相关产品推荐更多 >
万千商家帮你免费找货
0 人在求购买到急需产品
- 详细信息
- 文献和实验
- 技术资料
- 供应商:
上海联迈生物工程有限公司
- 库存:
大量
- 目录编号:
LM-33293M
- 克隆性:
多克隆
- 抗原来源:
Rabbit
- 保质期:
1年
- 抗体英文名:
GSK-3 Beta
- 抗体名:
糖原合酶激酶-3β单克隆抗体
- 宿主:
Rabbit
- 适应物种:
Human, Mouse, Rat, Bee,
- 免疫原:
KLH conjugated synthetic peptide derived from human GSK-3 Beta:
- 亚型:
IgG
- 形态:
Lyophilized or Liquid
- 应用范围:
WB=1:500-1000 ELISA=1:1000-5000 IHC-P=1:400-800 IHC-F=1:200-500 ICC=1:100-500 IF=1:200-500 (石蜡切片需做抗原修复)
- 浓度:
1mg/ml
- 保存条件:
Store at -20 °C
- 规格:
50ul 100ul
| 英文名称 | GSK-3 Beta |
| 中文名称 | 糖原合酶激酶-3β单克隆抗体 |
| 别 名 | glycogen synthase kinase 3 beta; GSK 3 beta; GSK 3B; GSK3B; GSK3B protein; GSK3beta isoform; GSK3 beta; Glycogen synthase kinase-3 beta; GSK-3 beta; GSK3B_HUMAN. GSK 3β; GSK 3 β; GSK-3β; GSK3β; |
| 规格价格 | 50ul/860元 购买 100ul/1580元 购买 大包装/询价 |
| 说 明 书 | 50ul 100ul |
| 研究领域 | 细胞生物 转录调节因子 激酶和磷酸酶 |
| 抗体来源 | Mouse |
| 克隆类型 | Monoclonal |
| 克 隆 号 | 3A6 |
| 交叉反应 | Human, Mouse, Rat, Bee, |
| 产品应用 | WB=1:500-1000 ELISA=1:1000-5000 IHC-P=1:400-800 IHC-F=1:200-500 ICC=1:100-500 IF=1:200-500 (石蜡切片需做抗原修复) not yet tested in other applications. optimal dilutions/concentrations should be determined by the end user. |
| 分 子 量 | 47kDa |
| 细胞定位 | 细胞核 细胞浆 细胞膜 |
| 性 状 | Lyophilized or Liquid |
| 浓 度 | 1mg/ml |
| 免 疫 原 | KLH conjugated synthetic peptide derived from human GSK-3 Beta: |
| 亚 型 | IgG |
| 纯化方法 | affinity purified by Protein G |
| 储 存 液 | 0.01M TBS(pH7.4) with 1% BSA, 0.03% Proclin300 and 50% Glycerol. |
| 保存条件 | Store at -20 °C for one year. Avoid repeated freeze/thaw cycles. The lyophilized antibody is stable at room temperature for at least one month and for greater than a year when kept at -20°C. When reconstituted in sterile pH 7.4 0.01M PBS or diluent of antibody the antibody is stable for at least two weeks at 2-4 °C. |
| PubMed | PubMed |
| 产品介绍 | background: The protein encoded by this gene is a serine-threonine kinase, belonging to the glycogen synthase kinase subfamily. It is involved in energy metabolism, neuronal cell development, and body pattern formation. Polymorphisms in this gene have been implicated in modifying risk of Parkinson disease, and studies in mice show that overexpression of this gene may be relevant to the pathogenesis of Alzheimer disease. Alternatively spliced transcript variants encoding different isoforms have been found for this gene.[provided by RefSeq, Sep 2009] Function: Constitutively active protein kinase that acts as a negative regulator in the hormonal control of glucose homeostasis, Wnt signaling and regulation of transcription factors and microtubules, by phosphorylating and inactivating glycogen synthase (GYS1 or GYS2), EIF2B, CTNNB1/beta-catenin, APC, AXIN1, JUN, NFATC1/NFATC, MAPT/TAU and MACF1. Requires primed phosphorylation of the majority of its substrates. In skeletal muscle, contributes to insulin regulation of glycogen synthesis by phosphorylating and inhibiting GYS1 activity and hence glycogen synthesis. May also mediate the development of insulin resistance by regulating activation of transcription factors. Regulates protein synthesis by controlling the activity of initiation factor 2B (EIF2BE/EIF2B5) in the same manner as glycogen synthase. In Wnt signaling, GSK3B forms a multimeric complex with APC, AXIN1 and CTNNB1/beta-catenin and phosphorylates the N-terminus of CTNNB1 leading to its degradation mediated by ubiquitin/proteasomes. Phosphorylates JUN at sites proximal to its DNA-binding domain, thereby reducing its affinity for DNA. Phosphorylates NFATC1/NFATC on conserved serine residues promoting NFATC1/NFATC nuclear export, shutting off NFATC1/NFATC gene regulation, and thereby opposing the action of calcineurin. Phosphorylates MAPT/TAU on 'Thr-548', decreasing significantly MAPT/TAU ability to bind and stabilize microtubules. MAPT/TAU is the principal component of neurofibrillary tangles in Alzheimer disease. Plays an important role in ERBB2-dependent stabilization of microtubules at the cell cortex. Phosphorylates MACF1, inhibiting its binding to microtubules which is critical for its role