相关产品推荐更多 >
万千商家帮你免费找货
0 人在求购买到急需产品
- 详细信息
- 文献和实验
- 技术资料
- 免疫原:
peptide
- 形态:
liquid
- 保存条件:
Store at -20˚C
- 克隆性:
Monoclonal
- 适应物种:
Hu,Ms,Rt,zebrafish
- 保质期:
12 months
- 抗原来源:
Mouse
- 供应商:
南京赛戈巍生物科技有限公司
- 宿主:
Mouse
- 应用范围:
WB, ICC, IHC, FC
- 靶点:
Uniprot:P07437
- 抗体英文名:
β-tubulin Antibody
- 规格:
50ul/100ul
Beta 5 tubulin antibody
BetaTubulin antibody
TBB5_HUMAN antibody
TUBB antibody
TUBB2 antibody
TUBB2A antibody
TUBB5 antibody
tubulin beta 2A antibody
Tubulin beta chain antibody
Tubulin beta-5 chain antibody
计算分子量:50 kDa
配方:1*TBS (pH7.4), 1%BSA, 40%Glycerol. Preservative: 0.05% Sodium Azide.
应用详情:WB: 1:5,000-1:10,000
IHC: 1:20
ICC: 1:200
FC: 1:50-1:100
图片:

Western blot analysis of β-tubulin on different cell lysates using anti-β-tubulin antibody at 1/5000 dilution. Positive control:
Lane 1: NCCIT
Lane 2: NIH/3T3
Lane 3: PC12
Lane 4: Mouse heart
Lane 5: F9
Lane 6: zebrafish brain
Lane 7: Hela
,

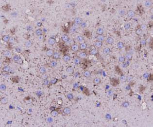
Immunohistochemical analysis of paraffin-embedded mouse brain tissue using anti-β-tubulin antibody. Counter stained with hematoxylin.
,

ICC staining β-tubulin in Hela cells (red). The nuclear counter stain is DAPI (blue). Cells were fixed in paraformaldehyde, permeabilised with 0.25% Triton X100/PBS.
,

ICC stainingβ-tubulin in HepG2 cells (red). The nuclear counter stain is DAPI (blue). Cells were fixed in paraformaldehyde, permeabilised with 0.25% Triton X100/PBS.
,

ICC staining??-tubulin in NIH/3T3 cells (red). The nuclear counter stain is DAPI (blue). Cells were fixed in paraformaldehyde, permeabilised with 0.25% Triton X100/PBS.
,

Flow cytometric analysis of HeLa?cells with β-tubulin antibody at 1/50 dilution (blue) compared with an unlabelled control (cells without incubation with primary antibody; red). Goat anti mouse IgG (FITC) was used as the secondary antibody.
风险提示:丁香通仅作为第三方平台,为商家信息发布提供平台空间。用户咨询产品时请注意保护个人信息及财产安全,合理判断,谨慎选购商品,商家和用户对交易行为负责。对于医疗器械类产品,请先查证核实企业经营资质和医疗器械产品注册证情况。
文献和实验多聚-β-羟丁酸poly-β-hydroxybutyricacid
几种芽孢杆菌属(Bacillus),假单胞菌属(Pseudomonas)、螺菌属(Spirillum)、固氮菌属(Azotobacter)以及其他许多种细菌在菌体内制造的贮藏物质。 在光学显微镜下可以因折光或呈颗粒状而被观察到,并可用苏丹黑染色。在细菌中作为代替油脂贮藏物,而合成此化合物。一般在培养基中氮源缺乏而碳源多的条件下合成,如果供给氮化合物,水解成单体的β-羟丁酸后,经过乙酰乙酸、乙酰CoA,被利用来合成生物体内各种成分
SDS Gel Electrophoresis of Tubulin\MAPs
. Scan the gels or photographically analyze them. Determine the molecular weights of the proteins (tubulin and MAP's).
眉眉 有做β-arrestin2的吗?希望跟你学习学习,给我发悄悄话,谢谢! shanshanhu1986 我就在做,悲催 amygdala 博士期间的课题就是关于这个的 叶子doctor 有做关于β-arrestin2免疫组化的吗?求助 本文由丁香园论坛提供,想了解更多有用的、有意思的前沿资讯以及酷炫的实验方法的你,都可以成为师兄
技术资料暂无技术资料 索取技术资料






![Integrin α3 Polyclonal Antibody[41067]](https://img1.dxycdn.com/p/s14/2025/0922/568/0046652811090600791.jpg!wh200)
![Bcl-x (Phospho-Thr47) Polyclonal Conjugated Antibody[C12184]](https://img1.dxycdn.com/p/s14/2025/0923/278/4431488150116040791.jpg!wh200)
![Prohibitin(Mitochondrial Marker) Antibody[48231]](https://img1.dxycdn.com/p/s14/2025/0923/496/0462304380155040791.jpg!wh200)
![SCO2 Polyclonal Antibody[30804]](https://img1.dxycdn.com/p/s14/2025/0923/305/2150219664296040791.jpg!wh200)

