相关产品推荐更多 >
万千商家帮你免费找货
0 人在求购买到急需产品
- 详细信息
- 技术资料
- 品系:
详见说明书
- ATCC Number:
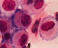
SF-295 (human XG malignant glioma cells)
- 细胞类型:
A类
- 肿瘤类型:
否
- 供应商:
上海博湖
- 库存:
55
- 生长状态:
贴壁生长
- 年限:
详见说明书
- 运输方式:
低温冷藏
- 器官来源:
详见说明书
- 是否是肿瘤细胞:
否
- 细胞形态:
淋巴母细胞样
- 免疫类型:
详见说明书
- 物种来源:
详见说明书
- 相关疾病:
详见说明书
- 组织来源:
详见说明书
- 英文名:
详见说明书
- 规格:
详见说明书
产品名称:SF-295(人XG恶性胶质瘤细胞)图片
英文名称:SF-295 (human XG malignant glioma cells)
规格:5×105cells/瓶
产品货号:BH-X0858
SF-295(人XG恶性胶质瘤细胞)图片培养中遇到的问题:
●血清中可能出现的沉淀物是什么?
基于HyClone的经验以及多年的试验研究,用于细胞培养的胎牛血清以及其它血清中可能会存在以下种类的沉淀物:
纤维蛋白 (2)磷酸钙 (3)胆固醇、脂肪酸酯以及一些蛋白质
SF-295(人XG恶性胶质瘤细胞)图片运输和保存:
视天气状况和运输距离远近,公司与客户协商后选择下述方式中的一种进行。
1)1mL冻存细胞悬液装于1.8ml的冻存管中,置于装满干冰的泡沫保温盒中进行运输;收到细胞后请尽快解冻复苏细胞进行培养,如无法立刻进行复苏操作,冻存细胞可在-80℃的条件下保存1个月。
2)T-25培养瓶充满完全培养基后进行常温运输;收到细胞后请镜下观察细胞生长状态,如铺瓶率超过85%请立即进行传代操作,如悬浮的细胞较多,请将培养瓶至于培养箱中静置过夜以帮助未死亡的悬浮细胞能够再次贴壁。
SF-295(人XG恶性胶质瘤细胞)图片具体操作:
1.预热培养用液:把已经配制好的装有培养液、PBS液和胰蛋白酶的瓶子放入37℃水浴锅内预热。
2.用75%酒精擦拭经过紫外线照射的超净工作台和双手。
3.正确摆放使用的器械:保证足够的*作空间,不仅便于*作而且可减少污染。
4.点燃酒精灯:注意火焰不能太小。
5.准备好将要使用的消毒后的空培养瓶,放入微波炉内高火,8分钟再次消毒。
6.取出预热好的培养用液:大鼠主动脉平滑肌细胞取出已经预热好的培养用液,用酒精棉球擦拭好后方能放入超净台内。
7.从培养箱内取出细胞:注意取出细胞时要旋紧瓶盖,用酒精棉球擦拭显微镜的台面,再在镜下观察细胞。
8.打开瓶口:将各瓶口一一打开,同时要在酒精灯上烧口消毒。
减数分裂核分裂蛋白1抗体
胰高血糖素样肽2受体抗体
高尔基体外周膜蛋白p65抗体
糖基转移酶GLT8D2抗体
γ谷氨酰半胱氨酸合成酶抗体(γ-GCSc)
磷酸化磷酯酶Cβ3抗体
磷酸化血小板源性生长因子受体α/β抗体
磷酸化血小板源性生长因子受体-B抗体
磷酸化蛋白酶活化受体4抗体
PDZ连接激酶/T-LAK细胞源蛋白激酶抗体
血型糖蛋白A/涎糖蛋白抗体 Anti-GPA/GYPA/CD235a WB IHC-P IHC-F IF 100ul
G蛋白修补结构域蛋白3抗体 Anti-GPATCH3 WB IHC-P IHC-F IF 100ul
G蛋白偶联受体GPR63蛋白抗体 Anti-GPR63 WB IHC-P IHC-F IF 100ul
磷酸化珠蛋白转录因子1抗体 Anti-phospho-GATA1 WB IHC-P IHC-F IF 100ul
G蛋白偶联受体15抗体 Anti-GPR15 WB IHC-P IHC-F IF 100ul
Caov-3(人乳突状卵巢腺癌细胞) 5×106cells/瓶×2
CM-M021小鼠胰腺上皮细胞完全培养基100mL
IL2RA Others Cynomolgus 食蟹猴 IL2RA 人细胞裂解液 (阳性对照)
EC97076细胞,人食管癌细胞 人神经母细胞瘤细胞,IMR-32细胞 狗肾恶性组织细胞增生症细胞;DH82
615小鼠癌瘤株;Ca761
CD34 Others Human 人 CD34 人细胞裂解液 (阳性对照)
人恶性黑色素瘤细胞;A-375 [A375]
人成纤维母细胞-新生儿(HDF-n)( 5×105 )
mRTEC, 小鼠肾小管上皮细胞
人口腔表皮样癌细胞;KB 大鼠尿道上皮细胞完全培养基 100mL
PC-12(低分化) 大鼠肾上腺嗜鉻细胞瘤细胞(低分化)
DLL1 Others Mouse 小鼠 DLL1 / Delta-1 人细胞裂解液 (阳性对照)
SF-295(人XG恶性胶质瘤细胞)图片Caov-3(人乳突状卵巢腺癌细胞) 5×106cells/瓶×2
CM-M021小鼠胰腺上皮细胞完全培养基100mL
IL2RA Others Cynomolgus 食蟹猴 IL2RA 人细胞裂解液 (阳性对照)
EC97076细胞,人食管癌细胞 人神经母细胞瘤细胞,IMR-32细胞 狗肾恶性组织细胞增生症细胞;DH82
615小鼠癌瘤株;Ca761
CD34 Others Human 人 CD34 人细胞裂解液 (阳性对照)
英文名称:SF-295 (human XG malignant glioma cells)
规格:5×105cells/瓶
产品货号:BH-X0858
SF-295(人XG恶性胶质瘤细胞)图片培养中遇到的问题:
●血清中可能出现的沉淀物是什么?
