相关产品推荐更多 >
万千商家帮你免费找货
0 人在求购买到急需产品
- 详细信息
- 文献和实验
- 技术资料
- 免疫原:
Recombinant human chromogranin A protein
- 亚型:
IgG2a
- 形态:
Liquid
- 保存条件:
Store as concentrated solution. Centrifuge briefly prior to opening vial. For short-term storage (1-2 weeks), store at 4ºC. For long-term storage, aliquot and store at -20ºC or below. Avoid multiple freeze-thaw cycles.
- 克隆性:
Monoclonal
- 标记物:
Unconjugated
- 适应物种:
Human
- 保质期:
12 months from the shipping date of the product.
- 抗原来源:
Human
- 目录编号:
GTX34597
- 级别:
Primary Antibodies
- 库存:
Available
- 供应商:
GeneTex
- 宿主:
Mouse
- 应用范围:
IHC-P
- 浓度:
0.2 mg/ml (Please refer to the vial label for the specific concentration.)
- 靶点:
We do not recommend use of this product for Rat.
- 抗体英文名:
Chromogranin A antibody [CHGA/765]
- 抗体名:
Chromogranin A 抗体 [CHGA/765]
- 规格:
100 μg
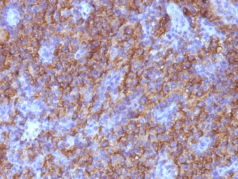
IHC-P analysis of human adrenal gland tissue using GTX34597 Chromogranin A antibody [CHGA/765].
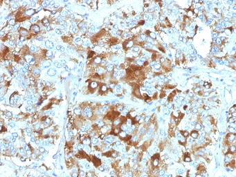
IHC-P analysis of human pancreas tissue using GTX34597 Chromogranin A antibody [CHGA/765].
IHC-P analysis of human parathyroid tissue using GTX34597 Chromogranin A antibody [CHGA/765].
风险提示:丁香通仅作为第三方平台,为商家信息发布提供平台空间。用户咨询产品时请注意保护个人信息及财产安全,合理判断,谨慎选购商品,商家和用户对交易行为负责。对于医疗器械类产品,请先查证核实企业经营资质和医疗器械产品注册证情况。
文献和实验Making antibodies to synthetic pepti
You'll need to couple the synthetic peptide hapten to a protein carrier, with a bifunctional reagent. For antibody development, we don't bother to use highly purified peptide. Crude (unpurified) peptide or partially purified peptide
Making antibodies to synthetic peptides
You'll need to couple the synthetic peptide hapten to a protein carrier, with a bifunctional reagent. For antibody development, we don't bother to use highly purified peptide. Crude (unpurified) peptide or partially purified peptide
Growth, Maintenance and Transfection of Suspension Adapted 293-EBNA cells
Orbital Shaker • Water Bath, VWR Scientific • 500 ml Vented Cap Erlenmymer Flask, • 125 ml Vented Cap Erlenmymer Flask, Corning product • Pro293S-CDM, 1 L (Cambrex Biosciences, Cat 12-765Q) • Penicillin-Streptomycin, Invitrogen • Transfection
技术资料暂无技术资料 索取技术资料






![PGP9.5 antibody [10A1]](https://img1.dxycdn.com/2022/0328/237/6858776610815200453-14.jpg!wh200)
![Perforin antibody [5B10]](https://img1.dxycdn.com/2022/0328/366/8160365239618700453-14.jpg!wh200)



