相关产品推荐更多 >
万千商家帮你免费找货
0 人在求购买到急需产品
- 详细信息
- 文献和实验
- 技术资料
- 供应商:
上海联迈生物工程有限公司
- 库存:
大量
- 目录编号:
LM-51397M
- 克隆性:
多克隆
- 抗原来源:
Rabbit
- 保质期:
1年
- 抗体英文名:
YWHAZ
- 抗体名:
小鼠抗14-3-3蛋白zeta/delta单克隆抗体
- 宿主:
Rabbit
- 适应物种:
Human, Mouse, Rat,
- 免疫原:
Recombinant human YWHAZ protein:
- 亚型:
IgG
- 形态:
Lyophilized or Liquid
- 应用范围:
WB=1:500-2000 IHC-P=1:400-800 IHC-F=1:400-800 IF=1:100-500 (石蜡切片需做抗原修复)
- 浓度:
1mg/ml
- 保存条件:
Store at -20 °C
- 规格:
50ul 100ul
| 英文名称 | YWHAZ |
| 中文名称 | 小鼠抗14-3-3蛋白zeta/delta单克隆抗体 |
| 别 名 | Tyrosine 3-Monooxygenase/Tryptophan 5-Monooxygenase Activation Protein Zeta; Tyrosine 3-Monooxygenase/Tryptophan 5-Monooxygenase Activation Protein, Delta Polypeptide; Tyrosine 3-Monooxygenase/Tryptophan 5-Monooxygenase Activation Protein, Zeta Polypeptide; Protein Kinase C Inhibitor Protein 1; 14-3-3 Delta; 14-3-3 Zeta; KCIP-1; Tyrosine 3/Tryptophan 5 -Monooxygenase Activation Protein, Zeta Polypeptide; 14-3-3 Protein/Cytosolic Phospholipase A2; Protein Kinase C Inhibitor Protein-1; Epididymis Secretory Protein Li 93; Epididymis Secretory Protein Li 3; Epididymis Luminal Protein 4; 14-3-3 Protein Zeta/Delta; Phospholipase A2; 14-3-3-Zeta; HEL-S-93; HEL-S-3; YWHAD; |
| 规格价格 | 50ul/860元 购买 100ul/1580元 购买 大包装/询价 |
| 说 明 书 | 50ul 100ul |
| 研究领域 | 细胞生物 细胞凋亡 |
| 抗体来源 | Mouse |
| 克隆类型 | Monoclonal |
| 克 隆 号 | 1B6 |
| 交叉反应 | Human, Mouse, Rat, |
| 产品应用 | WB=1:500-2000 IHC-P=1:400-800 IHC-F=1:400-800 IF=1:100-500 (石蜡切片需做抗原修复) not yet tested in other applications. optimal dilutions/concentrations should be determined by the end user. |
| 分 子 量 | 27kDa |
| 细胞定位 | 细胞浆 |
| 性 状 | Lyophilized or Liquid |
| 浓 度 | 1mg/ml |
| 免 疫 原 | Recombinant human YWHAZ protein: |
| 亚 型 | IgG2b |
| 纯化方法 | affinity purified by Protein G |
| 储 存 液 | 0.01M TBS(pH7.4) with 1% BSA, 0.03% Proclin300 and 50% Glycerol. |
| 保存条件 | Store at -20 °C for one year. Avoid repeated freeze/thaw cycles. The lyophilized antibody is stable at room temperature for at least one month and for greater than a year when kept at -20°C. When reconstituted in sterile pH 7.4 0.01M PBS or diluent of antibody the antibody is stable for at least two weeks at 2-4 °C. |
| PubMed | PubMed |
| 产品介绍 | background: This gene product belongs to the 14-3-3 family of proteins which mediate signal transduction by binding to phosphoserine-containing proteins. This highly conserved protein family is found in both plants and mammals, and this protein is 99% identical to the mouse, rat and sheep orthologs. The encoded protein interacts with IRS1 protein, suggesting a role in regulating insulin sensitivity. Several transcript variants that differ in the 5' UTR but that encode the same protein have been identified for this gene. [provided by RefSeq, Oct 2008] Function: Adapter protein implicated in the regulation of a large spectrum of both general and specialized signaling pathways. Binds to a large number of partners, usually by recognition of a phosphoserine or phosphothreonine motif. Binding generally results in the modulation of the activity of the binding partner. Subunit: Interacts with CDK16 and BSPRY. Interacts with WEE1 (C-terminal). Interacts with SAMSN1. Interacts with MLF1 (phosphorylated form); the interaction retains it in the cytoplasm. Interacts with Thr-phosphorylated ITGB2. Interacts with BCL2L11 (By similarity). Homodimer. Heterodimerizes with YWHAE. Homo- and hetero-dimerization is inhibited by phosphorylation on Ser-58. Interacts with FOXO4, NOXA1, SSH1 and ARHGEF2. Interacts with Pseudomonas aeruginosa exoS (unphosphorylated form). Interacts with BAX; the interaction occurs in the cytoplasm. Under stress conditions, MAPK8-mediated phosphorylation releases BAX to mitochondria. Interacts with phosphorylated RAF1; the