相关产品推荐更多 >
万千商家帮你免费找货
0 人在求购买到急需产品
- 详细信息
- 文献和实验
- 技术资料
- 供应商:
上海联迈生物工程有限公司
- 库存:
大量
- 目录编号:
LM-33327M
- 克隆性:
多克隆
- 抗原来源:
Rabbit
- 保质期:
1年
- 抗体英文名:
MMP2
- 抗体名:
基质金属蛋白酶2单克隆抗体
- 宿主:
Rabbit
- 适应物种:
Human, Mouse, Rat, Dog, Pig, Cow, Horse, Rabbit, Sheep, Guinea Pig,
- 免疫原:
KLH conjugated synthetic peptide derived from human MMP2:
- 亚型:
IgG
- 形态:
Lyophilized or Liquid
- 应用范围:
IHC-P=1:400-800 IHC-F=1:400-800 ICC=1:100-500 IF=1:100-500 (石蜡切片需做抗原修复)
- 浓度:
1mg/ml
- 保存条件:
Store at -20 °C
- 规格:
50ul 100ul
| 英文名称 | MMP2 |
| 中文名称 | 基质金属蛋白酶2单克隆抗体 |
| 别 名 | Collagenase Type 4 alpha; Collagenase type IV A; Gelatinase A; Gelatinase alpha; Gelatinase neutrophil; Matrix metallopeptidase 2 gelatinase A 72kDa gelatinase 72kDa type IV collagenase; Matrix metalloproteinase 2 (gelatinase A, 72kDa gelatinase, 72kDa type IV collagenase); Matrix Metalloproteinase 2; Matrix metalloproteinase II; MMP 2; MMP II; MONA; Neutrophil gelatinase; TBE 1; MMP2_HUMAN. |
| 规格价格 | 50ul/860元 购买 100ul/1580元 购买 大包装/询价 |
| 说 明 书 | 50ul 100ul |
| 研究领域 | |
| 抗体来源 | Mouse |
| 克隆类型 | Monoclonal |
| 克 隆 号 | 3H1 |
| 交叉反应 | Human, Mouse, Rat, Dog, Pig, Cow, Horse, Rabbit, Sheep, Guinea Pig, |
| 产品应用 | IHC-P=1:400-800 IHC-F=1:400-800 ICC=1:100-500 IF=1:100-500 (石蜡切片需做抗原修复) not yet tested in other applications. optimal dilutions/concentrations should be determined by the end user. |
| 分 子 量 | 64/72kDa |
| 细胞定位 | 细胞核 细胞浆 细胞膜 细胞外基质 分泌型蛋白 |
| 性 状 | Liquid |
| 浓 度 | 1mg/ml |
| 免 疫 原 | KLH conjugated synthetic peptide derived from human MMP2: |
| 亚 型 | IgG1 |
| 纯化方法 | affinity purified by Protein G |
| 储 存 液 | 0.01M TBS(pH7.4) with 1% BSA, 0.03% Proclin300 and 50% Glycerol. |
| 保存条件 | Store at -20 °C for one year. Avoid repeated freeze/thaw cycles. The lyophilized antibody is stable at room temperature for at least one month and for greater than a year when kept at -20°C. When reconstituted in sterile pH 7.4 0.01M PBS or diluent of antibody the antibody is stable for at least two weeks at 2-4 °C. |
| PubMed | PubMed |
| 产品介绍 | background: Proteins of the matrix metalloproteinase (MMP) family are involved in the breakdown of extracellular matrix in normal physiological processes, such as embryonic development, reproduction, and tissue remodeling, as well as in disease processes, such as arthritis and metastasis. Most MMP's are secreted as inactive proproteins which are activated when cleaved by extracellular proteinases. This gene encodes an enzyme which degrades type IV collagen, the major structural component of basement membranes. The enzyme plays a role in endometrial menstrual breakdown, regulation of vascularization and the inflammatory response. Mutations in this gene have been associated with Winchester syndrome and Nodulosis-Arthropathy-Osteolysis (NAO) syndrome. Two transcript variants encoding different isoforms have been found for this gene. [provided by RefSeq]. Function: Ubiquitinous metalloproteinase that is involved in diverse functions such as remodeling of the vasculature, angiogenesis, tissue repair, tumor invasion, inflammation, and atherosclerotic plaque rupture. As well as degrading extracellular matrix proteins, can also act on several nonmatrix proteins such as big endothelial 1 and beta-type CGRP promoting vasoconstriction. Also cleaves KISS at a Gly-|-Leu bond. Appears to have a role in myocardial cell death pathways. Contributes to myocardial oxidative stress by regulating the activity of GSK3beta. Cleaves GSK3beta in vitro. PEX, the C-terminal non-catalytic fragment of MMP2, posseses anti-angiogenic and anti-tumor properties and inhibits cell migration and cell adhesion to FGF2 and vitronectin. Ligand for integrinv/beta3 on the surface of blood vessels. Isoform 2: Mediates the proteolysis of CHUK/IKKA and initiates a primary innate immune response by inducing mitochondrial-nuclear stress signaling with activation of the pro-inflammatory NF-kappaB, NFAT and IRF transcriptional pathways. Subunit: Interacts (via the C-terminal hemopexin-like domains-containing region) with the integrin alpha-V/beta-3; the interaction promotes vascular invasion in angiogenic vessels and melamoma cells. Interacts (via the C-terminal PEX domain) with TIMP2 (via the C-terminal); the interaction inhibits the degradation activity. Interacts with GSK3B. Subcellular Location: Isoform 1: Secreted, extracellular space, extracellular matrix. Membrane. Nucleus. Note=Colocalizes with integrin alphaV/beta3 at the membrane surface in angiogenic blood vessels and melanomas. Found in mitochondria, along microfibrils, and in nuclei of cardiomyocytes. Isoform 2: Cytoplasm. Mitochondrion. Tissue Specificity: Produced by normal skin fibroblasts. PEX is expressed in a number of tumors including gliomas, breast and prostate. Post-translational modifications: Phosphorylation on multiple sites modulates enzymatic activity. Phosphorylated by PKC in vitro. The propeptide is processed by MMP14 (MT-MMP1) and MMP16 (MT-MMP3). Autocatalytic cleavage in the C-terminal produces the anti-angiogenic peptide, PEX. This processing appears to be facilitated by binding integrinv/beta3. DISEASE: Defects in MMP2 are the cause of Torg-Winchester syndrome (TWS) [MIM:259600]; also known as multicentric osteolysis nodulosis and arthropathy (MONA). TWS is an autosomal recessive osteolysis syndrome. It is severe with generalized osteolysis and osteopenia. Subcutaneous nodules are usually absent. Torg-Winchester syndrome has been associated with a number of additional features