in bulge stem cell migration and skin wound repair. Probably regulates NF-kappa-B (NFKB1) at the transcriptional level and is required for the NF-kappa-B-mediated anti-apoptotic response to TNF-alpha (TNF/TNFA). Negatively regulates replication in pancreatic beta-cells, resulting in apoptosis, loss of beta-cells and diabetes. Phosphorylates MUC1 in breast cancer cells, decreasing the interaction of MUC1 with CTNNB1/beta-catenin. Is necessary for the establishment of neuronal polarity and axon outgrowth. Phosphorylates MARK2, leading to inhibit its activity. Phosphorylates SIK1 at 'Thr-182', leading to sustain its activity. Subunit: Monomer. Interacts with ARRB2 and DISC1. Interacts with CABYR, MMP2, MUC1, NIN and PRUNE Interacts with AXIN1; the interaction mediates hyperphosphorylation of CTNNB1 leading to its ubiquitination and destruction. Interacts with and phosphorylates SNAI1. Interacts with DNM1L (via a C-terminal domain). Found in a complex composed of MACF1, APC, AXIN1, CTNNB1 and GSK3B. Subcellular Location: Cytoplasm. Nucleus. Cell membrane. Note=The phosphorylated form shows localization to cytoplasm and cell membrane. The MEMO1-RHOA-DIAPH1 signaling pathway controls localization of the phosophorylated form to the cell membrane. Tissue Specificity: Expressed in testis, thymus, prostate and ovary and weakly expressed in lung, brain and kidney. Post-translational modifications: Phosphorylated by AKT1 and ILK1. Upon insulin-mediated signaling, the activated PKB/AKT1 protein kinase phosphorylates and desactivates GSK3B, resulting in the dephosphorylation and activation of GYS1. Activated by phosphorylation at Tyr-216. Similarity: Belongs to the protein kinase superfamily. CMGC Ser/Thr protein kinase family. GSK-3 subfamily. Contains 1 protein kinase domain. SWISS: P49841 Gene ID: 2932 Database links: Entrez Gene: 2932 Human Entrez Gene: 56637 Mouse Entrez Gene: 84027 Rat Omim: 605004 Human SwissProt: P49841 Human SwissProt: Q9WV60 Mouse SwissProt: P18266 Rat Unigene: 445733 Human Unigene: 394930 Mouse Unigene: 10426 Rat Important Note: This product as supplied is intended for research use only, not for use in human, therapeutic or diagnostic applications. |
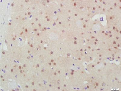
| 产品图片 | ![]() Sample: A431 Cell (Human) Lysate at 40 ug A549 Cell (Human) Lysate at 40 ug DU145 Cell (Human) Lysate at 40 ug Primary: Anti- GSK-3 Beta (bsm-33293M) at 1/1000 dilution Secondary: IRDye800CW Goat Anti-Mouse IgG at 1/20000 dilution Predicted band size: 47 kD Observed band size: 47 kD ![]() Sample: Hela(Human) Cell Lysate at 30 ug 293T(Human) Cell Lysate at 30 ug Primary: Anti-GSK-3 Beta (bsm-33293M) at 1/1000 dilution Secondary: IRDye800CW Goat Anti-Mouse IgG at 1/20000 dilution Predicted band size: 47 kD Observed band size: 48 kD ![]() Paraformaldehyde-fixed, paraffin embedded (Mouse brain); Antigen retrieval by boiling in sodium citrate buffer (pH6.0) for 15min; Block endogenous peroxidase by 3% hydrogen peroxide for 20 minutes; Blocking buffer (normal goat serum) at 37°C for 30min; Antibody incubation with (GSK-3 Beta) Monoclonal Antibody, Unconjugated (bsm-33293M) at 1:400 overnight at 4°C, followed by a conjugated secondary (sp-0023) for 20 minutes and DAB staining. |
风险提示:丁香通仅作为第三方平台,为商家信息发布提供平台空间。用户咨询产品时请注意保护个人信息及财产安全,合理判断,谨慎选购商品,商家和用户对交易行为负责。对于医疗器械类产品,请先查证核实企业经营资质和医疗器械产品注册证情况。
文献和实验【求助】如何证明GSK-3beta的抑制是由Wnt通路引起的?
magichunter 我现在能够证明GSK-3beta的活性受到了抑制,同时也证明了b-catenin在核内和胞浆内的表达都升高了,同时胞浆内的磷酸化b-catenin含量降低(Wnt通路被激活了吗)。另外Akt的磷酸化增高(应该是PI3K/Akt通路被激活了)。因为Wnt和PI3K/Akt两条通路都可以抑制GSK的活性。 请问能否判断GSK的抑制是由Wnt通路的激活引起的,还是有PI3K/Akt的激活引起的?还是两条通路都激活了? (暂时我还不能进行
beta的活性问题, 例如说, 文献中说gsk在基础状态下士处于一种低活性状态,这个低活性状态的意思指的是第九位的含量高还是指216位的含量低? 另外,gsk3-beta在糖代谢途径中发挥作用的话是否需要216位的磷酸化才能磷酸化糖原合酶?或者说是不是没有216位也能磷酸化糖原合酶?只是有了216位后磷酸化作用更强? 问题可能有点浅显~~~ zhangyinghua8106 我最近也因为GSK-3 beta 总蛋白与磷酸化蛋白活性之间
lizzy514 请问细胞中总的GSK-3β应该包括磷酸化的GSK-3β蛋白吧? 做WB检测细胞中GSK-3β和9位点磷酸化的GSK-3β(活性受抑制的形式)蛋白表达的变化,提取的是细胞总蛋白,那用GSK-3β抗体检测的GSK-3β的表达不仅仅只是非磷酸化的蛋白(活性形式)吧? 万分感谢!!! 坏坏的真心爱 有人回答吗?我也想知道 zhanglin1229 不是,GSK-3β
技术资料暂无技术资料 索取技术资料













