相关产品推荐更多 >
万千商家帮你免费找货
0 人在求购买到急需产品
- 详细信息
- 技术资料
- 供应商:
上海联迈生物工程有限公司
- 库存:
大量
- 目录编号:
LM-9462R
- 克隆性:
多克隆
- 抗原来源:
Rabbit
- 保质期:
1年
- 抗体英文名:
HOPX/LAGY
- 抗体名:
肺癌相关蛋白Y抗体
- 宿主:
Rabbit
- 适应物种:
Human, Mouse, Rat, Pig, Cow, Horse, Rabbit, Sheep,
- 免疫原:
KLH conjugated synthetic peptide derived from human HOPX/LAGY:21-60/73
- 亚型:
IgG
- 形态:
Lyophilized or Liquid
- 应用范围:
ELISA=1:500-1000 IHC-P=1:400-800 IHC-F=1:400-800 Flow-Cyt=1μg/Test IF=1:50-200 (石蜡切片需做抗原修复)
- 浓度:
1mg/ml
- 保存条件:
Store at -20 °C
- 规格:
100ul 200ul
HOPX/LAGY肺癌相关蛋白Y抗体
| 英文名称 | HOPX/LAGY |
| 中文名称 | 肺癌相关蛋白Y抗体 |
| 别 名 | SMAP31; CAMEO; HOD; Homeodomain-only protein; HOP; HOP homeobox; HOP_HUMAN; HOPX; LAGY; Lung cancer-associated Y protein; NECC1; Not expressed in choriocarcinoma clone 1; Not expressed in choriocarcinoma protein 1; Odd homeobox protein 1; TOTO. |
| 规格价格 | 100ul/1380元 购买 200ul/2200元 购买 大包装/询价 |
| 说 明 书 | 100ul 200ul |
| 研究领域 | 肿瘤 心血管 转录调节因子 表观遗传学 |
| 抗体来源 | Rabbit |
| 克隆类型 | Polyclonal |
| 交叉反应 | Human, Mouse, Rat, Pig, Cow, Horse, Rabbit, Sheep, |
| 产品应用 | ELISA=1:500-1000 IHC-P=1:400-800 IHC-F=1:400-800 Flow-Cyt=1μg/Test IF=1:50-200 (石蜡切片需做抗原修复) not yet tested in other applications. optimal dilutions/concentrations should be determined by the end user. |
| 分 子 量 | 8kDa |
| 细胞定位 | 细胞核 细胞浆 |
| 性 状 | Lyophilized or Liquid |
| 浓 度 | 1mg/ml |
| 免 疫 原 | KLH conjugated synthetic peptide derived from human HOPX/LAGY:21-60/73 |
| 亚 型 | IgG |
| 纯化方法 | affinity purified by Protein A |
| 储 存 液 | 0.01M TBS(pH7.4) with 1% BSA, 0.03% Proclin300 and 50% Glycerol. |
| 保存条件 | Store at -20 °C for one year. Avoid repeated freeze/thaw cycles. The lyophilized antibody is stable at room temperature for at least one month and for greater than a year when kept at -20°C. When reconstituted in sterile pH 7.4 0.01M PBS or diluent of antibody the antibody is stable for at least two weeks at 2-4 °C. |
| PubMed | PubMed |
| 产品介绍 | background: Atypical homeodomain protein which does not bind DNA and is required to modulate cardiac growth and development. Acts via its interaction with SRF, thereby modulating the expression of SRF-dependent cardiac-specific genes and cardiac development. Prevents SRF-dependent transcription either by inhibiting SRF binding to DNA or by recruiting histone deacetylase (HDAC) proteins that prevent transcription by SRF. Overexpression causes cardiac hypertrophy (By similarity). May act as a tumor suppressor. Function: Atypical homeodomain protein which does not bind DNA and is required to modulate cardiac growth and development. Acts via its interaction with SRF, thereby modulating the expression of SRF-dependent cardiac-specific genes and cardiac development. Prevents SRF-dependent transcription either by inhibiting SRF binding to DNA or by recruiting histone deacetylase (HDAC) proteins that prevent transcription by SRF. Overexpression causes cardiac hypertrophy (By similarity). May act as a tumor suppressor. Subunit: Interacts with serum response factor (SRF). Component of a large complex containing histone deacetylases such as HDAC2 (By similarity). Subcellular Location: Nucleus. Tissue Specificity: Widely expressed. Expressed in the heart, brain, placenta, lung, skeletal and smooth muscles, uterus, urinary bladder, kidney and spleen. Down-regulated in some types of cancer such as lung cancer, choriocarcinoma, head and neck squamous cell carcinoma and oral squamous cell carcinoma. Similarity: Contains 1 homeobox DNA-binding domain. SWISS: Q9BPY8 Gene ID: 84525 Database links: Entrez Gene: 281270 Cow Entrez Gene: 84525 Human Entrez Gene: 74318 Mouse Entrez Gene: 396692 Pig Entrez Gene: 171160 Rat Omim: 607275 Human SwissProt: Q8MJD5 Cow SwissProt: Q9BPY8 Human SwissProt: Q8R1H0 Mouse SwissProt: Q8MJD6 Pig SwissProt: Q78ZR5 Rat Unigene: 619396 Human Unigene: 181852 Mouse Unigene: 478741 Mouse Unigene: 2989 Rat Important Note: This product as supplied is intended for research use only, not for use in human, therapeutic or diagnostic applications. |
| 产品图片 |
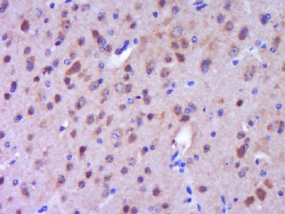
Paraformaldehyde-fixed, paraffin embedded (Mouse brain); Antigen retrieval by boiling in sodium citrate buffer (pH6.0) for 15min; Block endogenous peroxidase by 3% hydrogen peroxide for 20 minutes; Blocking buffer (normal goat serum) at 37°C for 30min; Antibody incubation with (HOPX) Polyclonal Antibody, Unconjugated (bs-9462R) at 1:400 overnight at 4°C, followed by operating according to SP Kit(Rabbit) (sp-0023) instructionsand DAB staining.
Blank control(blue): Hela(fixed with 2% paraformaldehyde (10 min) and then permeabilized with ice-cold 90% methanol for 30 min on ice).
Primary Antibody: Rabbit Anti- LAGY/AF488 antibody(bs-9462R-AF488), Dilution: 1μg in 100 μL 1X PBS containing 0.5% BSA; Isotype Control Antibody: Rabbit IgG/AF488(orange) ,used under the same conditions. |
风险提示:丁香通仅作为第三方平台,为商家信息发布提供平台空间。用户咨询产品时请注意保护个人信息及财产安全,合理判断,谨慎选购商品,商家和用户对交易行为负责。对于医疗器械类产品,请先查证核实企业经营资质和医疗器械产品注册证情况。
技术资料暂无技术资料 索取技术资料
HOPX/LAGY肺癌相关蛋白Y抗体
¥1380 - 2200