interaction is inhibited when YWHAZ is phosphorylated on Thr-232. Interacts with TP53; the interaction enhances p53 transcriptional activity. The Ser-58 phosphorylated form inhibits this interaction and p53 transcriptional activity. Interacts with ABL1 (phosphorylated form); the interaction retains ABL1 in the cytoplasm. Interacts with PKA-phosphorylated AANAT; the interaction modulates AANAT enzymatic activity by increasing affinity for arylalkylamines and acetyl-CoA and protecting the enzyme from dephosphorylation and proteasomal degradation. It may also prevent thiol-dependent inactivation. Interacts with AKT1; the interaction phosphorylates YWHAZ and modulates dimerization. Interacts with GAB2 and TLK2. Interacts with the 'Thr-369' phosphorylated form of DAPK2 (PubMed:26047703). Interacts with PI4KB, TBC1D22A and TBC1D22B (PubMed:23572552). Interacts with ZFP36L1 (via phosphorylated form); this interaction occurs in a p38 MAPK- and AKT-signaling pathways. Subcellular Location: Cytoplasm. Post-translational modifications: The delta, brain-specific form differs from the zeta form in being phosphorylated (By similarity). Phosphorylation on Ser-184 by MAPK8; promotes dissociation of BAX and translocation of BAX to mitochondria. Phosphorylation on Thr-232; inhibits binding of RAF1. Phosphorylated on Ser-58 by PKA and protein kinase C delta type catalytic subunit in a sphingosine-dependent fashion. Phosphorylation on Ser-58 by PKA; disrupts homodimerization and heterodimerization with YHAE and TP53. Similarity: Belongs to the 14-3-3 family. SWISS: P63104 Gene ID: 7534 Database links: Entrez Gene: 7534 Human Entrez Gene: 22631 Mouse Entrez Gene: 25578 Rat Omim: 601288 Human SwissProt: P63104 Human SwissProt: P63101 Mouse SwissProt: P63102 Rat Unigene: 492407 Human Unigene: 3360 Mouse Unigene: 465895 Mouse Unigene: 1292 Rat Important Note: This product as supplied is intended for research use only, not for use in human, therapeutic or diagnostic applications. |
| 产品图片 |
Sample:
Hela(Human) Cell Lysate at 40 ug A549(Human) Cell Lysate at 40 ug Cerebrum (Rat) Lysate at 40 ug Panc-1 (Human) Lysate at 40 ug Primary: Anti-YWHAZ (bs-51397R) at 1/300 dilution Secondary: IRDye800CW Goat Anti-Rabbit IgG at 1/20000 dilution Predicted band size: 23 kD Observed band size: 23 kD
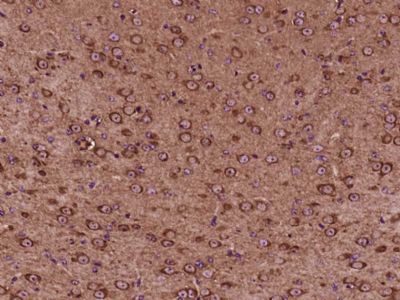
Paraformaldehyde-fixed, paraffin embedded (Mouse brain); Antigen retrieval by boiling in sodium citrate buffer (pH6.0) for 15min; Block endogenous peroxidase by 3% hydrogen peroxide for 20 minutes; Blocking buffer (normal goat serum) at 37°C for 30min; Antibody incubation with (YWHAZ) Polyclonal Antibody, Unconjugated (bsm-51397M) at 1:400 overnight at 4°C, followed by operating according to SP Kit(Mouse) (sp-0024) instructionsand DAB staining.
|
风险提示:丁香通仅作为第三方平台,为商家信息发布提供平台空间。用户咨询产品时请注意保护个人信息及财产安全,合理判断,谨慎选购商品,商家和用户对交易行为负责。对于医疗器械类产品,请先查证核实企业经营资质和医疗器械产品注册证情况。
文献和实验胶体金的pH值时可用0.1molK2CO3,需要降低胶体金的pH值时可用0.1N HCl.测定金溶液的pH可能损害pH测定计的探头,因此,一般用精密的pH试纸测定其pH即可。几种常用的蛋白质标记时胶体金所用的pH值见表5-4.表5-4 常用几种蛋白质标记时胶体金所用的pH值如下 蛋白质pH抗体(γ球蛋白)9.0亲合层析的IgG7.6单克隆抗体8.2F(ab')27.2SPA(葡萄球菌蛋白)6.0蓖麻子植物凝血素Ⅰ8.0蓖麻子植物凝血素Ⅱ8.0花生凝集素6.3Helix pomatia lectin
抗大鼠波形蛋白单克隆抗体,l:200稀释度),4℃过夜或37℃孵育30分钟,BS漂洗3次,每次5分钟; (7)滴加与第一抗体种属匹配的荧光素标记二抗(如羊抗小鼠FITC-IgG。1:100),37℃避光孵育30分钟,PBS漂洗3次,每次5分钟; (8)Hoechst 333442复染细胞核15~20分钟(不是必需步骤); (9)甘油磷酸缓冲液封片,荧光显微镜下镜观察; (10)结果分析:波形蛋白免疫反应阳性细胞胞质呈现绿色荧光,如细胞核复染后可呈现亮蓝色荧光。阴性细胞仅见细胞
STM:傅阳心、侯玉柱等发现放疗与免疫治疗的交汇点,兵家必争之地竟是这群细胞
细胞或外源性注射 ARTN 同样可以减弱放疗和 PD-L1 阻滞的抗肿瘤作用。上述的结果表明免疫治疗和放疗的治疗作用部分依赖于它们对 Ter 细胞的抑制。 图片来源:Sci. Transl. Med 同样的,破坏 Ter/ARTN 轴能够恢复甚至增加放疗和抗 PD-L1 治疗的疗效。通过使用 anti-Ter119 抗体,将小鼠体内 Ter 细胞耗尽,这显著促进了放疗和抗 PD-L1 治疗的作用。接下来的研究也表明阻断 ARTN 能增强抗肿瘤治疗效果。因此,Ter 细胞耗尽、ARTN 中和都能够
技术资料暂无技术资料 索取技术资料












