相关产品推荐更多 >
万千商家帮你免费找货
0 人在求购买到急需产品
- 详细信息
- 文献和实验
- 技术资料
- 免疫原:
Recombinant protein
- 形态:
liquid
- 保存条件:
Store at -20˚C
- 克隆性:
Polyclonal
- 适应物种:
Human;Mouse;Rat
- 保质期:
12 months
- 抗原来源:
Rabbit
- 供应商:
南京赛戈巍生物科技有限公司
- 宿主:
Rabbit
- 应用范围:
WB, ICC, IHC, FC
- 靶点:
Uniprot:P29350
- 抗体英文名:
SHP-1(PTPN6) Antibody
- 规格:
50ul/100ul
EC 3.1.3.48 antibody
HCP antibody
HCPH antibody
Hematopoietic cell phosphatase antibody
Hematopoietic cell protein tyrosine phosphatase antibody
Hematopoietic cell protein-tyrosine phosphatase antibody
HPTP1C antibody
Protein tyrosine phosphatase 1C antibody
Protein tyrosine phosphatase non receptor type 6 antibody
Protein tyrosine phosphatase SHP1 antibody
Protein-tyrosine phosphatase 1C antibody
protein-tyrosine phosphatase SHP 1 antibody
Protein-tyrosine phosphatase SHP-1 antibody
PTN6_HUMAN antibody
PTP 1C antibody
PTP-1C antibody
PTP1C antibody
Ptpn6 antibody
SH PTP 1 antibody
SH PTP1 antibody
SH-PTP1 antibody
SHP 1 antibody
SHP 1L antibody
SHP1 antibody
SHP1L antibody
tyrosine protein phosphatase non receptor type 6 antibody
Tyrosine-protein phosphatase non-receptor type 6 antibody
计算分子量:68 kDa
配方:1*TBS (pH7.4), 1%BSA, 40%Glycerol. Preservative: 0.05% Sodium Azide.
应用详情:WB: 1:1,000-1:2,000
IHC: 1:50-1:200
ICC: 1:50-1:200
FC: 1:50-1:200
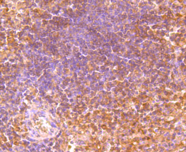
图片:

Western blot analysis of SHP1 on mouse spleen tissue lysate using anti- SHP1 antibody at 1/5,000 dilution.
,

Immunohistochemical analysis of paraffin-embedded human tonsil tissue using anti- SHP1 antibody. Counter stained with hematoxylin.
,

Immunohistochemical analysis of paraffin-embedded human spleen tissue using anti- SHP1 antibody. Counter stained with hematoxylin.
,

Immunohistochemical analysis of paraffin-embedded rat spinal cord tissue using anti- SHP1 antibody. Counter stained with hematoxylin.
,

ICC staining SHP1 in Hela cells (green). The nuclear counter stain is DAPI (blue). Cells were fixed in paraformaldehyde, permeabilised with 0.25% Triton X100/PBS.
,

ICC staining SHP1 in A549 cells (green). The nuclear counter stain is DAPI (blue). Cells were fixed in paraformaldehyde, permeabilised with 0.25% Triton X100/PBS.
,

Flow cytometric analysis of Jurkat cells with SHP1 antibody at 1/100 dilution (red) compared with an unlabelled control (cells without incubation with primary antibody; black).
风险提示:丁香通仅作为第三方平台,为商家信息发布提供平台空间。用户咨询产品时请注意保护个人信息及财产安全,合理判断,谨慎选购商品,商家和用户对交易行为负责。对于医疗器械类产品,请先查证核实企业经营资质和医疗器械产品注册证情况。
文献和实验食尸鬼 SHP2的分子量到底是多少啊,有的抗体说明书上是70KD,有的是64KD,我看的文献却说是68KD,到底是多少啊,不同细胞的会有差别吗,怎么这么大? 另外有的资料上说理论值是70KD,理论值是啥意思 weixiaozhu 食尸鬼 wrote: SHP2的分子量到底是多少啊,有的抗体说明书上是70KD,有的是64KD,我看的文献却说是68KD,到底是多少啊,不同细胞的会有差别
Cell Reports:浙大陈晓团队解码肌腱成熟过程的关键细胞图谱并验证 NGF-SHP2 调控成熟的机制
肌腱的细胞亚群和胶原纤维纳米水平构建机制,可望发现关键靶点和实现肌腱的亚显微结构再生。 在此背景下,浙江大学陈晓课题组于 2022 年 4 月 26 日在 Cell Reports 杂志上发表了题为 A Cd9+/Cd271+ stem/progenitor population and the SHP2 pathway contribute to neonatal-to-adult switching that regulates tendon maturation 的研究论文,首次
Generation of Antibody Molecules Through Antibody Engineering
been overcome to a large extent using genetic-engineering techniques to produce chimeric mouse/human and completely human antibodies. Such an approach is particularly suitable because of the domain structure of the antibody molecule ( 2 ), where functional
技术资料暂无技术资料 索取技术资料





![HMGA2 Conjugated Antibody[C31218]](https://img1.dxycdn.com/p/s14/2025/0923/278/4431488150116040791.jpg!wh200)
![iNOS Polyclonal Antibody FITC Conjugated[C90086FITC]](https://img1.dxycdn.com/p/s14/2025/0922/498/0460884283108299691.jpg!wh200)

![SPTLC1 Antibody[36175]](https://img1.dxycdn.com/p/s14/2025/0922/359/6146153295428599691.jpg!wh200)