including coarse face, corneal opacities, patches of thickened, hyperpigmented skin, hypertrichosis and gum hypertrophy. However, these features are not always present and have occasionally been observed in other osteolysis syndromes. Similarity: Belongs to the peptidase M10A family. Contains 3 fibronectin type-II domains. Contains 4 hemopexin-like domains. SWISS: P08253 Gene ID: 4313 Database links: Entrez Gene: 4313 Human Entrez Gene: 17390 Mouse Entrez Gene: 81686 Rat Omim: 120360 Human SwissProt: P08253 Human SwissProt: P33434 Mouse SwissProt: P33436 Rat Unigene: 513617 Human Unigene: 29564 Mouse Unigene: 6422 Rat Important Note: This product as supplied is intended for research use only, not for use in human, therapeutic or diagnostic applications. |
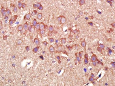
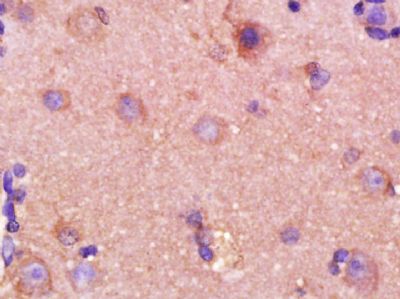
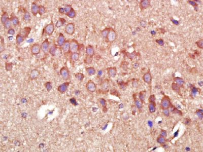
| 产品图片 | ![]() Paraformaldehyde-fixed, paraffin embedded (Human glioma); Antigen retrieval by boiling in sodium citrate buffer (pH6.0) for 15min; Block endogenous peroxidase by 3% hydrogen peroxide for 20 minutes; Blocking buffer (normal goat serum) at 37°C for 30min; Antibody incubation with (MMP2) Monoclonal Antibody, Unconjugated (bsm-33327M) at 1:400 overnight at 4°C, followed by operating according to SP Kit(Mouse) (sp-0024) instructionsand DAB staining. ![]() Paraformaldehyde-fixed, paraffin embedded (Rat brain); Antigen retrieval by boiling in sodium citrate buffer (pH6.0) for 15min; Block endogenous peroxidase by 3% hydrogen peroxide for 20 minutes; Blocking buffer (normal goat serum) at 37°C for 30min; Antibody incubation with (MMP2) Monoclonal Antibody, Unconjugated (bsm-33327M) at 1:500 overnight at 4°C, followed by a conjugated secondary (sp-0023) for 20 minutes and DAB staining. |
风险提示:丁香通仅作为第三方平台,为商家信息发布提供平台空间。用户咨询产品时请注意保护个人信息及财产安全,合理判断,谨慎选购商品,商家和用户对交易行为负责。对于医疗器械类产品,请先查证核实企业经营资质和医疗器械产品注册证情况。
文献和实验【求助】关于培养中细胞的基质金属蛋白酶(MMPs)的检测问题
topicare 逼人行将做一个关于基质金属蛋白酶(MMPs)的实验,阅读了一些文献,发现MMPs的功能较多,其中一个重要的作用就是在恶性肿瘤的侵袭和转移中发挥重要作用。此外MMPs的多水平调节也相当复杂,但是,目前已有的研究表明激素、生长因子、癌基因和细胞周期素均可影响MMPs的转录,其中IL-1、IL-12、表皮生长因子(EGF)、血小板衍生生长因子(PDGF)、转化生长因子α(TGFα)、肿瘤坏死因子α(TNFα)均能上调MMPs的表达,而转化生长因子β
【讨论】有没有研究EMT的,请过来看一看(MMP 2/9对肾纤维化的正负作用!)!!
, 3) TBM disruption, and 4) enhanced cell migration and invasion.)。 那么在步骤(3)中,TBM disruption主要是指MMPs对TBM的破坏作用,根据文献具体来说是指明胶酶MMP 2/9水解IV型胶原,从而破坏TBM,并直接促进EMT的发展导致肾脏纤维化。我的问题也就出在这个上面! 大家知道MMPs是指基质金属蛋白酶,它的主要作用是水解细胞外基质(ECM)等各型胶原成分,另外它还可以作为信号分子参与很多细胞因子的信号
。报道表明,在体内肿瘤成像中,花青素染料和QDs同单克隆抗体和单链抗体部分都可以耦合在一起。 可激活定靶探针 可激活定靶探针一般用于酶活的功能成像。它们往往含有两个以上的等同或不同的色素团,两个色素团通过酶特异性多肽接头彼此紧密相连。这类探针主要呈黑色,没有或者很少发射荧光,这主要是由于非常相近(等同色素团)或者共振能的转移(不同色素团 )所造成的淬灭效应所致。多肽接头的切除,使它们的荧光团释放出来,荧光发射于是得以恢复。因此,可激活探针的背景信号通常很低,但造影和检测的灵敏性却高于活性探针
技术资料暂无技术资料 索取技术资料












