相关产品推荐更多 >
万千商家帮你免费找货
0 人在求购买到急需产品
- 详细信息
- 文献和实验
- 技术资料
- 免疫原:
Recombinant protein encompassing a sequence within the center region of human EIF4G3. The exact sequence is proprietary.
- 亚型:
IgG
- 形态:
Liquid
- 保存条件:
Store as concentrated solution. Centrifuge briefly prior to opening vial. For short-term storage (1-2 weeks), store at 4ºC. For long-term storage, aliquot and store at -20ºC or below. Avoid multiple freeze-thaw cycles.
- 克隆性:
Polyclonal
- 标记物:
Unconjugated
- 适应物种:
Human, Mouse, Rat
- 保质期:
12 months from the shipping date of the product.
- 抗原来源:
Human
- 目录编号:
GTX118109
- 级别:
Primary Antibodies
- 库存:
Available
- 供应商:
GeneTex
- 宿主:
Rabbit
- 应用范围:
WB, ICC/IF, IHC-P, IHC-Fr, IP
- 浓度:
0.26 mg/ml (Please refer to the vial label for the specific concentration.)
- 靶点:
EIF4G3
- 抗体英文名:
EIF4G3 antibody [N1], N-term
- 抗体名:
EIF4G3 抗体 [N1], N-term
- 规格:
100 μl/25 μl
| 规格: | 100 μl | 产品价格: | ¥4000.0 |
|---|---|---|---|
| 规格: | 25 μl | 产品价格: | ¥1700.0 |
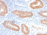
EIF4G3 antibody [N1], N-term detects EIF4G3 protein at cytosol on mouse cervix by immunohistochemical analysis.
Sample: Paraffin-embedded mouse cervix.
EIF4G3 antibody [N1], N-term (GTX118109) dilution: 1:500.
Antigen Retrieval: Trilogy™ (EDTA based, pH 8.0) buffer, 15min
EIF4G3 antibody [N1], N-term detects EIF4G3 protein expression by immunohistochemical analysis.
Sample: Frozen-sectioned adult mouse cerebellum.
Green: EIF4G3 protein stained by EIF4G3 antibody [N1], N-term (GTX118109) diluted at 1:250.
Red: NeuN, stained by NeuN antibody [2Q158] (GTX30773) diluted at 1:500.
Blue: Fluoroshield with DAPI (GTX30920).
Various whole cell extracts (30 μg) were separated by 5% SDS-PAGE, and the membrane was blotted with EIF4G3 antibody [N1], N-term (GTX118109) diluted at 1:10000.
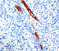
EIF4G3 antibody [N1], N-term detects EIF4G3 protein at cytosol on rat hind brain by immunohistochemical analysis.
Sample: Paraffin-embedded rat hind brain.
EIF4G3 antibody [N1], N-term (GTX118109) dilution: 1:500.
Antigen Retrieval: Trilogy™ (EDTA based, pH 8.0) buffer, 15min
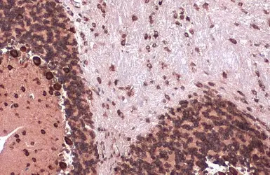
EIF4G3 antibody [N1], N-term detects EIF4G3 protein at cytoplasm by immunohistochemical analysis.
Sample: Paraffin-embedded rat brain.
EIF4G3 stained by EIF4G3 antibody [N1], N-term (GTX118109) diluted at 1:500.
Antigen Retrieval: Citrate buffer, pH 6.0, 15 min
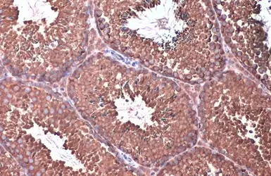
EIF4G3 antibody [N1], N-term detects EIF4G3 protein at cytoplasm by immunohistochemical analysis.
Sample: Paraffin-embedded mouse testis.
EIF4G3 stained by EIF4G3 antibody [N1], N-term (GTX118109) diluted at 1:500.
Antigen Retrieval: Citrate buffer, pH 6.0, 15 min
EIF4G3 antibody [N1], N-term detects EIF4G3 protein at cytoplasm by immunohistochemical analysis.
Sample: Paraffin-embedded mouse brain.
EIF4G3 stained by EIF4G3 antibody [N1], N-term (GTX118109) diluted at 1:500.
Antigen Retrieval: Citrate buffer, pH 6.0, 15 min
Mouse tissue extract (50 μg) was separated by 5% SDS-PAGE, and the membrane was blotted with EIF4G3 antibody [N1], N-term (GTX118109) diluted at 1:1000. The HRP-conjugated anti-rabbit IgG antibody (GTX213110-01) was used to detect the primary antibody.
EIF4G3 antibody [N1], N-term detects EIF4G3 protein at cytoplasm by immunofluorescent analysis.
Sample: HeLa cells were fixed in 4% PFA at RT for 15 min.
Green: EIF4G3 protein stained by EIF4G3 antibody [N1], N-term (GTX118109) diluted at 1:500.
Blue: Hoechst 33342 staining.
Scale bar = 10 μm.
EIF4G3 antibody [N1], N-term detects EIF4G3 protein at cytosol on mouse brain stem by immunohistochemical analysis.
Sample: Paraffin-embedded mouse brain stem.
EIF4G3 antibody [N1], N-term (GTX118109) dilution: 1:500.
Antigen Retrieval: Trilogy™ (EDTA based, pH 8.0) buffer, 15min
Immunoprecipitation of EIF4G3 protein from 293T whole cell extracts using 5 μg of EIF4G3 antibody [N1], N-term (GTX118109).
Western blot analysis was performed using EIF4G3 antibody [N1], N-term (GTX118109).
EasyBlot anti-Rabbit IgG (GTX221666-01) was used as a secondary reagent.
风险提示:丁香通仅作为第三方平台,为商家信息发布提供平台空间。用户咨询产品时请注意保护个人信息及财产安全,合理判断,谨慎选购商品,商家和用户对交易行为负责。对于医疗器械类产品,请先查证核实企业经营资质和医疗器械产品注册证情况。
文献和实验Phaedra R Theodoridis et al., Proc Natl Acad Sci U S A 2021 (PMID:33568529)
M?ndez-Sol?s O et al., Cell Rep 2021 (PMID:34965440)
Lin CJ et al., Small 2019 (PMID:31468672)
Sundararaman B et al., Mol Cell 2016 (PMID:26990993)
In the field of therapeutic recombinant proteins, monoclonal antibodies (mAbs) have achieved a rising success with more than 30 mAbs that have reached the market in the past 20 years. From a structural standpoint, one of the most important
in pEGFP-N1 is between the immediate early promoter of CMV (PCMV IE ) and the EGFP coding sequences. Genes cloned into the MCS will be expressed as fusions to the N-terminus of EGFP if they are in the same reading frame as EGFP and there are no intervening
to protect the antibody. These should be stored in smaller aliquots (about 1 ml) and frozen for long term storage though the protected solution is also stable for months at four degrees. Ascites fluid: This is a bit more problematic as it may contain
技术资料暂无技术资料 索取技术资料





![Maltose binding protein antibody [3G1A3]](https://img1.dxycdn.com/2022/0328/218/0469131069047500453-14.jpg!wh200)


![c-Kit antibody [8D7]](https://img1.dxycdn.com/2022/0328/474/9877543998547500453-14.jpg!wh200)


