相关产品推荐更多 >
万千商家帮你免费找货
0 人在求购买到急需产品
- 详细信息
- 文献和实验
- 技术资料
- 免疫原:
Recombinant human NCAM1 protein
- 亚型:
IgG1
- 形态:
Liquid
- 保存条件:
Store as concentrated solution. Centrifuge briefly prior to opening vial. For short-term storage (1-2 weeks), store at 4ºC. For long-term storage, aliquot and store at -20ºC or below. Avoid multiple freeze-thaw cycles.
- 克隆性:
Monoclonal
- 标记物:
Unconjugated
- 适应物种:
Human, Rat
- 保质期:
12 months from the shipping date of the product.
- 抗原来源:
Human
- 目录编号:
GTX34894
- 级别:
Primary Antibodies
- 库存:
Available
- 供应商:
GeneTex
- 宿主:
Mouse
- 应用范围:
WB, ICC/IF, IHC-P, FACS
- 浓度:
0.2 mg/ml (Please refer to the vial label for the specific concentration.)
- 靶点:
This MAb reacts with an extracellular domain (close to transmembrane) of CD56/NCAM.
- 抗体英文名:
NCAM antibody [NCAM1/795]
- 抗体名:
NCAM 抗体 [NCAM1/795]
- 规格:
100 μg
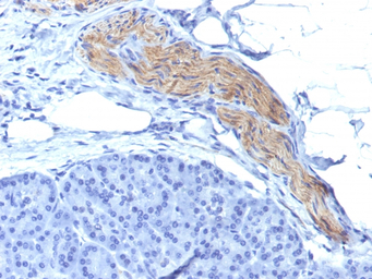
IHC-P analysis of human pancreas tissue using GTX34894 NCAM antibody [NCAM1/795].
WB analysis of HCT116 cell lysate using GTX34894 NCAM antibody [NCAM1/795].
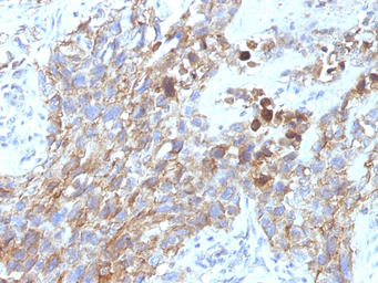
IHC-P analysis of human lung carcinoma tissue using GTX34894 NCAM antibody [NCAM1/795].
风险提示:丁香通仅作为第三方平台,为商家信息发布提供平台空间。用户咨询产品时请注意保护个人信息及财产安全,合理判断,谨慎选购商品,商家和用户对交易行为负责。对于医疗器械类产品,请先查证核实企业经营资质和医疗器械产品注册证情况。
文献和实验, NFATC4, NFAT5. Rel / NFkB / IkB Family: NFKB1, NFKB2, NFKBIA, NFKBIB, NFKBIL1, NFKBIL2, NFRKB, REL, RELA, RELB. Adhesion Molecules: ICAM1, ICAM2, ICAM3, ICAM4, ICAM5, NCAM1, NOS2A, SELE, SELL, SELPLG, VCAM1. Calcium Signaling Molecules: CALM
Phage‐Based Expression Cloning to Identify Interacting Proteins
the interacting protein. This technique leads directly to the isolation of a cDNA encoding the interacting protein, bypassing the need for labor?intensive protein purification, microsequencing, or antibody production.
. Genes expressed in human tumor endothelium. Science 289, 1197–1202 (2000) | Article | PubMed | ISI | ChemPort | 30. Huang, X. et al. Tumor infarction in mice by antibody-directed targeting of tissue factor to tumor vasculature. Science 275, 547–
技术资料暂无技术资料 索取技术资料






![LILRA4 antibody [17G10.2] (PE)](https://img1.dxycdn.com/2022/0328/164/2429544545307700453-14.jpg!wh200)
![IL6 antibody [GT1535]](https://img1.dxycdn.com/2022/0329/419/2076209331709020453-14.jpg!wh200)


