相关产品推荐更多 >
万千商家帮你免费找货
0 人在求购买到急需产品
- 详细信息
- 文献和实验
- 技术资料
- 免疫原:
Recombinant Protein
- 亚型:
IgG1
- 形态:
Liquid
- 保存条件:
Store as concentrated solution. Centrifuge briefly prior to opening vial. For short-term storage (1-2 weeks), store at 4ºC. For long-term storage, aliquot and store at -20ºC or below. Avoid multiple freeze-thaw cycles.
- 克隆性:
Monoclonal
- 标记物:
Unconjugated
- 适应物种:
Human, Mouse
- 保质期:
12 months from the shipping date of the product.
- 抗原来源:
Human
- 目录编号:
GTX34254
- 级别:
Primary Antibodies
- 库存:
Available
- 供应商:
GeneTex
- 宿主:
Mouse
- 应用范围:
IHC-P
- 浓度:
1 mg/ml (Please refer to the vial label for the specific concentration.)
- 靶点:
TBP
- 抗体英文名:
TBP antibody [1F6]
- 抗体名:
TBP 抗体 [1F6]
- 规格:
100 μl
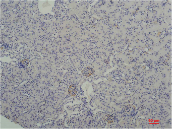
IHC-P analysis of mouse kidney tissue using GTX34254 TBP antibody [1F6].
Dilution : 1:200
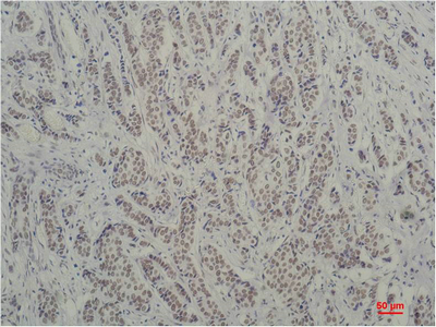
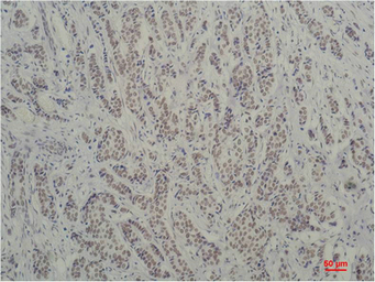
IHC-P analysis of human breast carcinoma tissue using GTX34254 TBP antibody [1F6].
Dilution : 1:200
风险提示:丁香通仅作为第三方平台,为商家信息发布提供平台空间。用户咨询产品时请注意保护个人信息及财产安全,合理判断,谨慎选购商品,商家和用户对交易行为负责。对于医疗器械类产品,请先查证核实企业经营资质和医疗器械产品注册证情况。
文献和实验Western Blot 现在仍然是检测和分离蛋白最常用的一种实验方法,但是要想得到较好的结果并不容易,只有找到合适的实验条件并进行优化,才能以更少的时间得到更多的结果,达到事半功倍的效果!下面是 R&D Systems 品牌为您推荐的免疫印迹优化步骤和实验涉及参考数据:一抗浓度对实验结果的影响抗体:Human/Mouse/Rat RSK1 Antibody (Catalog # AF992)样本:人 HeLa 细胞 (Fig.1)A:5% 脱脂奶粉封闭,一抗浓度:1.0 mg/mL,溶于
/ml DNase‐free RNase A (see recipe ) 10× loading buffer (see recipe ) Primary antibody against protein or epitope
技术资料暂无技术资料 索取技术资料






![Laminin beta 1 antibody [2D9G5]](https://img1.dxycdn.com/2022/0328/374/1363175021947500453-14.jpg!wh200)




