相关产品推荐更多 >
万千商家帮你免费找货
0 人在求购买到急需产品
- 详细信息
- 技术资料
- 库存:
100
- 细胞类型:
科研
- 品系:
详情请咨询我司客服
- 组织来源:
详情请咨询我司客服
- 物种来源:
鼠/人/其它
- 细胞形态:
上皮样/成纤维样/其它
- 器官来源:
详情请咨询我司客服
- 运输方式:
常温运输/干冰运输
- 年限:
详情请咨询我司客服
- 生长状态:
贴壁/悬浮
- 英文名:
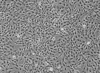
J774A.1
J774A.1;单核细胞-巨噬细胞须知: 烜雅生物发布
J774A.1;单核细胞-巨噬细胞详细信息请向我司客服索取
ATCC货号:J774A.1;单核细胞-巨噬细胞
1. 液体培养基的保存是冷藏好?还是冷冻好?
要冷藏!!因为液体培养基经冷冻后再经溶化时,其溶液的pH值会发生改变,溶液往往变碱,某些成分溶解也会受到影响对细胞生长不利。故液体培养基一定要存放在冷藏箱中,通常液体培养基在冷藏条件下可存放6个月 ~ 一年。
2.液体培养基中谷氨酰胺的作用,及使用方法。
几乎所有的细胞对谷氨酰胺有较高的要求,细胞需要谷氨酰胺合成蛋白质,在缺少谷氨酰胺时,细胞生长不良而死亡。所以,各种培养液中都含有较大量的谷氨酰胺。谷氨酰胺在溶液中很不稳定,应置-20 ◦C冰冻保存,用前加入培养基中。加有谷氨酰胺的液体培养基4 ◦C 冰箱储存两周以上时,应重新加入原来量的谷氨酰胺。基础医学细胞中心在其服务项目中配制分装了高浓度(100倍)的谷氨酰胺溶液(1ml/支)。每支1ml的谷氨酰胺加到99ml完全培养基中,其终浓度为2mM/ml培养基。包装为粉红色,-24◦C保存。
3. 培养用液pH对细胞生长的影响
由于,大多数细胞适宜pH为7.2~7.4,偏离此范围对细胞将产生有害的影响。各种细胞对pH的要求也不完全相同,原代培养细胞一般对pH变动耐受差,无限细胞系耐受力强。
但总体来说,细胞耐酸性比耐碱性强一些,偏酸环境中更利于细胞生长。因此,我们在配制培养用液时,可把液体的pH稍微调得偏酸一些。液体在经过0.10um或0.22um滤膜过滤时,溶液的pH还会向上浮动0.2左右。
4.细胞传代消化时所用胰酶浓度越高越好吗?
不见得!因为胰蛋白酶溶液的消化能力是和溶液的pH、温度、胰酶浓度及溶液中是否含有Ca++, Mg++离子和血清等因素有关。通常情况下,pH 8.0 , 温度 37 oC 其作用能力最强。另外,钙、镁离子及血清均能大大降低其消化能力。我们每次进行传代消化前,一定要用D-Hanks液或PBS液反复冲洗细胞培养瓶,以便于将含血清的培养基冲洗干净,这样就能大大提高消化液的消化能力。本中心通常使用的消化液浓度为:
(1)0.05%胰蛋白酶+0.02%EDTA;
(2)0.25%胰蛋白酶+0.03%EDTA。
(3)0.25% 胰蛋白酶
溶液pH8.0~9.0;使用D-Hank液配制。
多数细胞传代消化可使用0.05%胰蛋白酶+0.02%EDTA这种消化液。
购买上海烜雅生物细胞注意事项(烜雅生物)发布
一、客户收到细胞先不开盖,放在培养箱静置若干小时后(看细胞密度而定)在倒置显微镜下观察细胞生长情况,并对细胞进行不同倍数拍照(建议受收细胞时的培养基拍一张照片,观察培养基的颜色和是否有漏液情况,显微镜下拍细胞100X,200X各一张),排除细胞本身污染的情况;
收到细胞未开封,出现污染状况我们负责免费发送一株细胞。
二、如为贴壁细胞,请在显微镜下观察细胞密度:
1. 未超过80%汇合度时,用75%酒精(建议配置75%酒精的水也是灭菌超纯水,喷洒整个瓶消毒后放到超菌台内,严格无菌操作;然后打开盖子,先用枪头把培养基吸出10ml左右,放在离心管里,然后瓶口过火(严禁直接倾倒),这样可以保证不污染,再用10ml的移液管,将剩余的培液全部吸出,放于离心管中,培养瓶中只剩余10ml左右培液就可以了。培养16hr(时间根据细胞生长情况调整)之后,传代或者冻存。
2. 超过80%汇合度时,请按细胞培养条件传代培养。具体步骤如下:
1) 弃去培养液,用3ml PBS(不含钙,镁离子)洗1-2次;
2) 加1ml消化液(0.25%Trypsin-0.53mM EDTA)于T25培养瓶中,倒转放于37度培养箱1-3分钟预热,然后又将培养瓶倒转大约30秒后,在倒置显微镜下观察细胞消化情况,若细胞大部分变圆分散,轻敲几下培养培养瓶,细胞随即脱落下来;
3) 加入6-8ml完全培养基,吸出,分到新的培养瓶中,按要求分瓶。
三、如为悬浮细胞,吸出培养液,1000转/分钟离心5分钟,吸出上清,管底细胞用新鲜培养基悬浮细胞后移回培养瓶。
注意:换液时一半用我们的培养基,一半用你们的,以免细胞不适应而造成生长不好。
四、细胞出现问题,可重发的情况有哪些?判定标准是什么?
(1)细胞运输途中遭遇的各种问题,细胞丢失、破损、漏液等,重发;
(2)冻存的细胞复苏后,绝大多数细胞未存活,重发;
(3)存活的细胞静置24小时后,绝大多数细胞未存活,重发;
(4)冻存的细胞复苏后或存活的细胞静置4小时后并且未开封,出现污染,重发;
(5)视具体情况而定。
五、细胞出现问题,不予以重发的情况有哪些?
(1)客户造成细胞污染,不重发;
(2)客户不正确操作致细胞状态不好,不重发;
(3)细胞状态不好,未提供细胞培养前3天照片的,不重发;
(4)细胞培养时经其它处理的,不重发;
(5)细胞收到2天内,未告知,不重发;
(6)视具体情况而定。
六、售后服务政策
细胞污染问题,请在收到产品48小时内,给我们提出真实的实验结果;细胞活性问题,请在收到产品7天内给我们提出真实的实验结果,我们调查核实后予免费调换,不收取任何费用。

J774A.1;单核细胞-巨噬细胞质量可靠,售后有保障
J774A.1;单核细胞-巨噬细胞相关产品:
J774A.1;单核细胞-巨噬细胞详细信息请向我司客服索取
ATCC货号:J774A.1;单核细胞-巨噬细胞
1. 液体培养基的保存是冷藏好?还是冷冻好?
要冷藏!!因为液体培养基经冷冻后再经溶化时,其溶液的pH值会发生改变,溶液往往变碱,某些成分溶解也会受到影响对细胞生长不利。故液体培养基一定要存放在冷藏箱中,通常液体培养基在冷藏条件下可存放6个月 ~ 一年。
2.液体培养基中谷氨酰胺的作用,及使用方法。
几乎所有的细胞对谷氨酰胺有较高的要求,细胞需要谷氨酰胺合成蛋白质,在缺少谷氨酰胺时,细胞生长不良而死亡。所以,各种培养液中都含有较大量的谷氨酰胺。谷氨酰胺在溶液中很不稳定,应置-20 ◦C冰冻保存,用前加入培养基中。加有谷氨酰胺的液体培养基4 ◦C 冰箱储存两周以上时,应重新加入原来量的谷氨酰胺。基础医学细胞中心在其服务项目中配制分装了高浓度(100倍)的谷氨酰胺溶液(1ml/支)。每支1ml的谷氨酰胺加到99ml完全培养基中,其终浓度为2mM/ml培养基。包装为粉红色,-24◦C保存。
3. 培养用液pH对细胞生长的影响
由于,大多数细胞适宜pH为7.2~7.4,偏离此范围对细胞将产生有害的影响。各种细胞对pH的要求也不完全相同,原代培养细胞一般对pH变动耐受差,无限细胞系耐受力强。
但总体来说,细胞耐酸性比耐碱性强一些,偏酸环境中更利于细胞生长。因此,我们在配制培养用液时,可把液体的pH稍微调得偏酸一些。液体在经过0.10um或0.22um滤膜过滤时,溶液的pH还会向上浮动0.2左右。
4.细胞传代消化时所用胰酶浓度越高越好吗?
