相关产品推荐更多 >
万千商家帮你免费找货
0 人在求购买到急需产品
- 详细信息
- 文献和实验
- 技术资料
- 供应商:
上海联迈生物工程有限公司
- 库存:
大量
- 目录编号:
LM-7527R
- 克隆性:
多克隆
- 抗原来源:
Rabbit
- 保质期:
1年
- 抗体英文名:
FAIM3
- 抗体名:
FAS凋亡抑制分子3抗体
- 宿主:
Rabbit
- 适应物种:
Human
- 免疫原:
KLH conjugated Synthesised phosphopeptide derived from human Bag1 around the phosphorylation site of Tyr166:61-160/390 <Extracellular>
- 亚型:
IgG
- 形态:
Lyophilized or Liquid
- 应用范围:
ELISA=1:500-1000 IHC-P=1:400-800 IHC-F=1:400-800 ICC=1:100-500 IF=1:100-500 (石蜡切片需做抗原修复)
- 浓度:
1mg/ml
- 保存条件:
Store at -20 °C
- 规格:
100ul 200ul
| 英文名称 | FAIM3 |
| 中文名称 | FAS凋亡抑制分子3抗体 |
| 别 名 | Faim3; FAIM3_HUMAN; Fas apoptotic inhibitory molecule 3; Fc mu receptor; FCMR; IgM Fc receptor; Immunoglobulin mu Fc receptor; Regulator of Fas induced apoptosis; Regulator of Fas-induced apoptosis Toso; TOSO. |
| 规格价格 | 100ul/1380元 购买 200ul/2200元 购买 大包装/询价 |
| 说 明 书 | 100ul 200ul |
| 研究领域 | 细胞生物 信号转导 细胞凋亡 |
| 抗体来源 | Rabbit |
| 克隆类型 | Polyclonal |
| 交叉反应 | Human, |
| 产品应用 | ELISA=1:500-1000 IHC-P=1:400-800 IHC-F=1:400-800 ICC=1:100-500 IF=1:100-500 (石蜡切片需做抗原修复) not yet tested in other applications. optimal dilutions/concentrations should be determined by the end user. |
| 分 子 量 | 41kDa |
| 细胞定位 | 细胞膜 分泌型蛋白 |
| 性 状 | Lyophilized or Liquid |
| 浓 度 | 1mg/ml |
| 免 疫 原 | KLH conjugated Synthesised phosphopeptide derived from human Bag1 around the phosphorylation site of Tyr166:61-160/390 <Extracellular> |
| 亚 型 | IgG |
| 纯化方法 | affinity purified by Protein A |
| 储 存 液 | 0.01M TBS(pH7.4) with 1% BSA, 0.03% Proclin300 and 50% Glycerol. |
| 保存条件 | Store at -20 °C for one year. Avoid repeated freeze/thaw cycles. The lyophilized antibody is stable at room temperature for at least one month and for greater than a year when kept at -20°C. When reconstituted in sterile pH 7.4 0.01M PBS or diluent of antibody the antibody is stable for at least two weeks at 2-4 °C. |
| PubMed | PubMed |
| 产品介绍 | background: The oncogene BCL2 is a membrane protein that blocks a step in a pathway leading to apoptosis or programmed cell death. The protein encoded by this May play a role in the immune system processes. Protects cells from FAS-, TNF alpha- and FADD-induced apoptosis without increasing expression of the inhibitors of apoptosis BCL2 and BCLXL. Seems to activate an inhibitory pathway that prevents CASP8 activation following FAS stimulation, rather than blocking apoptotic signals downstream. May inhibit FAS-induced apoptosis by preventing CASP8 processing through CFLAR up-regulation. Function: May play a role in the immune system processes. Protects cells from FAS-, TNF