万千商家帮你免费找货
0 人在求购买到急需产品
- 详细信息
- 文献和实验
- 技术资料
- 抗体名:
COX IV Mouse mAb
- 抗体英文名:
COX IV Mouse mAb
- 靶点:
详见说明书
- 浓度:
1.0mg/ml
- 应用范围:
WB IHC ICC/IF IP
- 宿主:
Mouse
- 供应商:
上海钰博生物科技有限公司
- 库存:
大量
- 目录编号:
3119
- 抗原来源:
Mouse
- 保质期:
1年
- 适应物种:
详见说明书
- 标记物:
详见说明书
- 克隆性:
多克隆
- 保存条件:
Store at -20°C
- 形态:
液体或冻干粉
- 亚型:
详见说明书
- 免疫原:
详见说明书
- 规格:
50μg/50μl, 100μg/100μl
-
- Catalog No. : AB3119
- Size : 50μg/50μl, 100μg/100μl
-
- Mol Weight : 17KDa
- UniProt : P13073
-
- Isotype : Mouse IgG1
- Clonality : Monoclonal
-
- Price : $265/100μg
- Availability : 3-4 days
-
- Rank:
- Download datasheet [PDF] :
- Rank:
Category
- Primary Antibodies
- Secondary antibody
- Loading control / tag antibody
Details
Alternative Names:
Cytochrome c oxidase subunit 4 isoform 1, mitochondrial; Cytochrome c oxidase polypeptide IV; Cytochrome c oxidase subunit IV isoform 1; COX IV-1; COX4I1; COX4;
Application:
WB IHC ICC/IF IP
Reactivity:
Human,Mouse,Rat,Hamster,Goat,Monkey
Dilution:
WB 1:1000 IHC 1:50 ICC/IF 1:150 IP FC 1:100
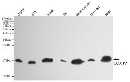
![]() |
Western blot detection of COX IV in Goat muscle,CHO-k1,COS7,3T3,Hela,C6 and K562 cell lysates using COX IV mouse mAb (1:5000 diluted).Predicted band size:17KDa.Observed band size:17KDa. |
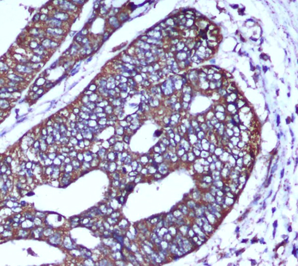
![]() |
Immunohistochemical analysis of paraffin-embedded human colorectal carcinoma with COX IV Mouse mAb (4D11-B3-E8,1:50 diluted),showing cytoplasm localization.A high pressure mediated antigen retrieval step was performed in citrate buffer(pH6.0). |
![]() |
Immunofluorescent analysis of HeLa cells using anti-COX IV mouse mAb diluted 1:150. |
![]() |
Immunoprecipitation analysis of Hela cell lysates using COX IV mouse mAb. |
![]() |
Flow Cytometry analysis of K562 cells stained with COX4 (red, 1/100 dilution), followed by FITC-conjugated goat anti-mouse IgG. Blue line histogram represents the isotype control, normal mouse IgG. |
Purification:
Affinity-chromatography
Specificity:
COX IV Mouse mAb detects endogenous levels of total COX IV
Immunogen:
A synthetic peptide corresponding to carboxyl terminal residues of human COX IV
Description:
This protein is one of the nuclear-coded polypeptide chains of cytochrome c oxidase, the terminal oxidase in mitochondrial electron transport
Storage Condition and Buffer:
Mouse IgG in phosphate buffered saline , pH 7.4, 150mM NaCl, 0.02% sodium azide and 50% glycerol. Store at +4°C short term. Store at -20°C long term. Avoid freeze / thaw cycle.
风险提示:丁香通仅作为第三方平台,为商家信息发布提供平台空间。用户咨询产品时请注意保护个人信息及财产安全,合理判断,谨慎选购商品,商家和用户对交易行为负责。对于医疗器械类产品,请先查证核实企业经营资质和医疗器械产品注册证情况。
文献和实验(adjust pH to 7.8 with Binding buffer; red color) to the Protein A column.Mouse antibodies of the IgG1 subclass do not have a high affinity for protein A. Purification on protein A beads using standard conditions will yield approximately 1/10
Purification of mAb (IgG) by Chang-Duk Jun, 03/14/2000 Purpose Materials Antibody 7E3 , 2L sup grown in flasks, frozen and thawed overnight. BioRad Affi-Gel Protein A MAPS II Buffers
T-Cell Activation Using mAb to CD3
One of the most common ways to assess T cell activation is to measure T cell proliferation upon in vitro stimulation of T cells via antigen or agonistic antibodies to TCR. This protocol is written as a starting point for examining in vitro proliferation of mouse
技术资料暂无技术资料 索取技术资料














