相关产品推荐更多 >
万千商家帮你免费找货
0 人在求购买到急需产品
- 详细信息
- 文献和实验
- 技术资料
- 免疫原:
Prokaryotic recombinant fusion protein corresponding to the full length of the protein gene product 9.5 molecule.
- 亚型:
IgG2b
- 形态:
Liquid
- 保存条件:
Store as concentrated solution. Centrifuge briefly prior to opening vial. Store at 4ºC. DO NOT FREEZE.
- 克隆性:
Monoclonal
- 标记物:
Unconjugated
- 适应物种:
Human
- 保质期:
12 months from the shipping date of the product.
- 抗原来源:
Human
- 目录编号:
GTX10358
- 级别:
Primary Antibodies
- 库存:
Available
- 供应商:
GeneTex
- 宿主:
Mouse
- 应用范围:
IHC-P, IHC
- 浓度:
>35 μg/ml (Please refer to the vial label for the specific concentration.)
- 靶点:
PGP9.5
- 抗体英文名:
PGP9.5 antibody [10A1]
- 抗体名:
PGP9.5 抗体 [10A1]
- 规格:
500 μl
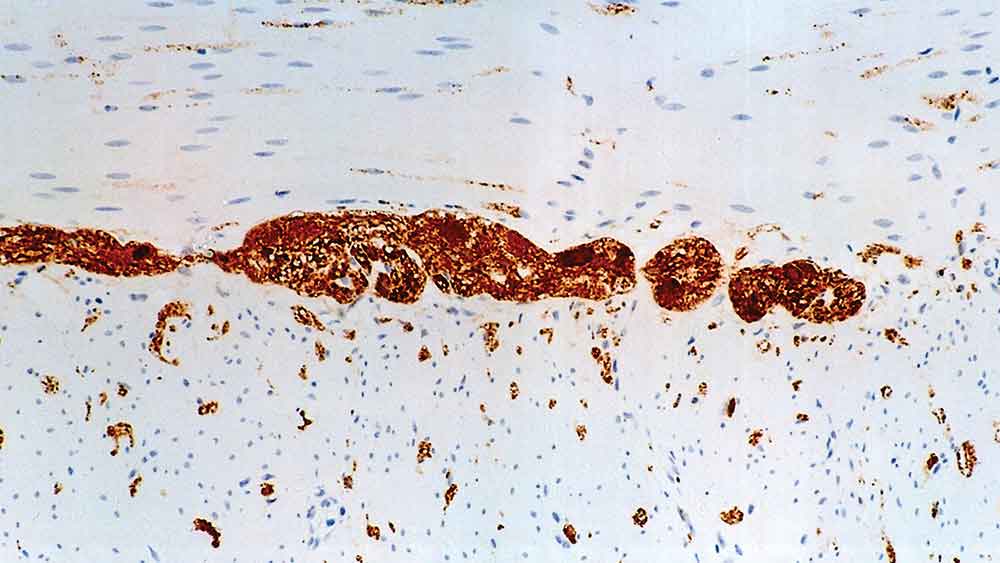
IHC-P analysis of human colon tissue using GTX10358 PGP9.5 antibody [10A1]. Note the staining in the neuronal elements and the ganglia of the longitudinal and circular smooth muscle.
风险提示:丁香通仅作为第三方平台,为商家信息发布提供平台空间。用户咨询产品时请注意保护个人信息及财产安全,合理判断,谨慎选购商品,商家和用户对交易行为负责。对于医疗器械类产品,请先查证核实企业经营资质和医疗器械产品注册证情况。
文献和实验Calavia MG et al., Neurosci Lett 2010 (PMID:19879330)
技术资料暂无技术资料 索取技术资料








![Mesothelin antibody [18]](https://custom.dxycdn.com/trademd/upload/pic/2013/11/12/A1383891150.jpg!small.t.1)
![TCR V beta 8b antibody [MX-6] (FITC)](https://img1.dxycdn.com/2022/0328/676/8760883471575500453-14.jpg!wh200)

