相关产品推荐更多 >
万千商家帮你免费找货
0 人在求购买到急需产品
- 详细信息
- 文献和实验
- 技术资料
- 免疫原:
Recombinant full-length human CDKN1B protein
- 亚型:
IgG1
- 形态:
Liquid
- 保存条件:
Store as concentrated solution. Centrifuge briefly prior to opening vial. For short-term storage (1-2 weeks), store at 4ºC. For long-term storage, aliquot and store at -20ºC or below. Avoid multiple freeze-thaw cycles.
- 克隆性:
Monoclonal
- 标记物:
Unconjugated
- 适应物种:
Human, Mouse, Rat, Monkey
- 保质期:
12 months from the shipping date of the product.
- 抗原来源:
Human
- 目录编号:
GTX34930
- 级别:
Primary Antibodies
- 库存:
Available
- 供应商:
GeneTex
- 宿主:
Mouse
- 应用范围:
WB, ICC/IF, IHC-P, FACS
- 浓度:
0.2 mg/ml (Please refer to the vial label for the specific concentration.)
- 靶点:
This MAb recognizes a 27kDa protein, identified as the p27Kip1, a cell cycle regulatory mitotic inhibitor. It is highly specific and shows no cross-reaction with other related mitotic inhibitors.
- 抗体英文名:
p27 Kip1 antibody [KIP1/769]
- 抗体名:
p27 Kip1 抗体 [KIP1/769]
- 规格:
100 μg
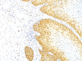
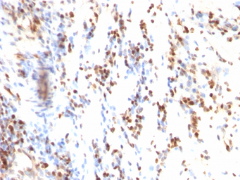
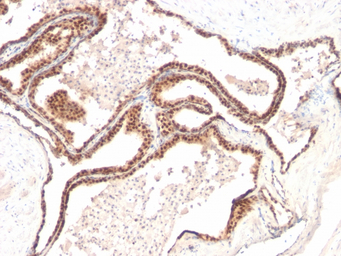
IHC-P analysis of human cervical carcinoma tissue using GTX34930 p27 Kip1 antibody [KIP1/769].
FACS analysis of Jurkat cells using GTX34930 p27 Kip1 antibody [KIP1/769].
Black : Blank
Grey : Isotype Control
Green : Primary antibody
IHC-P analysis of human prostate carcinoma tissue using GTX34930 p27 Kip1 antibody [KIP1/769].
IHC-P analysis of rat colon carcinoma tissue using GTX34930 p27 Kip1 antibody [KIP1/769].
ICC/IF analysis of PFA-fixed MCF-7 cells using GTX34930 p27 Kip1 antibody [KIP1/769].
Green : Primary antibody
Red : Phalloidin
IHC-P analysis of human colon carcinoma tissue using GTX34930 p27 Kip1 antibody [KIP1/769].
风险提示:丁香通仅作为第三方平台,为商家信息发布提供平台空间。用户咨询产品时请注意保护个人信息及财产安全,合理判断,谨慎选购商品,商家和用户对交易行为负责。对于医疗器械类产品,请先查证核实企业经营资质和医疗器械产品注册证情况。
文献和实验Procedure Dilute p27 monoclonal antibody 1:1000 (v/v) in Carbonate Coating Buffer. Add 100 µl/well and incubate o/n @ 4°C or 1 hr @37°C. Wash 3X with TBST (pour onto plate, empty into sink, hit onto towel 3x to clear wells
E2F Transcription Factors and pRb Pocket Proteins in Cell Cycle Progression
KIP1 . Therefore, positive and negative signaling events converge on E2F activity resulting in distinct growth-controling and apoptotic activities. Here we describe the immunocytochemical detection of E2F, genomic DNA, BrdU-incorporation, and mitosis
-induced responses, including a down-regulation of the cyclin-dependent kinase (Cdk2) inhibitors p21CIP1 and p27KIP1 , while attachment to P-L-L did not. We conclude that engagement of the FN-receptor integrin α5β1 induces integrin signaling regulating
技术资料暂无技术资料 索取技术资料











