相关产品推荐更多 >
万千商家帮你免费找货
0 人在求购买到急需产品
- 详细信息
- 文献和实验
- 技术资料
- 免疫原:
Recombinant protein within human GLUR 260-450 aa.
- 形态:
liquid
- 保存条件:
Store at -20˚C
- 克隆性:
Polyclonal
- 适应物种:
Human;Rat
- 保质期:
12 months
- 抗原来源:
Rabbit
- 供应商:
南京赛戈巍生物科技有限公司
- 宿主:
Rabbit
- 应用范围:
WB,ICC,IHC,FC
- 靶点:
Uniprot:P00390
- 抗体英文名:
GLUR Antibody
- 规格:
50ul/100ul
GLUR antibody
Glutathione reductase antibody
Glutathione reductase mitochondrial antibody
Glutathione reductase, mitochondrial antibody
GR antibody
Gr1 antibody
GRase antibody
GRD 1 antibody
GRD1 antibody
GSHR_HUMAN antibody
GSR antibody
MGC78522 antibody
计算分子量:56 kDa
配方:1*TBS (pH7.4), 0.5%BSA, 50%Glycerol. Preservative: 0.05% Sodium Azide.
应用详情:
WB: 1:1,000-1:2,000
IHC: 1:50-1:200
ICC: 1:50-1:200
FC: 1:50-1:100
图片:

Western blot analysis of GLUR on different lysates using anti-GLUR antibody at 1/2,000 dilution.
Positive control??
Lane1: A549
Lane2: Rat liver tissue
,

Immunohistochemical analysis of paraffin-embedded rat epididymis tissue using anti-GLUR antibody. Counter stained with hematoxylin.
,

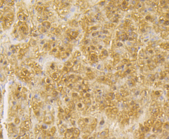
Immunohistochemical analysis of paraffin-embedded human liver tissue using anti-GLUR antibody. Counter stained with hematoxylin.
,

Immunohistochemical analysis of paraffin-embedded human thyroid gland tissue using anti-GLUR antibody. Counter stained with hematoxylin.
,

ICC staining GLUR in A549 cells (green). The nuclear counter stain is DAPI (blue). Cells were fixed in paraformaldehyde, permeabilised with 0.25% Triton X100/PBS.
,

Flow cytometric analysis of A549 cells with GLUR antibody at 1/100 dilution (purple) compared with an unlabelled control (cells without incubation with primary antibody; yellow). Alexa Fluor 488-conjugated goat anti-rabbit IgG was used as the secondary antibody.
风险提示:丁香通仅作为第三方平台,为商家信息发布提供平台空间。用户咨询产品时请注意保护个人信息及财产安全,合理判断,谨慎选购商品,商家和用户对交易行为负责。对于医疗器械类产品,请先查证核实企业经营资质和医疗器械产品注册证情况。
文献和实验摘要 Trafficking of AMPA receptors (AMPARs) is regulated by specific interactions of the subunit intracellular C-terminal domains (CTDs) with other proteins, but the mechanisms involved in this process are still unclear. We have found that the GluR
Generation of Antibody Molecules Through Antibody Engineering
been overcome to a large extent using genetic-engineering techniques to produce chimeric mouse/human and completely human antibodies. Such an approach is particularly suitable because of the domain structure of the antibody molecule ( 2 ), where functional
The importance of antibody molecules was first recognized in the 1890s, when it was shown that immunity to tetanus and diphtheria was caused by antibodies against the bacterial exotoxins (1 ). Around the same time, it was shown that antisera
技术资料暂无技术资料 索取技术资料





![GPD1L Antibody[47391]](https://img1.dxycdn.com/p/s14/2025/0923/496/0462304380155040791.jpg!wh200)
![Tetraspanin-8 Polyclonal Antibody[41487]](https://img1.dxycdn.com/p/s14/2025/0922/568/0046652811090600791.jpg!wh200)
![COX1 Rabbit Polyclonal Antibody[55247]](https://img1.dxycdn.com/p/s14/2025/0922/498/0460884283108299691.jpg!wh200)

