUMP00000233473 antibody
OTTHUMP00000233474 antibody
OTTHUMP00000233475 antibody
OTTHUMP00000233476 antibody
OTTHUMP00000233900 antibody
p65 antibody
p65 NF kappaB antibody
p65 NFkB antibody
relA antibody
TF65_HUMAN antibody
Transcription factor p65 antibody
v rel avian reticuloendotheliosis viral oncogene homolog A (nuclear factor of kappa light polypeptide gene enhancer in B cells 3 (p65)) antibody
V rel avian reticuloendotheliosis viral oncogene homolog A antibody
v rel reticuloendotheliosis viral oncogene homolog A (avian) antibody
V rel reticuloendotheliosis viral oncogene homolog A, nuclear factor of kappa light polypeptide gene enhancer in B cells 3, p65 antibody
计算分子量:65 kDa
配方:1*TBS (pH7.4), 1%BSA, 40%Glycerol. Preservative: 0.05% Sodium Azide.
应用详情:WB: 1:1,000-1:2,000
IHC: 1:100-1:200
FC: 1:50-1:100
图片:

Western blot analysis of NF-κB p65 on different lysates using anti-NF-κB p65 antibody at 1/1000 dilution.
Positive control: Lane1: Hela Lane2:A549 Lane3: PC12 Lane 4: Mouse embryonic stem cell Lane5: NIH/3T3,

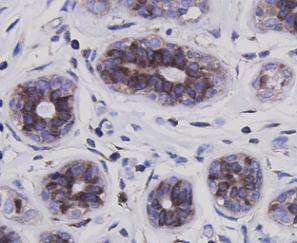
Immunohistochemical analysis of paraffin-embedded human breast carcinoma tissue using anti-NF-κB p65 antibody. Counter stained with hematoxylin.
,

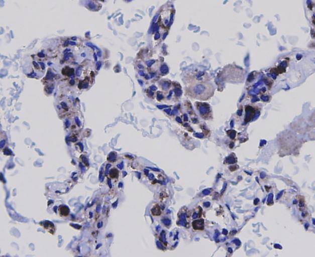
Immunohistochemical analysis of paraffin-embedded human lung carcinoma tissue using anti-NF-??B p65 antibody. Counter stained with hematoxylin.
,

Flow cytometric analysis of Hela cells with NF-κB p65 antibody at 1/50 dilution (blue) compared with an unlabelled control (cells without incubation with primary antibody; red). Goat anti rabbit IgG (FITC) was used as the secondary antibody.
风险提示:丁香通仅作为第三方平台,为商家信息发布提供平台空间。用户咨询产品时请注意保护个人信息及财产安全,合理判断,谨慎选购商品,商家和用户对交易行为负责。对于医疗器械类产品,请先查证核实企业经营资质和医疗器械产品注册证情况。
文献和实验【求助】测定NF-κB 活性参与者:sandy99实验中设计测定NF-κB 活性,我查的资料有以下几种选择:1、EMSA。请教所设计的标记探针的序列?以及该实验的注意事项。(没做过)2、抽提核蛋白,用P65抗体做Western Blot.请问性价比较高的,好做的是哪个公司的抗体?还有啊,如果这个抗体用FITC标记过,是不是就可以用来做激光共聚焦实验?也可做WB?3、ELISA,贵,暂不考虑。谢谢!参与者:hwclove我试着说一下我的看法:1.EMSA中一般都是用P标记的探针,具有放射
大鼠核因子-κB亚基p65亲和肽(NF-κB p65)酶联免疫分析
大鼠核因子- κB 亚基p65 亲和肽(NF- κB p65) 酶联免疫分析 试剂盒使用说明书 本试剂仅供研究使用 目的:本试剂盒用于测定大鼠血清,血浆及相关液体样本中 核因子- κB 亚基p65 亲和肽(NF- κB p65) 的含量。 实验原理: 本试剂盒应用双抗体夹心法测定标本中 大鼠 核因子- κB 亚基p65 亲和肽(NF- κB p65) 的水平。用纯化的大鼠 核因子- κB 亚基p65
dcz200210021 想向大虾们请教几个问题,现在抑制NF-κB活性的方法有哪些种? 都各有什么优缺点。有没有些关于这方面的文章可以介绍给我看看。不甚感谢! doctormy 常见的方法有: 1、RNAi(NF-κB p65 siRNA):优点特异性较强、缺点价格较高 2、针对NF-kB亚基设计的反义寡核苷酸(如NF-κB p65反义寡核苷酸):优点,靶点明确;缺点,抑制效率不如RNAi 3、转染
技术资料暂无技术资料 索取技术资料





![DIRC2 Antibody[44768]](https://img1.dxycdn.com/p/s14/2025/0922/568/0046652811090600791.jpg!wh200)
![MUC5B Conjugated Antibody[C56320]](https://img1.dxycdn.com/p/s14/2025/0922/632/2321321568067599691.jpg!wh200)
![CAPZA1 Conjugated Antibody[C37459]](https://img1.dxycdn.com/p/s14/2025/0923/278/4431488150116040791.jpg!wh200)
![LAMP1 Rabbit Polyclonal Antibody[54315]](https://img1.dxycdn.com/p/s14/2025/0922/498/0460884283108299691.jpg!wh200)

