万千商家帮你免费找货
0 人在求购买到急需产品
- 详细信息
- 技术资料
- 库存:
大量
- 靶点:
WNT7B
- 克隆性:
多克隆
- 抗原来源:
Rabbit
- 抗体英文名:
Anti-WNT7B
- 抗体名:
Wnt蛋白家族7B抗体
- 标记物:
HRP,AKP
- 宿主:
人,兔,羊,牛,狗等
- 适应物种:
Human, Mouse, Rat, Chicken, Dog, Pig, Horse, Rabbit
- 免疫原:
KLH conjugated synthetic peptide derived from human WNT7B
- 亚型:
IgG
- 形态:
冻干或液体
- 应用范围:
WB,ELISA,IP,ICC等
- 浓度:
1mg/1ml
- 保存条件:
-20 °C
- 规格:
0.2ml/200μg
Wnt蛋白家族7B抗体产品介绍:
英文名称 Anti-WNT7B
中文名称 Wnt蛋白家族7B抗体
别 名 Protein Wnt-7b; Wingless related MMTV integration site 7B; Wingless type MMTV integration site family member 7B; WNT7B; WNT7B_HUMAN.
浓 度 1mg/1ml
规 格 0.2ml/200μg
抗体来源 Rabbit
克隆类型 polyclonal
交叉反应 Human, Mouse, Rat, Chicken, Dog, Pig, Horse, Rabbit
产品类型 一抗
研究领域 肿瘤 信号转导 干细胞 转录调节因子
蛋白分子量 predicted molecular weight:36kDa
性 状 Lyophilized or Liquid
免 疫 原 KLH conjugated synthetic peptide derived from human WNT7B
亚 型 IgG
纯化方法 affinity purified by Protein A
储 存 液 Preservative: 15mM Sodium Azide, Constituents: 1% BSA, 0.01M PBS, pH 7.4
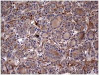
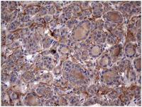
产品应用 WB=1:100-500 ELISA=1:500-1000 IP=1:20-100 IHC-P=1:100-500 IHC-F=1:100-500 IF=1:100-500
Wnt蛋白家族7B抗体订购说明:
※关于产品的详细说明书、价格信息,请来电获取;
※关于运输,我司支持各种快递,具体采用什么快递,我们会满足客户的要求,此外,我们还会根据产品的性状采取特殊的保护方式,以减少运输途中的损坏情况;
※关于产品包装,我司支持进口原装,也能按照客户的要求进行分装;
※关于售后,客户在收到货后,先检查产品包装情况,有无破损情况,然后可以按照严格的操作流程,在无菌环境下检测产品质量本身,如有上述疑似情况,请及时联系我司销售部;
※关于技术服务,我司可为您提供抗体标记服务,以及其他检测服务,此外,如遇技术问题,我司还能为您提供答疑解惑的咨询服务。
抗体分子标记技术:
一、氯胺T法
1.用1.5 mi Ependof管,加10u1抗体及pH7.5的0.5mo1/L磷酸钠缓冲液总体积至25μ1
2.加500uCi的Na125I,混匀;
3.加25u12mg/ml氯胺T液,混匀;
4.在室温下培养1分钟;
5.加入50μ1氯胺T反应终止缓冲液;
6.通过凝胶过滤层析分离将碘化抗体与碘化酪氨酸分离;
7.收集、合并含碘化抗体的各管;
8.将1251标记的抗体管放入同位素保护管中,置4℃保存;
二、Iodogen-包被试管法
1. Iodogen以0.5μg/mnl溶于lv仿;
2.将100u1 Iodogen液移入合用的玻璃试管中;
3.试管置通风橱中过夜,在室温下让lv仿蒸发;
4.加入50u1抗体;
5.加500 u ci Na125I到加有抗体的 Iodogen-包被管中,室温保温2分钟;
6.将管中反应液转入1.5 nl eppendof管;
7.通过凝胶过滤层析,将碘化抗体与碘化酪氨酸分离;
8.收集、混合含碘化抗体的各管;
9.将125I标记的抗体置同位素保护管中,放4℃保存。
Wnt蛋白家族7B抗体更多相关产品:
CA XI/Carbonic Anhydrase XI 碳酸酐酶11抗体规格: 0.2ml
Thyroxine Binding Globulin/TBG/Serpin A7 甲状素结合球蛋白抗体规格: 0.2ml
UGCG/Ceramide glucosyltransferase 葡萄糖神经酰胺合成酶抗体规格: 0.1mlMYLK2 肌球蛋白轻链激酶2抗体规格: 0.2ml
phospho-PIK3C3(Ser164) 磷酸化磷脂酰肌醇激酶3催化亚单位3抗体规格: 0.1mlSDH/S6PDH 6-磷酸山梨醇脱酶抗体规格: 0.2ml
phospho-JAK2(Tyr221) 磷酸化蛋白酪氨酸激酶JAK-2抗体规格: 0.1mlPRPH2 外周蛋白2抗体规格: 0.2ml
D-DIMER 交联纤维蛋白二聚体抗体规格: 0.2mlASB12 含锚蛋白重复序列-细胞因子信号抑制物盒蛋白家族12抗体规格: 0.2ml
Rabbit anti-MG IgG/Cy3 Cy3标记的兔抗爪沙鼠IgG规格: 0.1mlMOS 原基因丝氨酸/苏氨酸蛋白激酶MOS抗体规格: 0.2ml
SRC src原基因抗体规格: 0.2mlphospho-ATXN1(Ser775) 磷酸化失调症蛋白1抗体规格: 0.1ml
EPR1 效应细胞蛋白酶受体1抗体规格: 0.2mlIntegrin beta 5 整合素β5抗体规格: 0.1ml
CCDC63 卷曲螺旋结构域蛋白63抗体规格: 0.2mlCHX10 CHX10蛋白抗体规格: 0.1ml
Wnt蛋白家族7B抗体L-Histidine L-组氨酸盐酸盐 25g 瓶
3-(4-硝)-5-甲-2-氯四氮唑分子式:317.73英文名称:3- (4- nitrophenyl) -2- phenyl -5- methyl tetrazolium chlorideCAS号:zx3分子量: C14H12ClN5O2
Hyaluronidase 透明质酸酶 100mg 支
丙硫咪唑分子式:265.33英文名称:AlbendazoleCAS号:54965-21-8分子量: C12H15N3O2S
1M Tris-HCL(PH8.0) 100ml 瓶
邻溴三氟甲分子式:225.01英文名称:Ortho bromine three fluorine tolueneCAS号:392-83-6分子量: C7H4BrF3
2-巯-4-噻唑分子式:193.29英文名称:2- mercapto -4- phenylthiazoleCAS号:2103-88-0分子量: C9H7NS2
Cornin 山茱萸苷 548-37-8 20mg
英文名称 Anti-WNT7B
中文名称 Wnt蛋白家族7B抗体
别 名 Protein Wnt-7b; Wingless related MMTV integration site 7B; Wingless type MMTV integration site family member 7B; WNT7B; WNT7B_HUMAN.
浓 度 1mg/1ml
规 格 0.2ml/200μg
抗体来源 Rabbit
克隆类型 polyclonal
交叉反应 Human, Mouse, Rat, Chicken, Dog, Pig, Horse, Rabbit
产品类型 一抗
研究领域 肿瘤 信号转导 干细胞 转录调节因子
蛋白分子量 predicted molecular weight:36kDa
性 状 Lyophilized or Liquid
免 疫 原 KLH conjugated synthetic peptide derived from human WNT7B
亚 型 IgG
纯化方法 affinity purified by Protein A
储 存 液 Preservative: 15mM Sodium Azide, Constituents: 1% BSA, 0.01M PBS, pH 7.4
产品应用 WB=1:100-500 ELISA=1:500-1000 IP=1:20-100 IHC-P=1:100-500 IHC-F=1:100-500 IF=1:100-500
Wnt蛋白家族7B抗体订购说明:
※关于产品的详细说明书、价格信息,请来电获取;
※关于运输,我司支持各种快递,具体采用什么快递,我们会满足客户的要求,此外,我们还会根据产品的性状采取特殊的保护方式,以减少运输途中的损坏情况;
※关于产品包装,我司支持进口原装,也能按照客户的要求进行分装;
