相关产品推荐更多 >
万千商家帮你免费找货
0 人在求购买到急需产品
- 详细信息
- 文献和实验
- 技术资料
- 免疫原:
recombinant protein
- 形态:
liquid
- 保存条件:
Store at -20˚C
- 克隆性:
Monoclonal
- 适应物种:
Human
- 保质期:
12 months
- 抗原来源:
Mouse
- 供应商:
南京赛戈巍生物科技有限公司
- 宿主:
Mouse
- 应用范围:
WB, ICC, IHC
- 靶点:
Uniprot:P80188
- 抗体英文名:
NGAL Antibody
- 规格:
50ul/100ul
25 kDa alpha 2 microglobulin related subunit of MMP9 antibody
25 kDa alpha-2-microglobulin-related subunit of MMP-9 antibody
Alpha 2 microglobulin related protein antibody
HGNC:6526 antibody
HNL antibody
Lcn 2 antibody
Lcn2 antibody
Lipocalin-2 antibody
Migration stimulating factor inhibitor antibody
MSFI antibody
Neutrophil gelatinase associated lipocalin antibody
Neutrophil gelatinase associated lipocalin precursor antibody
Neutrophil gelatinase-associated lipocalin antibody
NGAL antibody
NGAL_HUMAN antibody
Oncogene 24p3 antibody
Oncogenic lipocalin 24p3 antibody
p25 antibody
Siderocalin antibody
siderocalin LCN2 antibody
SV40 induced 24P3 protein antibody
Uterocalin antibody
计算分子量:22 kDa
配方:1*TBS (pH7.4), 1%BSA, 40%Glycerol. Preservative: 0.11% Sodium Azide.
应用详情:WB: 1:1,000
IHC: 1:50-1:200
ICC: 1:50-1:200
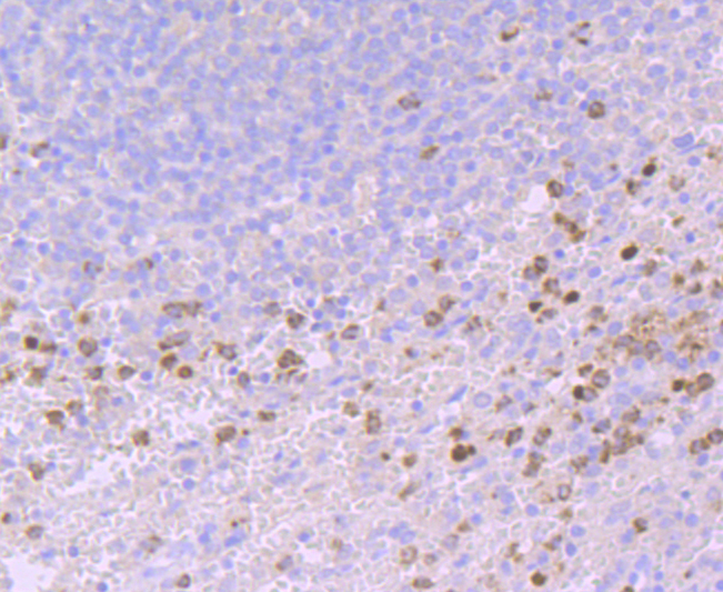
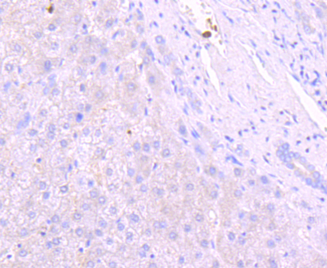
图片:

Immunohistochemical analysis of paraffin-embedded human spleen tissue using anti-NGAL Tubulin antibody. Counter stained with hematoxylin.
,

Immunohistochemical analysis of paraffin-embedded human stomach cancer tissue using anti-NGAL antibody. Counter stained with hematoxylin.
,

Immunohistochemical analysis of paraffin-embedded huamn liver tissue using anti-NGAL antibody. Counter stained with hematoxylin.
,

ICC staining NGAL in A431 cells (red). The nuclear counter stain is DAPI (blue). Cells were fixed in paraformaldehyde, permeabilised with 0.25% Triton X100/PBS.
,

ICC staining NGAL in NIH-3T3 cells (red). The nuclear counter stain is DAPI (blue). Cells were fixed in paraformaldehyde, permeabilised with 0.25% Triton X100/PBS.
,

ICC staining NGAL in SW480 cells (red). The nuclear counter stain is DAPI (blue).Cells were fixed in paraformaldehyde, permeabilised with 0.25% Triton X100/PBS.
风险提示:丁香通仅作为第三方平台,为商家信息发布提供平台空间。用户咨询产品时请注意保护个人信息及财产安全,合理判断,谨慎选购商品,商家和用户对交易行为负责。对于医疗器械类产品,请先查证核实企业经营资质和医疗器械产品注册证情况。
文献和实验人Lipocalin-2 (NGAL)ELISA试剂盒 说明书
上海西唐生物科技有限公司 021-55229872, 65333639 www.westang.com 人 Lipocalin-2 ( NGAL )ELISA 试剂盒 ( 用于血清、血浆、细胞培养上清液和尿液、唾液生物体液内 ) 原理 本实验采用双抗体夹心 ABC-ELISA 法。用抗人 NGAL 单抗包被于酶标板上,标准品和样品中的 NGAL与单抗结合,加入生物素化的抗人
NGAL(中性粒细胞明胶酶相关脂质运载蛋白)作为肾损伤的标志物最近成为热点。但是,像许多其他内源性生物标志物分子一样,它不是由一种细胞类型产生的,不同组织中的不同病理都会引起反应。应考虑到不同病人的并存条件解析结果,对这个灵敏的生物标志物做出最佳利用。 从我在CLI的简短介绍文章之后,关于NGAL作为肾损伤早期标志物的性能的研究没有停止。关于NGAL的论文出现速度是每周超过2篇,主要强调的是其肾脏作用。这并不是说这个有趣的分子的其他方面被忽略了
大鼠Lipocalin-2 (NGAL)ELISA试剂盒 说明书
上海西唐生物科技有限公司 021-55229872, 65333639 www.westang.com 大鼠 Lipocalin-2 (NGAL)ELISA 试剂盒 ( 用于血清、血浆、细胞培养上清液和尿液生物体液内 ) 原理 本实验采用双抗体夹心 ABC-ELISA 法。用抗大鼠 NGAL 单抗包被于酶标板上,标准品和样品中的 NGAL 与单抗结合,加入生物素化的抗大鼠 NGAL ,形成免疫复合
技术资料暂无技术资料 索取技术资料





![KDM2A Antibody[47546]](https://img1.dxycdn.com/p/s14/2025/0923/496/0462304380155040791.jpg!wh200)
![RPLP2 Conjugated Antibody[C34344]](https://img1.dxycdn.com/p/s14/2025/0923/278/4431488150116040791.jpg!wh200)
![CD213A1 Mouse mAb[63296]](https://img1.dxycdn.com/p/s14/2025/0922/632/2321321568067599691.jpg!wh200)


