相关产品推荐更多 >
万千商家帮你免费找货
0 人在求购买到急需产品
- 详细信息
- 文献和实验
- 技术资料
- 免疫原:
recombinant Protein
- 亚型:
IgG1
- 形态:
Liquid
- 保存条件:
Store as concentrated solution. Centrifuge briefly prior to opening vial. For short-term storage (1-2 weeks), store at 4ºC. For long-term storage, aliquot and store at -20ºC or below. Avoid multiple freeze-thaw cycles.
- 克隆性:
Monoclonal
- 标记物:
HRP
- 适应物种:
Human, Mouse, Rat
- 保质期:
12 months from the shipping date of the product.
- 抗原来源:
Human
- 目录编号:
GTX34285
- 级别:
Primary Antibodies
- 库存:
Available
- 供应商:
GeneTex
- 宿主:
Mouse
- 应用范围:
WB, IHC-P
- 浓度:
1 mg/ml (Please refer to the vial label for the specific concentration.)
- 靶点:
beta Tubulin I
- 抗体英文名:
beta Tubulin I antibody [5G3] (HRP)
- 抗体名:
beta Tubulin I 抗体 [5G3] (HRP)
- 规格:
100 μl
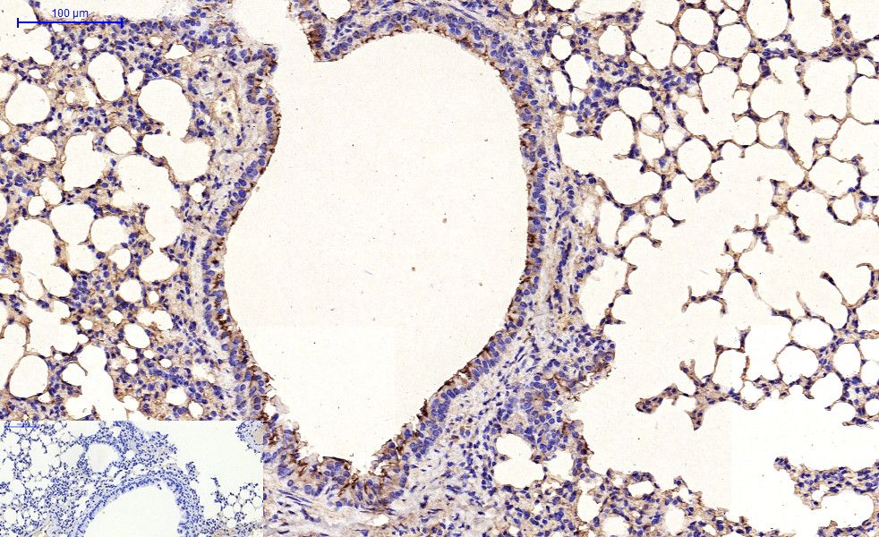
IHC-P analysis of mouse lung tissue using GTX34285 beta Tubulin I antibody [5G3] (HRP). Negative control (the lower left coner) was secondary antibody only.
Antigen retrieval : Sodium citrate pH6.0 was used for antibody retrieval (>98ºC, 20min)
Dilution : 1:200
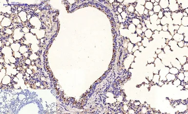
IHC-P analysis of mouse heart tissue using GTX34285 beta Tubulin I antibody [5G3] (HRP). Negative control (the lower left coner) was secondary antibody only.
Antigen retrieval : Sodium citrate pH6.0 was used for antibody retrieval (>98ºC, 20min)
Dilution : 1:200
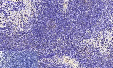
IHC-P analysis of mouse spleen tissue using GTX34285 beta Tubulin I antibody [5G3] (HRP). Negative control (the lower left coner) was secondary antibody only.