alpha- and FADD-induced apoptosis without increasing expression of the inhibitors of apoptosis BCL2 and BCLXL. Seems to activate an inhibitory pathway that prevents CASP8 activation following FAS stimulation, rather than blocking apoptotic signals downstream. May inhibit FAS-induced apoptosis by preventing CASP8 processing through CFLAR up-regulation. Subcellular Location: Isoform 1: Membrane; Single-pass membrane protein. Isoform 3: Secreted. Note=Detected in the serum. Tissue Specificity: Expressed in lymph nodes, peripheral blood leukocytes, lung, thymus and kidneys. Very weak expression detected in spleen, liver, heart, and salivary gland. Expressed in lymphoid cell lines such as Jurkat, CEM-T4, MOLT-4, HB11;19 and Reh. No expression detected in nonhematopoietic cell lines including Hep-G2, HEK293 and HeLa. Detected at high levels in chronic lymphocytic leukemia cells. Similarity: Contains 1 Ig-like (immunoglobulin-like) domain. SWISS: O60667 Gene ID: 9214 Database links: Entrez Gene: 9214 Human Omim: 606015 Human SwissProt: O60667 Human Unigene: 58831 Human Unigene: 728324 Human Important Note: This product as supplied is intended for research use only, not for use in human, therapeutic or diagnostic applications. |
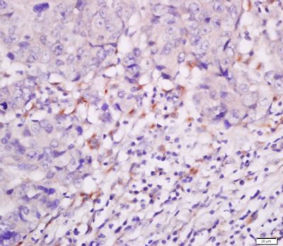
| 产品图片 | ![]() Paraformaldehyde-fixed, paraffin embedded (human colon carcinoma); Antigen retrieval by boiling in sodium citrate buffer (pH6.0) for 15min; Block endogenous peroxidase by 3% hydrogen peroxide for 20 minutes; Blocking buffer (normal goat serum) at 37°C for 30min; Antibody incubation with (FAIM3) Polyclonal Antibody, Unconjugated (bs-7527R) at 1:400 overnight at 4°C, followed by a conjugated secondary (sp-0023) for 20 minutes and DAB staining. |
风险提示:丁香通仅作为第三方平台,为商家信息发布提供平台空间。用户咨询产品时请注意保护个人信息及财产安全,合理判断,谨慎选购商品,商家和用户对交易行为负责。对于医疗器械类产品,请先查证核实企业经营资质和医疗器械产品注册证情况。
文献和实验小分子抗体的类型及优点 小分子抗体包括:Fab(由完整的轻链和Fd构成),Fv(由VH和VL构成),ScFv(单链抗体,VH和VL之间由一连接肽连接而成),单域抗体(仅由VH组成),最小识别单位(MRU,由一个CDR组成)以及超变区多肽、双链抗体、三链抗体、微型抗体等几种类型。小分子抗体的优点是比较明显的: 1. 制备方法较其他基因工程抗体简单。 2.免疫原性要比原来的McAb弱得多。如果将改形抗体构建成小分子抗体,更有可能消除其免疫
抗体分子的抗原表位 抗原进入体内,选择出带有特定BCR的B细胞发生克隆扩增,分化成浆细胞后大量分泌特异性抗体(称为Abl),当Abl数量足够多时,又可以作为抗原,诱发形成抗抗体(Ab2)。在此过程中,抗体分子有三种结构可以作为抗原表位,针对性地诱导相应的抗抗体。 抗体分子作为抗原时的表位特征及相应抗抗体的诱导 首先是同种型(isotype)。同种型有两重含义,一是指物种内抗体类别(class)的差异;二是指相同抗体类别结构的种间差异。显然,同一个体内和同一物种不同
免疫系统 单核吞细胞系 B细胞抗原 识别受体(BCR) 补体分子 (C分子) 骨髓 皮肤免疫系统 其它免疫细胞 白细胞分化抗原(CD分子) 主要组织相容性分子(MHC分子) 其它受体分子 细胞因子(CKs) 第二章 免疫球蛋白分子 抗体分子(antibody,Ab)是由浆细胞合成和分泌的,而每一种浆细胞克隆可以产生一种特异的抗体分子,所以血清中的抗体是多种抗体分子的混合物,它们的化学结构是不均一的,而且含量很少,不易纯化,是抗体分子结构分析的困难。
技术资料暂无技术资料 索取技术资料