※关于售后,客户在收到货后,先检查产品包装情况,有无破损情况,然后可以按照严格的操作流程,在无菌环境下检测产品质量本身,如有上述疑似情况,请及时联系我司销售部;
※关于技术服务,我司可为您提供抗体标记服务,以及其他检测服务,此外,如遇技术问题,我司还能为您提供答疑解惑的咨询服务。
抗体分子标记技术:
一、氯胺T法
1.用1.5 mi Ependof管,加10u1抗体及pH7.5的0.5mo1/L磷酸钠缓冲液总体积至25μ1
2.加500uCi的Na125I,混匀;
3.加25u12mg/ml氯胺T液,混匀;
4.在室温下培养1分钟;
5.加入50μ1氯胺T反应终止缓冲液;
6.通过凝胶过滤层析分离将碘化抗体与碘化酪氨酸分离;
7.收集、合并含碘化抗体的各管;
8.将1251标记的抗体管放入同位素保护管中,置4℃保存;
二、Iodogen-包被试管法
1. Iodogen以0.5μg/mnl溶于lv仿;
2.将100u1 Iodogen液移入合用的玻璃试管中;
3.试管置通风橱中过夜,在室温下让lv仿蒸发;
4.加入50u1抗体;
5.加500 u ci Na125I到加有抗体的 Iodogen-包被管中,室温保温2分钟;
6.将管中反应液转入1.5 nl eppendof管;
7.通过凝胶过滤层析,将碘化抗体与碘化酪氨酸分离;
8.收集、混合含碘化抗体的各管;
9.将125I标记的抗体置同位素保护管中,放4℃保存。
Wnt蛋白家族7B抗体更多相关产品:
CA XI/Carbonic Anhydrase XI 碳酸酐酶11抗体规格: 0.2ml
Thyroxine Binding Globulin/TBG/Serpin A7 甲状素结合球蛋白抗体规格: 0.2ml
UGCG/Ceramide glucosyltransferase 葡萄糖神经酰胺合成酶抗体规格: 0.1mlMYLK2 肌球蛋白轻链激酶2抗体规格: 0.2ml
phospho-PIK3C3(Ser164) 磷酸化磷脂酰肌醇激酶3催化亚单位3抗体规格: 0.1mlSDH/S6PDH 6-磷酸山梨醇脱酶抗体规格: 0.2ml
phospho-JAK2(Tyr221) 磷酸化蛋白酪氨酸激酶JAK-2抗体规格: 0.1mlPRPH2 外周蛋白2抗体规格: 0.2ml
D-DIMER 交联纤维蛋白二聚体抗体规格: 0.2mlASB12 含锚蛋白重复序列-细胞因子信号抑制物盒蛋白家族12抗体规格: 0.2ml
Rabbit anti-MG IgG/Cy3 Cy3标记的兔抗爪沙鼠IgG规格: 0.1mlMOS 原基因丝氨酸/苏氨酸蛋白激酶MOS抗体规格: 0.2ml
SRC src原基因抗体规格: 0.2mlphospho-ATXN1(Ser775) 磷酸化失调症蛋白1抗体规格: 0.1ml
EPR1 效应细胞蛋白酶受体1抗体规格: 0.2mlIntegrin beta 5 整合素β5抗体规格: 0.1ml
CCDC63 卷曲螺旋结构域蛋白63抗体规格: 0.2mlCHX10 CHX10蛋白抗体规格: 0.1ml
Wnt蛋白家族7B抗体L-Histidine L-组氨酸盐酸盐 25g 瓶
3-(4-硝)-5-甲-2-氯四氮唑分子式:317.73英文名称:3- (4- nitrophenyl) -2- phenyl -5- methyl tetrazolium chlorideCAS号:zx3分子量: C14H12ClN5O2
Hyaluronidase 透明质酸酶 100mg 支
丙硫咪唑分子式:265.33英文名称:AlbendazoleCAS号:54965-21-8分子量: C12H15N3O2S
1M Tris-HCL(PH8.0) 100ml 瓶
邻溴三氟甲分子式:225.01英文名称:Ortho bromine three fluorine tolueneCAS号:392-83-6分子量: C7H4BrF3
2-巯-4-噻唑分子式:193.29英文名称:2- mercapto -4- phenylthiazoleCAS号:2103-88-0分子量: C9H7NS2
Cornin 山茱萸苷 548-37-8 20mg
风险提示:丁香通仅作为第三方平台,为商家信息发布提供平台空间。用户咨询产品时请注意保护个人信息及财产安全,合理判断,谨慎选购商品,商家和用户对交易行为负责。对于医疗器械类产品,请先查证核实企业经营资质和医疗器械产品注册证情况。
技术资料暂无技术资料 索取技术资料
Wnt蛋白家族7B抗体
询价









