相关产品推荐更多 >
万千商家帮你免费找货
0 人在求购买到急需产品
- 详细信息
- 文献和实验
- 技术资料
- 免疫原:
recombinant protein
- 形态:
liquid
- 保存条件:
Store at -20˚C
- 克隆性:
Monoclonal
- 保质期:
12 months
- 抗原来源:
Mouse
- 供应商:
南京赛戈巍生物科技有限公司
- 宿主:
Mouse
- 应用范围:
WB, IHC
- 靶点:
Uniprot:P12319
- 抗体英文名:
FC Antibody
- 规格:
50ul/100ul
Fc epsilon RI alpha chain antibody
Fc epsilon RI alpha-chain antibody
Fc fragment of IgE high affinity I receptor for alpha polypeptide antibody
Fc fragment of IgE, high affinity I, receptor for, alpha subunit antibody
Fc fragment of IgE, high affinity I, receptor for; alpha polypeptide antibody
Fc IgE receptor alpha polypeptide antibody
Fc IgE receptor, alpha chain antibody
Fc IgE receptor, alpha polypeptide antibody
Fc of IgE high affinity I receptor for alpha polypeptide antibody
Fc-epsilon RI-alpha antibody
FCE 1A antibody
FCE1A antibody
FCER 1A antibody
Fcer1a antibody
FCERA_HUMAN antibody
FceRI alpha antibody
FcERI antibody
high affinity IgE receptor antibody
High affinity immunoglobulin epsilon receptor alpha subunit antibody
high affinity immunoglobulin epsilon receptor alpha-subunit antibody
High affinity immunoglobulin epsilon receptor subunit alpha antibody
IgE Fc receptor alpha subunit antibody
IgE Fc receptor subunit alpha antibody
Immunoglobulin E receptor high affinity of mast cells alpha polypeptide antibody
immunoglobulin E receptor, high-affinity, of mast cells, alpha polypeptide antibody
计算分子量:50 kDa
配方:1*TBS (pH7.4), 1%BSA, 40%Glycerol. Preservative: 0.16% Sodium Azide.
应用详情:WB: 1:1,000-5,000
IHC: 1:50-1:200
图片:

Western blot analysis of FC on human plasma lysates using anti-FC antibody at 1/500 dilution.
,

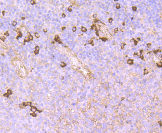
Immunohistochemical analysis of paraffin-embedded human tonsil tissue using anti-FC antibody. Counter stained with hematoxylin.
,

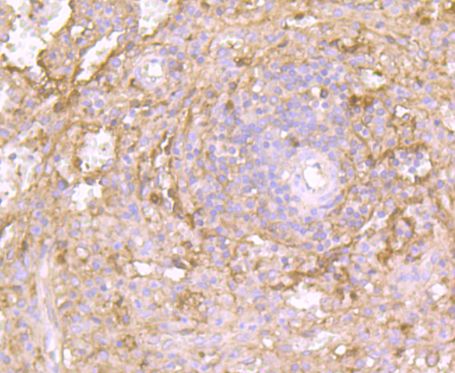
Immunohistochemical analysis of paraffin-embedded human spleen tissue using anti-FC antibody. Counter stained with hematoxylin.
风险提示:丁香通仅作为第三方平台,为商家信息发布提供平台空间。用户咨询产品时请注意保护个人信息及财产安全,合理判断,谨慎选购商品,商家和用户对交易行为负责。对于医疗器械类产品,请先查证核实企业经营资质和医疗器械产品注册证情况。
文献和实验作为免疫反应调节的细胞而发挥作用,但这些细胞的Fc受体的作用尚不甚明了。在人体,具有对IgM的Fc受体的细胞,是B细胞的助细胞,以及具有对IgG的受体细胞,是作为抑制细胞而起作用。(4)对肥大细胞的Fc受体结合的IgE,其进一步与抗原结合时,肥大细胞可释放出引起“即发型”过敏症因子。(5)非淋巴细胞性的某种细胞(K细胞),可与癌细胞同异种细胞结合的IgG的Fc部分结合,给这些细胞以障碍,这种现象称为抗体依赖性细胞障碍作用(antibody dependent cellular cytotoxi
Determination of Fc-Mediated Antibody-Effector Functions by Chromium Release Assay
Monoclonal antibodies (mAbs) can exert their biological functions by a large variety of mechanisms and have therefore become a major part in the treatment of diseases like viral infections and cancer. For the clinical efficacy of many mAbs Fc
to reduce immunogenicity, progress in antibody engineering now enables the generation of antibodies with novel interesting features. The introduction of Fc engineering technologies offers the potential to tailor Fc-mediated effector functions
技术资料暂无技术资料 索取技术资料





![STC1 Rabbit Polyclonal Antibody[55015]](https://img1.dxycdn.com/p/s14/2025/0922/498/0460884283108299691.jpg!wh200)
![SIGLEC12 Antibody[40105]](https://img1.dxycdn.com/p/s14/2025/0922/568/0046652811090600791.jpg!wh200)

![BNIP3 Mouse mAb[63158]](https://img1.dxycdn.com/p/s14/2025/0922/632/2321321568067599691.jpg!wh200)
