相关产品推荐更多 >
万千商家帮你免费找货
0 人在求购买到急需产品
- 详细信息
- 文献和实验
- 技术资料
- 免疫原:
Synthetic peptide corresponding to aa25-39 of human ACTH (NGAEDESAEAFPLEF)
- 亚型:
IgG1
- 形态:
Liquid
- 保存条件:
Store as concentrated solution. Centrifuge briefly prior to opening vial. For short-term storage (1-2 weeks), store at 4ºC. For long-term storage, aliquot and store at -20ºC or below. Avoid multiple freeze-thaw cycles.
- 克隆性:
Monoclonal
- 标记物:
Unconjugated
- 适应物种:
Human
- 保质期:
12 months from the shipping date of the product.
- 抗原来源:
Human
- 目录编号:
GTX34393
- 级别:
Primary Antibodies
- 库存:
Available
- 供应商:
GeneTex
- 宿主:
Mouse
- 应用范围:
IHC-P, ELISA
- 浓度:
0.2 mg/ml (Please refer to the vial label for the specific concentration.)
- 靶点:
This MAb is specific to CLIP (aa25-39 of ACTH); does not react with Synacthen (aa1-24 of ACTH).
- 抗体英文名:
ACTH antibody [CLIP/1449]
- 抗体名:
ACTH 抗体 [CLIP/1449]
- 规格:
100 μg
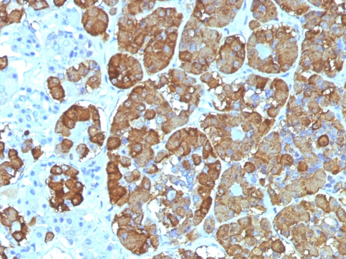
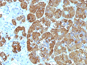
IHC-P analysis of human pituitary tissue using GTX34393 ACTH antibody [CLIP/1449].
风险提示:丁香通仅作为第三方平台,为商家信息发布提供平台空间。用户咨询产品时请注意保护个人信息及财产安全,合理判断,谨慎选购商品,商家和用户对交易行为负责。对于医疗器械类产品,请先查证核实企业经营资质和医疗器械产品注册证情况。
文献和实验上海西唐生物科技有限公司 021-55229872, 65333639 www.westang.com 人促肾上腺皮质激素 (ACTH)ELISA 试剂盒 ( 用于血清、血浆、细胞培养上清液和其它生物体液内 ) 原理 本实验采用双抗体夹心 ABC-ELISA 法。用抗人 ACTH 单抗包被于酶标板上,标准品和样品中的 ACTH 与单抗结合,加入生物素化的抗人 ACTH ,形成免疫复合物连接在板上,辣根
上海西唐生物科技有限公司 021-55229872, 65333639 www.westang.com 大鼠促肾上腺皮质激素 (ACTH)ELISA 试剂盒 ( 用于血清、血浆、细胞培养上清液和其它生物体液内 ) 原理 本实验采用双抗体夹心 ABC-ELISA 法。用抗大鼠 ACTH 单抗包被于酶标板上,标准品和样品中的 ACTH 与单抗结合,加入生物素化的抗大鼠 ACTH ,形成免疫复合物连接在板上
4. Banerjee, H. and R. Singh, A simple crosslinking method, CLAMP, to map the sites of RNA-contacting domains within a protein. Methods Mol Biol, 2008. 488: p. 181-90. 5. Jensen, K.B. and R.B. Darnell, CLIP: crosslinking and immunoprecipitation of in vivo
技术资料暂无技术资料 索取技术资料









![HIP1R antibody [N1N2], N-term](https://img1.dxycdn.com/2022/0328/825/9383818483912300453-14.jpg!wh200)

