相关产品推荐更多 >
万千商家帮你免费找货
0 人在求购买到急需产品
- 详细信息
- 技术资料
- 供应商:
上海联迈生物工程有限公司
- 库存:
大量
- 目录编号:
LM-19543R
- 克隆性:
多克隆
- 抗原来源:
Rabbit
- 保质期:
1年
- 抗体英文名:
NUP155
- 抗体名:
核孔复合蛋白Nup155抗体
- 宿主:
Rabbit
- 适应物种:
Human, Mouse, Rat, Zebrafish,
- 免疫原:
KLH conjugated synthetic peptide derived from human NUP155:201-300/1391
- 亚型:
IgG
- 形态:
Lyophilized or Liquid
- 应用范围:
ELISA=1:500-1000 IHC-P=1:400-800 IHC-F=1:400-800 ICC=1:100-500 IF=1:100-500 (石蜡切片需做抗原修复)
- 浓度:
1mg/ml
- 保存条件:
Store at -20 °C
- 规格:
100ul 200ul
| 英文名称 | NUP155 |
| 中文名称 | 核孔复合蛋白Nup155抗体 |
| 别 名 | 155 kDa nucleoporin; D930027M19Rik; KIAA0791; mKIAA0791; N155; NU155_HUMAN; Nuclear pore complex protein Nup155; nucleoporin 155kD; Nucleoporin Nup155; Nup155. |
| 规格价格 | 100ul/1380元 购买 200ul/2200元 购买 大包装/询价 |
| 说 明 书 | 100ul 200ul |
| 研究领域 | 细胞生物 染色质和核信号 信号转导 |
| 抗体来源 | Rabbit |
| 克隆类型 | Polyclonal |
| 交叉反应 | Human, Mouse, Rat, Zebrafish, |
| 产品应用 | ELISA=1:500-1000 IHC-P=1:400-800 IHC-F=1:400-800 ICC=1:100-500 IF=1:100-500 (石蜡切片需做抗原修复) not yet tested in other applications. optimal dilutions/concentrations should be determined by the end user. |
| 分 子 量 | 155kDa |
| 细胞定位 | 细胞核 |
| 性 状 | Lyophilized or Liquid |
| 浓 度 | 1mg/ml |
| 免 疫 原 | KLH conjugated synthetic peptide derived from human NUP155:201-300/1391 |
| 亚 型 | IgG |
| 纯化方法 | affinity purified by Protein A |
| 储 存 液 | 0.01M TBS(pH7.4) with 1% BSA, 0.03% Proclin300 and 50% Glycerol. |
| 保存条件 | Store at -20 °C for one year. Avoid repeated freeze/thaw cycles. The lyophilized antibody is stable at room temperature for at least one month and for greater than a year when kept at -20°C. When reconstituted in sterile pH 7.4 0.01M PBS or diluent of antibody the antibody is stable for at least two weeks at 2-4 °C. |
| PubMed | PubMed |
| 产品介绍 | background: Nucleoporins are proteins that play an important role in the assembly and functioning of the nuclear pore complex (NPC) which regulates the movement of macromolecules across the nuclear envelope (NE). The protein encoded by this gene plays a role in the fusion of NE vesicles and formation of the double membrane NE. The protein may also be involved in cardiac physiology and may be associated with the pathogenesis of atrial fibrillation. Alternative splicing results in multiple transcript variants of this gene. A pseudogene associated with this gene is located on chromosome 6. [provided by RefSeq, May 2013] Function: Essential component of nuclear pore complex. Nucleoporins may be involved both in binding and translocating proteins during nucleocytoplasmic transport. Subcellular Location: Nucleus > nuclear pore complex. Nucleus membrane. Nucleus membrane. In mitosis, assumes a diffuse cytoplasmic distribution probably as a monomer, before reversing back into a punctate nuclear surface localization at the end of mitosis. Tissue Specificity: Expressed in all tissues tested, including heart, brain, placenta, lung, liver, skeletal muscle, kidney and pancreas. Post-translational modifications: Phosphorylated. Phosphorylation and dephosphorylation may be important for the function of NUP155 and may play a role in the reversible disassembly of the nuclear pore complex during mitosis. Similarity: Belongs to the non-repetitive/WGA-negative nucleoporin family. SWISS: O75694 Gene ID: 9631 Database links: Entrez Gene: 9631 Human Entrez Gene: 427443 Chicken Entrez Gene: 461913 Chimpanzee Entrez Gene: 506738 Cow Entrez Gene: 479360 Dog Entrez Gene: 101133763 Gorilla Entrez Gene: 100053405 Horse Entrez Gene: 170762 Mouse Entrez Gene: 100437988 Orangutan Entrez Gene: 100517061 Pig Entrez Gene: 100347238 Rabbit Entrez Gene: 117021 Rat Entrez Gene: 706019 Rhesus monkey Entrez Gene: 380494 Xenopus laevis Entrez Gene: 100379911 Xenopus tropicalis Omim: 606694 Human SwissProt: O75694 Human SwissProt: Q99P88 Mouse SwissProt: P37199 Rat Unigene: 547696 Human Unigene: 295168 Mouse Unigene: 11328 Rat Important Note: This product as supplied is intended for research use only, not for use in human, therapeutic or diagnostic applications. |
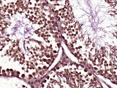
| 产品图片 | ![]() Paraformaldehyde-fixed, paraffin embedded (Mouse testis); Antigen retrieval by boiling in sodium citrate buffer (pH6.0) for 15min; Block endogenous peroxidase by 3% hydrogen peroxide for 20 minutes; Blocking buffer (normal goat serum) at 37°C for 30min; Antibody incubation with (NUP155) Polyclonal Antibody, Unconjugated (bs-19543R) at 1:400 overnight at 4°C, followed by operating according to SP Kit(Rabbit) (sp-0023) instructionsand DAB staining. |
风险提示:丁香通仅作为第三方平台,为商家信息发布提供平台空间。用户咨询产品时请注意保护个人信息及财产安全,合理判断,谨慎选购商品,商家和用户对交易行为负责。对于医疗器械类产品,请先查证核实企业经营资质和医疗器械产品注册证情况。
技术资料暂无技术资料 索取技术资料











