相关产品推荐更多 >
万千商家帮你免费找货
0 人在求购买到急需产品
- 详细信息
- 技术资料
- 免疫原:
peptide
- 形态:
liquid
- 保存条件:
Store at -20˚C
- 克隆性:
Monoclonal
- 适应物种:
Human
- 保质期:
12 months
- 抗原来源:
Mouse
- 供应商:
南京赛戈巍生物科技有限公司
- 宿主:
Mouse
- 应用范围:
WB, IHC, FC
- 靶点:
Uniprot:P16070
- 抗体英文名:
CD44 Antibody
- 规格:
50ul/100ul
BA-1 antibody
CD 44 antibody
CD44 antibody
CD44 antigen antibody
CD44 molecule (Indian blood group) antibody
CD44 molecule antibody
CD44_HUMAN antibody
CDw44 antibody
Cell surface glycoprotein CD44 antibody
chondroitin sulfate proteoglycan 8 antibody
CSPG8 antibody
ECMR-III antibody
Epican antibody
Extracellular matrix receptor III antibody
GP90 lymphocyte homing/adhesion receptor antibody
HCELL antibody
hematopoietic cell E- and L-selectin ligand antibody
Heparan sulfate proteoglycan antibody
Hermes antigen antibody
homing function and Indian blood group system antibody
HSA antibody
HUTCH-I antibody
HUTCH1 antibody
Hyaluronate receptor antibody
IN antibody
INLU-related p80 Glycoprotein antibody
MC56 antibody
MDU2 antibody
MDU3 antibody
MGC10468 antibody
MIC4 antibody
MUTCH1 antibody
PGP-1 antibody
PGP-I antibody
PGP1 antibody
Phagocytic glycoprotein 1 antibody
Phagocytic glycoprotein I antibody
Soluble CD44 antibody
计算分子量:80 kDa
配方:1*TBS (pH7.4), 1%BSA, 40%Glycerol. Preservative: 0.05% Sodium Azide.
应用详情:WB: 1:500-1:1000
IHC: 1:200
FC: 1:100-1:200
图片:
![CD44 Antibody[48353]](https://img1.dxycdn.com/p/s14/2025/0923/739/2342829331573140791.jpg)
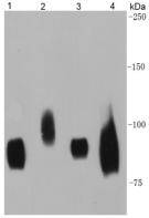
Western blot analysis of CD44 on different cell lysates using anti- CD44 antibody at 1/500 dilution. Positive control: Line1: HUVEC Line2: HL-60 Line3: Hela Line4:SKOV3
,
![CD44 Antibody[48353]](https://img1.dxycdn.com/p/s14/2025/0923/134/8007453371573140791.jpg)
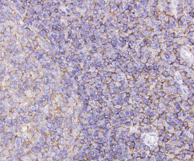
Immunohistochemical analysis of paraffin-embedded human tonsil tissue using anti-CD44 antibody. Counter stained with hematoxylin.
,
![CD44 Antibody[48353]](https://img1.dxycdn.com/p/s14/2025/0923/803/2572484435573140791.jpg)
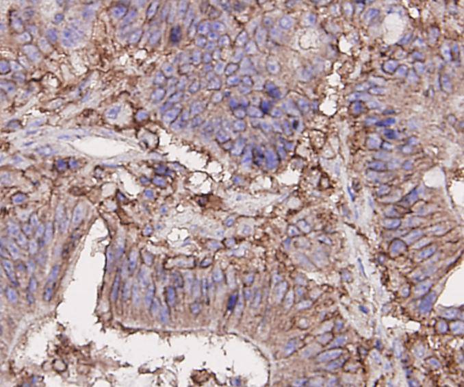
Immunohistochemical analysis of paraffin-embedded human colon carcinoma tissue using anti-CD44 antibody. Counter stained with hematoxylin.
,
![CD44 Antibody[48353]](https://img1.dxycdn.com/p/s14/2025/0923/082/2593520631573140791.jpg)
Flow cytometric analysis of Hela cells with CD44 antibody at 1/100 dilution (blue) compared with an unlabelled control (cells without incubation with primary antibody; red). Goat anti mouse IgG (FITC) was used as the secondary antibody.
风险提示:丁香通仅作为第三方平台,为商家信息发布提供平台空间。用户咨询产品时请注意保护个人信息及财产安全,合理判断,谨慎选购商品,商家和用户对交易行为负责。对于医疗器械类产品,请先查证核实企业经营资质和医疗器械产品注册证情况。
技术资料暂无技术资料 索取技术资料


![CD44 Antibody[48353]](https://img1.dxycdn.com/p/s14/2025/0923/496/0462304380155040791.jpg)


![MMGT1 Conjugated Antibody[C42906]](https://img1.dxycdn.com/p/s14/2025/0923/278/4431488150116040791.jpg!wh200)
![Fibrinogen alpha chain Conjugated Antibody[C56664]](https://img1.dxycdn.com/p/s14/2025/0922/632/2321321568067599691.jpg!wh200)
![Sir2/SIRT1 Antibody[48265]](https://img1.dxycdn.com/p/s14/2025/0923/496/0462304380155040791.jpg!wh200)
![BCL2L15 Antibody[35595]](https://img1.dxycdn.com/p/s14/2025/0922/359/6146153295428599691.jpg!wh200)
![NDUFAF2 Rabbit Polyclonal Antibody[53842]](https://img1.dxycdn.com/p/s14/2025/0922/498/0460884283108299691.jpg!wh200)