不见得!因为胰蛋白酶溶液的消化能力是和溶液的pH、温度、胰酶浓度及溶液中是否含有Ca++, Mg++离子和血清等因素有关。通常情况下,pH 8.0 , 温度 37 oC 其作用能力最强。另外,钙、镁离子及血清均能大大降低其消化能力。我们每次进行传代消化前,一定要用D-Hanks液或PBS液反复冲洗细胞培养瓶,以便于将含血清的培养基冲洗干净,这样就能大大提高消化液的消化能力。本中心通常使用的消化液浓度为:
(1)0.05%胰蛋白酶+0.02%EDTA;
(2)0.25%胰蛋白酶+0.03%EDTA。
(3)0.25% 胰蛋白酶
溶液pH8.0~9.0;使用D-Hank液配制。
多数细胞传代消化可使用0.05%胰蛋白酶+0.02%EDTA这种消化液。
购买上海烜雅生物细胞注意事项(烜雅生物)发布
一、客户收到细胞先不开盖,放在培养箱静置若干小时后(看细胞密度而定)在倒置显微镜下观察细胞生长情况,并对细胞进行不同倍数拍照(建议受收细胞时的培养基拍一张照片,观察培养基的颜色和是否有漏液情况,显微镜下拍细胞100X,200X各一张),排除细胞本身污染的情况;
收到细胞未开封,出现污染状况我们负责免费发送一株细胞。
二、如为贴壁细胞,请在显微镜下观察细胞密度:
1. 未超过80%汇合度时,用75%酒精(建议配置75%酒精的水也是灭菌超纯水,喷洒整个瓶消毒后放到超菌台内,严格无菌操作;然后打开盖子,先用枪头把培养基吸出10ml左右,放在离心管里,然后瓶口过火(严禁直接倾倒),这样可以保证不污染,再用10ml的移液管,将剩余的培液全部吸出,放于离心管中,培养瓶中只剩余10ml左右培液就可以了。培养16hr(时间根据细胞生长情况调整)之后,传代或者冻存。
2. 超过80%汇合度时,请按细胞培养条件传代培养。具体步骤如下:
1) 弃去培养液,用3ml PBS(不含钙,镁离子)洗1-2次;
2) 加1ml消化液(0.25%Trypsin-0.53mM EDTA)于T25培养瓶中,倒转放于37度培养箱1-3分钟预热,然后又将培养瓶倒转大约30秒后,在倒置显微镜下观察细胞消化情况,若细胞大部分变圆分散,轻敲几下培养培养瓶,细胞随即脱落下来;
3) 加入6-8ml完全培养基,吸出,分到新的培养瓶中,按要求分瓶。
三、如为悬浮细胞,吸出培养液,1000转/分钟离心5分钟,吸出上清,管底细胞用新鲜培养基悬浮细胞后移回培养瓶。
注意:换液时一半用我们的培养基,一半用你们的,以免细胞不适应而造成生长不好。
四、细胞出现问题,可重发的情况有哪些?判定标准是什么?
