万千商家帮你免费找货
0 人在求购买到急需产品
- 详细信息
- 技术资料
- 靶点:
Myosin-XVIIIb
- 克隆性:
多克隆
- 抗体英文名:
Anti-Myosin-XVIIIb
- 抗体名:
肌球蛋白XVIIIb抗体
- 免疫原:
0.2ml/200μg
- 亚型:
IgG
- 应用范围:
WB,ELISA,IP,ICC等
- 浓度:
1mg/1ml
- 保存条件:
-20 °C
- 规格:
0.2ml/200μg
本品仅供学校实验室使用或者其他科研项目,不做其他用途!
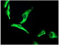
肌球蛋白XVIIIb抗体产品资料:
英文名称 肌球蛋白XVIIIb抗体
中文名称 Anti-Myosin-XVIIIb
别 名 MYO18B; myosin 18B; Unconventional myosin-XVIIIb;
浓 度 1mg/1ml
规 格 0.2ml/200μg
抗体来源 Rabbit
克隆类型 polyclonal
交叉反应 Human, Mouse, Rat, Dog, Pig, Cow, Horse
产品类型 一抗
研究领域 肿瘤 细胞生物 免疫学 神经生物学
蛋白分子量 predicted molecular weight:
282kDa
性 状 Lyophilized or Liquid
免 疫 原 KLH conjugated synthetic peptide derived from human Myosin-XVIIIb (1805-1855aa)
亚 型 IgG
纯化方法 affinity purified by Protein A
储 存 液 Preservative: 15mM Sodium Azide, Constituents: 1% BSA, 0.01M PBS, pH 7.4
产品应用 ELISA=1:500-1000 IP=1:20-100 IHC-P=1:100-500 IHC-F=1:100-500 IF=1:100-500
公司优势:
我司在生物科技领域已立足多年,虽然一路走来很艰难,但是也抗住了大风大浪,并且越来越壮大。专业实力方面,我们的科技人员是专业的,我们的营销人员是专业的,我们的服务是专业的,在实力方面,我们拥有一批爱好钻研的科技人才,攻坚克难就是我们的态度。
我司已经与多家单位建立了合作,包括高等院校、科研院所、医学院以及相关的企业等,合作伙伴多,客户的针对性强,主要服务于生命科学、医学等方面的科研人员以及研究员、学生等;
我司还与国际接轨,代理着许多知名进口品牌,以填补国内需求的空缺。
如需订购,敬请详询我们!
抗体、抗原之间的关系:
抗原是人体免疫系统中需要被清除的东西,诸如病毒、细菌、寄生虫、过敏原等等,而身体里的免疫细胞会主动产生一种专门与其“对抗”或者“结合”抗原的物质,这就是抗体。这种抗原-抗体反应是人体的一种保护机制,使人从疾病中恢复健康或不得病。
有时,抗原和抗体也会相结合,形成抗原-抗体免疫复合物,反而对人体不利,例如乙型溶血性链球菌感染所致的猩红热,在恢复期,由于链球菌与人的肾小球基底膜具有共同的抗原性,就会导致免疫系统产生抗肾小球基底膜抗体,并与肾细胞上的抗原发生结合,形成抗原-抗体免疫复合物,诱导免疫系统,激活补体,导致链球菌感染后的急性肾炎。
大多数情况下,抗原是外来的,抗体是机体免疫系统自产的。但有时,抗原抗体都是机体自产的。如自身免疫性疾病,免疫系统误把自身的细胞当成抗原产生抗体,用自产的抗体和自身的细胞打仗,导致人体的健康问题。有时,抗原是自产的,抗体却可以外来。例如肿瘤细胞就是自产的抗原,人类可以利用单克隆技术制成抗体用于肿瘤的治疗。
抗体和抗原之间的关系复杂,要探究这期间的奥秘,还有漫长的路要走。
与肌球蛋白XVIIIb抗体相关的更多优势产品:
IL-2 白介素2抗体规格: 0.2ml
Anti-MST1Rrabbitpolyclonalantiboy
英文名:Anti-MST1Rrabbitpolyclonalantiboy
冷冻(-20℃)避光
兔抗X3X多克隆抗体
英文名:Anti-X3Xrabbitpolyclonalantiboy
冷冻(-20℃)避光
小鼠抗PTPRC单克隆抗体
英文名:Anti-PTPRCmousemonoclonalantiboy
冷冻(-20℃)避光
兔抗SORBS2多克隆抗体
英文名:Anti-SORBS2rabbitpolyclonalantiboy
冷冻(-20℃)避光
Nrn1/Cpg15/Neuritin 转化神经突起蛋白抗体规格: 0.2ml
兔抗IRF8多克隆抗体
英文名:Anti-IRF8rabbitpolyclonalantiboy
冷冻(-20℃)避光
肌球蛋白XVIIIb抗体组织活化凝血因子10(FACTOR Xa)活性荧光定量检测试剂盒进口/国产规格:20次
精子DNA吖啶橙(acridine orange)荧光检测试剂盒进口/国产规格:50次
肌动蛋白聚合作用(polymerization)检测试剂盒进口/国产规格:20次
CDK6蛋白表达ELISA定量检测试剂盒进口/国产规格:25次
石蜡切片组织PAR-3蛋白表达NBT显色光学显微镜检测试剂盒进口/国产规格:10/20次
载玻片细胞BAD蛋白表达荧光显微镜检测试剂盒进口/国产规格:10/20次
细胞CASPASE-4蛋白表达荧光定量检测试剂盒进口/国产规格:10/50 次