Antigen retrieval : Sodium citrate pH6.0 was used for antibody retrieval (>98ºC, 20min)
Dilution : 1:200
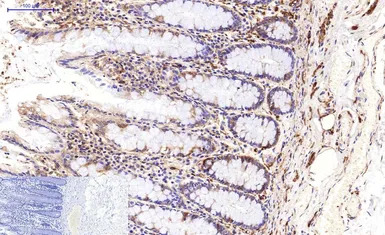
IHC-P analysis of human colon tissue using GTX34285 beta Tubulin I antibody [5G3] (HRP). Negative control (the lower left coner) was secondary antibody only.
Antigen retrieval : Sodium citrate pH6.0 was used for antibody retrieval (>98ºC, 20min)
Dilution : 1:200
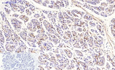
IHC-P analysis of mouse testis tissue using GTX34285 beta Tubulin I antibody [5G3] (HRP). Negative control (the lower left coner) was secondary antibody only.
Antigen retrieval : Sodium citrate pH6.0 was used for antibody retrieval (>98ºC, 20min)
Dilution : 1:200
WB analysis of HeLa cell lysate using GTX34285 beta Tubulin I antibody [5G3] (HRP).
IHC-P analysis of rat liver tissue using GTX34285 beta Tubulin I antibody [5G3] (HRP). Negative control (the lower left coner) was secondary antibody only.
Antigen retrieval : Sodium citrate pH6.0 was used for antibody retrieval (>98ºC, 20min)
Dilution : 1:200
IHC-P analysis of human stomach tissue using GTX34285 beta Tubulin I antibody [5G3] (HRP). Negative control (the lower left coner) was secondary antibody only.
Antigen retrieval : Sodium citrate pH6.0 was used for antibody retrieval (>98ºC, 20min)
Dilution : 1:200
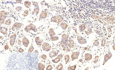
IHC-P analysis of human stomach cancer tissue using GTX34285 beta Tubulin I antibody [5G3] (HRP). Negative control (the lower left coner) was secondary antibody only.
Antigen retrieval : Sodium citrate pH6.0 was used for antibody retrieval (>98ºC, 20min)
Dilution : 1:200
IHC-P analysis of rat spleen tissue using GTX34285 beta Tubulin I antibody [5G3] (HRP). Negative control (the lower left coner) was secondary antibody only.
Antigen retrieval : Sodium citrate pH6.0 was used for antibody retrieval (>98ºC, 20min)
Dilution : 1:200
IHC-P analysis of rat kidney tissue using GTX34285 beta Tubulin I antibody [5G3] (HRP). Negative control (the lower left coner) was secondary antibody only.
Antigen retrieval : Sodium citrate pH6.0 was used for antibody retrieval (>98ºC, 20min)
Dilution : 1:200
风险提示:丁香通仅作为第三方平台,为商家信息发布提供平台空间。用户咨询产品时请注意保护个人信息及财产安全,合理判断,谨慎选购商品,商家和用户对交易行为负责。对于医疗器械类产品,请先查证核实企业经营资质和医疗器械产品注册证情况。
文献和实验secondary antibody review -- data from 99 publications
Signaling 18 IgG Alexa Fluor 488 immunocytochemistry 1:2000 18 IgG Alexa Fluor 568 immunocytochemistry 1:2000 19 donkey IgG HRP western blot 1:3000 detect antibody binding in mouse epithelial cells Amersham Biosciences 19 goat
祝贺〖雅裕睿安〗成为Signalway Antibody(SAB)独家
ul; 货号21617,产品描述:Tubulin beta-III Antibody;规格 50 ul / 100 ul; 货号21612,产品描述:GAPDH Antibody;规格 50 ul / 100 ul; 货号21335,产品描述:β-Tubulin mouse mAb;规格 50 ul / 100 ul; 货号21336,产品描述:GAPDH mouse
Large-scale immunofluorescence
containing 2% n-propyl gallate and 0.25 ug/ml Hoechst Primary antibodies rabbit anti-beta-gal antibody (Cappell Laboratories #0631-0002, at 1:200 dilution) rat monoclonal anti-yeast tubulin (YOL1/34; Sera-lab, at 1:100 dilution
技术资料暂无技术资料 索取技术资料











