相关产品推荐更多 >
万千商家帮你免费找货
0 人在求购买到急需产品
- 详细信息
- 文献和实验
- 技术资料
- 供应商:
上海联迈生物工程有限公司
- 库存:
大量
- 目录编号:
LM-10832M
- 克隆性:
多克隆
- 抗原来源:
Rabbit
- 保质期:
1年
- 抗体英文名:
S100B
- 抗体名:
S100B蛋白
- 宿主:
Rabbit
- 适应物种:
Human, Mouse, Rat,
- 免疫原:
KLH conjugated synthetic peptide derived from human S100B:
- 亚型:
IgG
- 形态:
Lyophilized or Liquid
- 应用范围:
ELISA=1:500-1000 IHC-P=1:400-800 IHC-F=1:400-800 ICC=1:100-500 IF=1:100-500 (石蜡切片需做抗原修复)
- 浓度:
1mg/ml
- 保存条件:
Store at -20 °C
- 规格:
50ul 100ul
| 英文名称 | S100B |
| 中文名称 | S100B蛋白 |
| 别 名 | NEF; Protein S100 B; Protein S100-B; S 100 calcium binding protein beta chain; S 100 protein beta chain; S 100 protein beta subunit; S-100 protein beta chain; S-100 protein subunit beta; S100; S100 calcium binding protein B; S100 calcium binding protein beta (neural); S100 calcium binding protein beta chain; S100 calcium-binding protein B; S100 protein beta chain; S100B_HUMAN; S100beta; S100 β; S100-β; S100β. |
| 规格价格 | 50ul/860元 购买 100ul/1580元 购买 大包装/询价 |
| 说 明 书 | 50ul 100ul |
| 研究领域 | 肿瘤 细胞生物 神经生物学 细胞周期蛋白 细胞分化 |
| 抗体来源 | Mouse |
| 克隆类型 | Monoclonal |
| 克 隆 号 | 1C6 |
| 交叉反应 | Human, Mouse, Rat, |
| 产品应用 | ELISA=1:500-1000 IHC-P=1:400-800 IHC-F=1:400-800 ICC=1:100-500 IF=1:100-500 (石蜡切片需做抗原修复) not yet tested in other applications. optimal dilutions/concentrations should be determined by the end user. |
| 分 子 量 | 10kDa |
| 细胞定位 | 细胞核 细胞浆 |
| 性 状 | Lyophilized or Liquid |
| 浓 度 | 1mg/ml |
| 免 疫 原 | KLH conjugated synthetic peptide derived from human S100B: |
| 亚 型 | IgG |
| 纯化方法 | affinity purified by Protein A |
| 储 存 液 | 0.01M TBS(pH7.4) with 1% BSA, 0.03% Proclin300 and 50% Glycerol. |
| 保存条件 | Store at -20 °C for one year. Avoid repeated freeze/thaw cycles. The lyophilized antibody is stable at room temperature for at least one month and for greater than a year when kept at -20°C. When reconstituted in sterile pH 7.4 0.01M PBS or diluent of antibody the antibody is stable for at least two weeks at 2-4 °C. |
| PubMed | PubMed |
| 产品介绍 | background: S100 beta is a member of the S100 family of proteins containing 2 EF-hand calcium binding motifs. S100 proteins are localized in the cytoplasm and/or nucleus of a wide range of cells, and involved in the regulation of a number of cellular processes such as cell cycle progression and differentiation. S100 genes include at least 13 members which are located as a cluster on chromosome 1q21; however, this gene is located at 21q22.3. This protein may function in neurite extension, proliferation of melanoma cells, stimulation of Ca2+ fluxes, inhibition of PKC mediated phosphorylation, astrocytosis and axonal proliferation, and inhibition of microtubule assembly. Chromosomal rearrangements and altered expression of this gene have been implicated in several neurological, neoplastic, and other types of diseases, including Alzheimer's disease, Down's syndrome, epilepsy, amyotrophic lateral sclerosis, melanoma, and type I diabetes. Function: Weakly binds calcium but binds zinc very tightly-distinct binding sites with different affinities exist for both ions on each monomer. Physiological concentrations of potassium ion