石蜡切片组织MYC蛋白表达荧光显微镜检测试剂盒进口/国产规格:10/20次
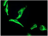
肌球蛋白XVIIIb抗体产品资料:
英文名称 肌球蛋白XVIIIb抗体
中文名称 Anti-Myosin-XVIIIb
别 名 MYO18B; myosin 18B; Unconventional myosin-XVIIIb;
浓 度 1mg/1ml
规 格 0.2ml/200μg
抗体来源 Rabbit
克隆类型 polyclonal
交叉反应 Human, Mouse, Rat, Dog, Pig, Cow, Horse
产品类型 一抗
研究领域 肿瘤 细胞生物 免疫学 神经生物学
蛋白分子量 predicted molecular weight:
282kDa
性 状 Lyophilized or Liquid
免 疫 原 KLH conjugated synthetic peptide derived from human Myosin-XVIIIb (1805-1855aa)
亚 型 IgG
纯化方法 affinity purified by Protein A
储 存 液 Preservative: 15mM Sodium Azide, Constituents: 1% BSA, 0.01M PBS, pH 7.4
产品应用 ELISA=1:500-1000 IP=1:20-100 IHC-P=1:100-500 IHC-F=1:100-500 IF=1:100-500
公司优势:
我司在生物科技领域已立足多年,虽然一路走来很艰难,但是也抗住了大风大浪,并且越来越壮大。专业实力方面,我们的科技人员是专业的,我们的营销人员是专业的,我们的服务是专业的,在实力方面,我们拥有一批爱好钻研的科技人才,攻坚克难就是我们的态度。
我司已经与多家单位建立了合作,包括高等院校、科研院所、医学院以及相关的企业等,合作伙伴多,客户的针对性强,主要服务于生命科学、医学等方面的科研人员以及研究员、学生等;
我司还与国际接轨,代理着许多知名进口品牌,以填补国内需求的空缺。
如需订购,敬请详询我们!
抗体、抗原之间的关系:
抗原是人体免疫系统中需要被清除的东西,诸如病毒、细菌、寄生虫、过敏原等等,而身体里的免疫细胞会主动产生一种专门与其“对抗”或者“结合”抗原的物质,这就是抗体。这种抗原-抗体反应是人体的一种保护机制,使人从疾病中恢复健康或不得病。
有时,抗原和抗体也会相结合,形成抗原-抗体免疫复合物,反而对人体不利,例如乙型溶血性链球菌感染所致的猩红热,在恢复期,由于链球菌与人的肾小球基底膜具有共同的抗原性,就会导致免疫系统产生抗肾小球基底膜抗体,并与肾细胞上的抗原发生结合,形成抗原-抗体免疫复合物,诱导免疫系统,激活补体,导致链球菌感染后的急性肾炎。
大多数情况下,抗原是外来的,抗体是机体免疫系统自产的。但有时,抗原抗体都是机体自产的。如自身免疫性疾病,免疫系统误把自身的细胞当成抗原产生抗体,用自产的抗体和自身的细胞打仗,导致人体的健康问题。有时,抗原是自产的,抗体却可以外来。例如肿瘤细胞就是自产的抗原,人类可以利用单克隆技术制成抗体用于肿瘤的治疗。
抗体和抗原之间的关系复杂,要探究这期间的奥秘,还有漫长的路要走。
与肌球蛋白XVIIIb抗体相关的更多优势产品:
IL-2 白介素2抗体规格: 0.2ml
Anti-MST1Rrabbitpolyclonalantiboy
英文名:Anti-MST1Rrabbitpolyclonalantiboy
冷冻(-20℃)避光
兔抗X3X多克隆抗体
英文名:Anti-X3Xrabbitpolyclonalantiboy
冷冻(-20℃)避光
小鼠抗PTPRC单克隆抗体
英文名:Anti-PTPRCmousemonoclonalantiboy
冷冻(-20℃)避光
兔抗SORBS2多克隆抗体
英文名:Anti-SORBS2rabbitpolyclonalantiboy
冷冻(-20℃)避光
Nrn1/Cpg15/Neuritin 转化神经突起蛋白抗体规格: 0.2ml
兔抗IRF8多克隆抗体
英文名:Anti-IRF8rabbitpolyclonalantiboy
冷冻(-20℃)避光
肌球蛋白XVIIIb抗体组织活化凝血因子10(FACTOR Xa)活性荧光定量检测试剂盒进口/国产规格:20次
精子DNA吖啶橙(acridine orange)荧光检测试剂盒进口/国产规格:50次
肌动蛋白聚合作用(polymerization)检测试剂盒进口/国产规格:20次
CDK6蛋白表达ELISA定量检测试剂盒进口/国产规格:25次
石蜡切片组织PAR-3蛋白表达NBT显色光学显微镜检测试剂盒进口/国产规格:10/20次
载玻片细胞BAD蛋白表达荧光显微镜检测试剂盒进口/国产规格:10/20次
细胞CASPASE-4蛋白表达荧光定量检测试剂盒进口/国产规格:10/50 次
石蜡切片组织MYC蛋白表达荧光显微镜检测试剂盒进口/国产规格:10/20次
风险提示:丁香通仅作为第三方平台,为商家信息发布提供平台空间。用户咨询产品时请注意保护个人信息及财产安全,合理判断,谨慎选购商品,商家和用户对交易行为负责。对于医疗器械类产品,请先查证核实企业经营资质和医疗器械产品注册证情况。
技术资料暂无技术资料 索取技术资料
肌球蛋白XVIIIb抗体
询价