(1)细胞运输途中遭遇的各种问题,细胞丢失、破损、漏液等,重发;
(2)冻存的细胞复苏后,绝大多数细胞未存活,重发;
(3)存活的细胞静置24小时后,绝大多数细胞未存活,重发;
(4)冻存的细胞复苏后或存活的细胞静置4小时后并且未开封,出现污染,重发;
(5)视具体情况而定。
五、细胞出现问题,不予以重发的情况有哪些?
(1)客户造成细胞污染,不重发;
(2)客户不正确操作致细胞状态不好,不重发;
(3)细胞状态不好,未提供细胞培养前3天照片的,不重发;
(4)细胞培养时经其它处理的,不重发;
(5)细胞收到2天内,未告知,不重发;
(6)视具体情况而定。
六、售后服务政策
细胞污染问题,请在收到产品48小时内,给我们提出真实的实验结果;细胞活性问题,请在收到产品7天内给我们提出真实的实验结果,我们调查核实后予免费调换,不收取任何费用。

J774A.1;单核细胞-巨噬细胞质量可靠,售后有保障
J774A.1;单核细胞-巨噬细胞相关产品:
| B95-8 | EBV转化的绒猴白细胞 | XY-XB-1819 |
| NISE-Sacy-12 | 蓖麻蚕卵细胞 | XY-XB-1820 |
| ZC-7901 | 草鱼吻端细胞 | XY-XB-1821 |
| RF/6A | 猴脉络膜-视网膜细胞(内皮) | XY-XB-1822 |
| Mv1Lu | 貂肺上皮细胞 | XY-XB-1823 |
| Pcc4 | 胚癌细胞 | XY-XB-1824 |
| EL4 | 淋巴瘤 | XY-XB-1825 |
| EL4IL-2 | 淋巴瘤 | XY-XB-1826 |
| P815 | 肥大细胞瘤 | XY-XB-1827 |
| YAC-1 | 淋巴瘤 | XY-XB-1828 |
| MFC | 前胃癌 | XY-XB-1829 |
| L1210 | 淋巴白血病 | XY-XB-1830 |
| AtT20 | 垂体瘤 | XY-XB-1831 |
| P388D1 | 淋巴样瘤 | XY-XB-1832 |
| NS-1 | 骨髓瘤 | XY-XB-1833 |
| SP2/0 | 骨髓瘤 | XY-XB-1834 |
| SRS-82 | 腹水瘤 | XY-XB-1835 |
| P3-NS-1/1-Ag4.1 | 骨髓瘤 | XY-XB-1836 |
| SAC-IIB2 | 腹水瘤 | XY-XB-1837 |
| SAC-IIC3 | 腹水瘤 | XY-XB-1838 |
| 45.6.TG1.7 | 骨髓瘤 | XY-XB-1839 |
| S180 | 腹水瘤 | XY-XB-1840 |
| P3-X63-Ag8 | 骨髓瘤 | XY-XB-1841 |
| B16 | 黑色素瘤 | XY-XB-1842 |
| J774A.1 | 单核细胞-巨噬细胞 | XY-XB-1843 |
| C127 | 乳腺肿瘤 | XY-XB-1844 |
| RAW264.7 | 单核细胞-巨噬细胞 | XY-XB-1845 |
| F9 | 胚胎瘤 | XY-XB-1846 |
| NG108-15 | 小鼠神经细胞瘤×大鼠神经胶质细胞杂交细胞 | XY-XB-1847 |
| C6 | 胶质瘤 | XY-XB-1848 |
| J774A.1;单核细胞-巨噬细胞 RH-35 | 肝癌 | XY-XB-1849 |
风险提示:丁香通仅作为第三方平台,为商家信息发布提供平台空间。用户咨询产品时请注意保护个人信息及财产安全,合理判断,谨慎选购商品,商家和用户对交易行为负责。对于医疗器械类产品,请先查证核实企业经营资质和医疗器械产品注册证情况。
技术资料暂无技术资料 索取技术资料
J774A.1;单核细胞-巨噬细胞
¥600 - 2000