antagonize the binding of both divalent cations, especially affecting high-affinity calcium-binding sites. Binds to and initiates the activation of STK38 by releasing autoinhibitory intramolecular interactions within the kinase. Interaction with AGER after myocardial infarction may play a role in myocyte apoptosis by activating ERK1/2 and p53/TP53 signaling. Subunit: Dimer of either two alpha chains, or two beta chains, or one alpha and one beta chain. The S100B dimer binds two molecules of STK38 (By similarity). The S100B dimer interacts with two molecules of CAPZA1. Subcellular Location: Cytoplasm. Nucleus. Tissue Specificity: Although predominant among the water-soluble brain proteins, S100 is also found in a variety of other tissues. Similarity: Belongs to the S-101 family. Contains 2 EF-hand domains. SWISS: P04271 Gene ID: 6285 Database links: Entrez Gene: 6285 Human Omim: 176990 Human SwissProt: P04271 Human Unigene: 422181 Human Important Note: This product as supplied is intended for research use only, not for use in human, therapeutic or diagnostic applications. 结构蛋白(Structural Proteins) S100B是一组可溶性、相对低分子质量、高酸性蛋白,属神经胶质细胞特异性蛋白,亦可存在于神经纤维中。在研究肠神经系统的形态特征及结构特征中,S100B有良好的表达功能。 S100B蛋白其生理作用尚不清楚,可能与细胞内钙离子媒介的调节作用有关。S100B蛋白可存在于神经鞘瘤,成软骨细胞瘤、软骨肉瘤、骨肉瘤、神经胶质瘤、郎格罕斯细胞瘤、一些癌肿和黑素细胞肿瘤等。 在免疫组化中,除了恶性黑素瘤皮损,S100B蛋白还在良性黑素细胞痣中增加,如:蓝痣、普通后天痣、雀斑样痣、Spitz痣、气球状细胞痣、色素性梭形细胞痣和发育不良痣中表达。还有报道S100B蛋白的染色强度与肿瘤细胞的黑素含量呈负相关。结缔组织增生性的或亲神经的黑素瘤不易染色。 |
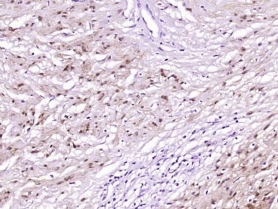
| 产品图片 | ![]() Paraformaldehyde-fixed, paraffin embedded (Human neurofibroma); Antigen retrieval by boiling in sodium citrate buffer (pH6.0) for 15min; Block endogenous peroxidase by 3% hydrogen peroxide for 20 minutes; Blocking buffer (normal goat serum) at 37°C for 30min; Antibody incubation with (S100B) Monoclonal Antibody, Unconjugated (bsm-10832M 1C6) at 1:400 overnight at 4°C, followed by operating according to SP Kit(Mouse) (sp-0024) instructionsand DAB staining. ![]() Paraformaldehyde-fixed, paraffin embedded (Rat brain); Antigen retrieval by boiling in sodium citrate buffer (pH6.0) for 15min; Block endogenous peroxidase by 3% hydrogen peroxide for 20 minutes; Blocking buffer (normal goat serum) at 37°C for 30min; Antibody incubation with (S100B) Monoclonal Antibody, Unconjugated (bsm-10832M 1C6) at 1:400 overnight at 4°C, followed by operating according to SP Kit(Mouse) (sp-0024) instructionsand DAB staining. |
风险提示:丁香通仅作为第三方平台,为商家信息发布提供平台空间。用户咨询产品时请注意保护个人信息及财产安全,合理判断,谨慎选购商品,商家和用户对交易行为负责。对于医疗器械类产品,请先查证核实企业经营资质和医疗器械产品注册证情况。
文献和实验上海西唐生物科技有限公司 021-55229872, 65333639 www.westang.com 人S100 b 蛋白 ( S100 b )ELISA 试剂盒 ( 用于血清、血浆、细胞培养上清液和其它生物体液内 ) 原理 本实验采用双抗体夹心 ABC-ELISA 法。用抗人 S100 b 单抗包被于酶标板上,标准品和样品中的 S100 b 与单抗结合,加入
上海西唐生物科技有限公司 021-55229872, 65333639 www.westang.com 兔S100 b 蛋白 ( S100 b )ELISA 试剂盒 ( 用于血清、血浆、细胞培养上清液和其它生物体液内 ) 原理 本实验采用双抗体夹心 ABC-ELISA 法。用抗兔 S100 b 单抗包被于酶标板上,标准品和样品中的 S100 b 与单抗结合,加入
上海西唐生物科技有限公司 021-55229872, 65333639 www.westang.com 猪S100 b 蛋白 ( S100 b )ELISA 试剂盒 ( 用于血清、血浆、细胞培养上清液和其它生物体液内 ) 原理 本实验采用双抗体夹心 ABC-ELISA 法。用抗猪 S100 b 单抗包被于酶标板上,标准品和样品中的 S100 b 与单抗结合,加入
技术资料暂无技术资料 索取技术资料












