相关产品推荐更多 >
万千商家帮你免费找货
0 人在求购买到急需产品
- 详细信息
- 文献和实验
- 技术资料
- 形态:
Liquid
- 保存条件:
Trident pico Western HRP Substrate shelf life is 24 months when stored in the dark at 2ºC to 8ºC. Keep container tightly closed. Store Trident pico Western HRP Substrate away from heat or light. Mixed substrate can be stored for up to 24 hours at 2-8ºC.
- 保质期:
12 months from the shipping date of the product.
- 目录编号:
GTX17435
- 级别:
Reagents
- 库存:
Available
- 供应商:
GeneTex
- 应用范围:
WB
- 抗体英文名:
Trident pico Western HRP Substrate
- 抗体名:
Trident pico Western HRP Substrate
- 规格:
500 ml/100 ml
| 规格: | 500 ml | 产品价格: | ¥3300.0 |
|---|---|---|---|
| 规格: | 100 ml | 产品价格: | ¥1200.0 |
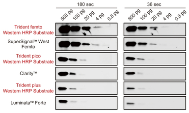
Serial dilutions of purified mCherry recombinant protein were prepared and applied at 10 μL/well. After electrophoresis and protein transfer, membranes were probed with anti-mCherry antibody (GTX128508) diluted at 1:2000 and then with goat anti-rabbit HRP-conjugated secondary antibody (1:2000). Identical blots were incubated with 1 ml of Trident femto Western HRP Substrate, SuperSignalTM West Femto, Trident pico Western HRP Substrate, ClarityTM, Trident plus Western HRP Substrate, and LuminataTM Forte. The blots were simultaneously exposed for 36 seconds and 180 seconds using BioSpectrumTM 500 digital imaging system. SuperSignalTM West Femto, ClarityTM, LuminataTM Forte are registered trademark of Thermo Fisher Scientific, Bio-Rad, and EMD Millipore, respectively. The trademark holder is not affiliated with GeneTex and does not endorse this product.
风险提示:丁香通仅作为第三方平台,为商家信息发布提供平台空间。用户咨询产品时请注意保护个人信息及财产安全,合理判断,谨慎选购商品,商家和用户对交易行为负责。对于医疗器械类产品,请先查证核实企业经营资质和医疗器械产品注册证情况。
文献和实验Saunders IT et al., Cancer Cell Int 2019 (PMID:31011292)
Chiu CH et al., J Biomed Sci 2023 (PMID:36803854)
Correa VSMC et al., FEBS Open Bio 2023 (PMID:36707938)
Lenzini L et al., Mol Genet Metab Rep 2022 (PMID:34938649)
100pg 显色法 推荐产品: SuperECL Plus Western Blotting 超敏发光液 采用独特的发光底物系统,是世界上最灵敏的ECL Western Blot 化学发光试剂。用于Western Blotting 条带的荧光发光,检测直接或间接标记辣根过氧化物酶HRP 的抗体及其关联的抗原。由两种溶液组成,使用前混合
colorimetric, chemiluminescent or fluorogenic substrate. Horseradish peroxidase (HRP) and alkaline phosphatase (AP) are the most popular enzyme labels used for this purpose, with HRP being the most versatile. As with traditional Western blotting, sensitivity
with TS for 15 minutes, once with TSN for 15-20 minutes and finally once with TS for 15 minutes. 8. Develop color using the appropriate substrate: For HRP conjugates, mix 5 parts TMB peroxidase substrate, 5 parts TMB solution B, and 1 part TMB membrane
技术资料暂无技术资料 索取技术资料