基于HyClone的经验以及多年的试验研究,用于细胞培养的胎牛血清以及其它血清中可能会存在以下种类的沉淀物:
纤维蛋白 (2)磷酸钙 (3)胆固醇、脂肪酸酯以及一些蛋白质
SF-295(人XG恶性胶质瘤细胞)图片运输和保存:
视天气状况和运输距离远近,公司与客户协商后选择下述方式中的一种进行。
1)1mL冻存细胞悬液装于1.8ml的冻存管中,置于装满干冰的泡沫保温盒中进行运输;收到细胞后请尽快解冻复苏细胞进行培养,如无法立刻进行复苏操作,冻存细胞可在-80℃的条件下保存1个月。
2)T-25培养瓶充满完全培养基后进行常温运输;收到细胞后请镜下观察细胞生长状态,如铺瓶率超过85%请立即进行传代操作,如悬浮的细胞较多,请将培养瓶至于培养箱中静置过夜以帮助未死亡的悬浮细胞能够再次贴壁。
SF-295(人XG恶性胶质瘤细胞)图片具体操作:
1.预热培养用液:把已经配制好的装有培养液、PBS液和胰蛋白酶的瓶子放入37℃水浴锅内预热。
2.用75%酒精擦拭经过紫外线照射的超净工作台和双手。
3.正确摆放使用的器械:保证足够的*作空间,不仅便于*作而且可减少污染。
4.点燃酒精灯:注意火焰不能太小。
5.准备好将要使用的消毒后的空培养瓶,放入微波炉内高火,8分钟再次消毒。
6.取出预热好的培养用液:大鼠主动脉平滑肌细胞取出已经预热好的培养用液,用酒精棉球擦拭好后方能放入超净台内。
7.从培养箱内取出细胞:注意取出细胞时要旋紧瓶盖,用酒精棉球擦拭显微镜的台面,再在镜下观察细胞。
8.打开瓶口:将各瓶口一一打开,同时要在酒精灯上烧口消毒。
减数分裂核分裂蛋白1抗体
胰高血糖素样肽2受体抗体
高尔基体外周膜蛋白p65抗体
糖基转移酶GLT8D2抗体
γ谷氨酰半胱氨酸合成酶抗体(γ-GCSc)
磷酸化磷酯酶Cβ3抗体
磷酸化血小板源性生长因子受体α/β抗体
磷酸化血小板源性生长因子受体-B抗体
磷酸化蛋白酶活化受体4抗体
PDZ连接激酶/T-LAK细胞源蛋白激酶抗体
血型糖蛋白A/涎糖蛋白抗体 Anti-GPA/GYPA/CD235a WB IHC-P IHC-F IF 100ul
G蛋白修补结构域蛋白3抗体 Anti-GPATCH3 WB IHC-P IHC-F IF 100ul
G蛋白偶联受体GPR63蛋白抗体 Anti-GPR63 WB IHC-P IHC-F IF 100ul
磷酸化珠蛋白转录因子1抗体 Anti-phospho-GATA1 WB IHC-P IHC-F IF 100ul
G蛋白偶联受体15抗体 Anti-GPR15 WB IHC-P IHC-F IF 100ul
Caov-3(人乳突状卵巢腺癌细胞) 5×106cells/瓶×2
CM-M021小鼠胰腺上皮细胞完全培养基100mL
IL2RA Others Cynomolgus 食蟹猴 IL2RA 人细胞裂解液 (阳性对照)
EC97076细胞,人食管癌细胞 人神经母细胞瘤细胞,IMR-32细胞 狗肾恶性组织细胞增生症细胞;DH82
615小鼠癌瘤株;Ca761
CD34 Others Human 人 CD34 人细胞裂解液 (阳性对照)
人恶性黑色素瘤细胞;A-375 [A375]
人成纤维母细胞-新生儿(HDF-n)( 5×105 )
mRTEC, 小鼠肾小管上皮细胞
人口腔表皮样癌细胞;KB 大鼠尿道上皮细胞完全培养基 100mL
PC-12(低分化) 大鼠肾上腺嗜鉻细胞瘤细胞(低分化)
DLL1 Others Mouse 小鼠 DLL1 / Delta-1 人细胞裂解液 (阳性对照)
SF-295(人XG恶性胶质瘤细胞)图片Caov-3(人乳突状卵巢腺癌细胞) 5×106cells/瓶×2
CM-M021小鼠胰腺上皮细胞完全培养基100mL
IL2RA Others Cynomolgus 食蟹猴 IL2RA 人细胞裂解液 (阳性对照)
EC97076细胞,人食管癌细胞 人神经母细胞瘤细胞,IMR-32细胞 狗肾恶性组织细胞增生症细胞;DH82
615小鼠癌瘤株;Ca761
CD34 Others Human 人 CD34 人细胞裂解液 (阳性对照)
风险提示:丁香通仅作为第三方平台,为商家信息发布提供平台空间。用户咨询产品时请注意保护个人信息及财产安全,合理判断,谨慎选购商品,商家和用户对交易行为负责。对于医疗器械类产品,请先查证核实企业经营资质和医疗器械产品注册证情况。
技术资料暂无技术资料 索取技术资料
SF-295(人XG恶性胶质瘤细胞)图片
¥1600 - 4500









