相关产品推荐更多 >
万千商家帮你免费找货
0 人在求购买到急需产品
- 详细信息
- 询价记录
- 文献和实验
- 技术资料
- 供应商:
上海联迈生物工程有限公司
- 库存:
大量
- 目录编号:
LM-5029R
- 克隆性:
多克隆
- 抗原来源:
Rabbit
- 保质期:
1年
- 抗体英文名:
SAHH
- 抗体名:
S腺苷L-同型半胱氨酸水解酶抗体
- 宿主:
Rabbit
- 适应物种:
Human, Mouse, Rat, Chicken, Dog, Pig, Cow, Horse, Rabbit,
- 免疫原:
KLH conjugated synthetic peptide derived from human SAHH:25-125/432
- 亚型:
IgG
- 形态:
Lyophilized or Liquid
- 应用范围:
WB=1:500-2000 ELISA=1:500-1000 IHC-P=1:400-800 IHC-F=1:400-800 IF=1:100-500 (石蜡切片需做抗原修复)
- 浓度:
1mg/ml
- 保存条件:
Store at -20 °C
- 规格:
50ul 100ul 200ul
| 英文名称 | SAHH |
| 中文名称 | S腺苷L-同型半胱氨酸水解酶抗体 |
| 别 名 | Adenosylhomocysteinase; AdoHcyase; ahcY; S adenosyl L homocysteine hydrolase; S adenosylhomocysteine hydrolase; S-adenosyl-L-homocysteine hydrolase; SAHH; SAHH_HUMAN. |
| 规格价格 | 50ul/780元 购买 100ul/1380元 购买 200ul/2200元 购买 大包装/询价 |
| 说 明 书 | 50ul 100ul 200ul |
| 研究领域 | 肿瘤 细胞生物 免疫学 信号转导 转录调节因子 |
| 抗体来源 | Rabbit |
| 克隆类型 | Polyclonal |
| 交叉反应 | Human, Mouse, Rat, Chicken, Dog, Pig, Cow, Horse, Rabbit, |
| 产品应用 | WB=1:500-2000 ELISA=1:500-1000 IHC-P=1:400-800 IHC-F=1:400-800 IF=1:100-500 (石蜡切片需做抗原修复) not yet tested in other applications. optimal dilutions/concentrations should be determined by the end user. |
| 分 子 量 | 48kDa |
| 细胞定位 | 细胞浆 |
| 性 状 | Lyophilized or Liquid |
| 浓 度 | 1mg/ml |
| 免 疫 原 | KLH conjugated synthetic peptide derived from human SAHH:25-125/432 |
| 亚 型 | IgG |
| 纯化方法 | affinity purified by Protein A |
| 储 存 液 | 0.01M TBS(pH7.4) with 1% BSA, 0.03% Proclin300 and 50% Glycerol. |
| 保存条件 | Store at -20 °C for one year. Avoid repeated freeze/thaw cycles. The lyophilized antibody is stable at room temperature for at least one month and for greater than a year when kept at -20°C. When reconstituted in sterile pH 7.4 0.01M PBS or diluent of antibody the antibody is stable for at least two weeks at 2-4 °C. |
| PubMed | PubMed |
| 产品介绍 | background: Adenosylhomocysteine is a competitive inhibitor of S-adenosyl-L-methionine-dependent methyl transferase reactions; therefore adenosylhomocysteinase may play a key role in the control of methylations via regulation of the intracellular concentration of adenosylhomocysteine. Function: Adenosylhomocysteine is a competitive inhibitor of S-adenosyl-L-methionine-dependent methyl transferase reactions; therefore adenosylhomocysteinase may play a key role in the control of methylations via regulation of the intracellular concentration of adenosylhomocysteine. Subunit: Homotetramer. Subcellular Location: Cytoplasm. Melanosome. Note=Identified by mass spectrometry in melanosome fractions from stage I to stage IV. DISEASE: Defects in AHCY are the cause of hypermethioninemia with S-adenosylhomocysteine hydrolase deficiency (HMAHCHD) [MIM:613752]. A metabolic disorder characterized by hypermethioninemia associated with failure to thrive, mental and motor retardation, facial dysmorphism with abnormal hair and teeth, and myocardiopathy. Similarity: Belongs to the adenosylhomocysteinase family. SWISS: P23526 Gene ID: 191 Database links: Entrez Gene: 191 Human Entrez Gene: 269378 Mouse Entrez Gene: 29443 Rat Omim: 180960 Human SwissProt: P23526 Human SwissProt: P50247 Mouse SwissProt: P10760 Rat Unigene: 388004 Human Unigene: 330692 Mouse Unigene: 371964 Mouse Unigene: 5878 Rat Important Note: This product as supplied is intended for research use only, not for use in human, therapeutic or diagnostic applications. |
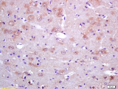
| 产品图片 | ![]() Tissue/cell: rat brain tissue; 4% Paraformaldehyde-fixed and paraffin-embedded; Antigen retrieval: citrate buffer ( 0.01M, pH 6.0 ), Boiling bathing for 15min; Block endogenous peroxidase by 3% Hydrogen peroxide for 30min; Blocking buffer (normal goat serum,C-0005) at 37℃ for 20 min; Incubation: Anti-SAHH Polyclonal Antibody, Unconjugated(bs-5029R) 1:200, overnight at 4°C, followed by conjugation to the secondary antibody(SP-0023) and DAB(C-0010) staining |
风险提示:丁香通仅作为第三方平台,为商家信息发布提供平台空间。用户咨询产品时请注意保护个人信息及财产安全,合理判断,谨慎选购商品,商家和用户对交易行为负责。对于医疗器械类产品,请先查证核实企业经营资质和医疗器械产品注册证情况。
- 作者
- 内容
- 询问日期
文献和实验图28-3 叶酸和维生素B 12 的代谢及它们的相互关系 【体内过程】正常机体每日最低需要叶酸50μg,食物中每天有50~200μg叶酸在十二指肠和空肠上段吸收,妊娠妇女可增至300~400μg。食物中叶酸多为聚谷氨酸形式,吸收前必须在肠粘膜经α-L-谷胺酰转移酶(α-L-glutamyl transferase)水解成单谷氨酸形式,并经还原和移甲基作用形成5-CH 3 H 4 PteGlu后才吸收
的代谢及它们的相互关系 【体内过程】正常机体每日最低需要叶酸50μg,食物中每天有50~200μg叶酸在十二指肠和空肠上段吸收,妊娠妇女可增至300~400μg。食物中叶酸多为聚谷氨酸形式,吸收前必须在肠粘膜经α-L-谷胺酰转移酶(α-L-glutamyl transferase)水解成单谷氨酸形式,并经还原和移甲基作用形成5-CH 3 H 4 PteGlu后才吸收入肝及血液,广泛分布于体内。经尿和胆汁排出
桥抗体(抗种属A的IgG抗体)应过量,使其Fab段一个与一抗结合,另一个则游离。 • 因抗酶抗体与一抗均系种属A IgG,具有相同的抗原性,所以桥抗体游离的Fab能与抗酶抗体结合,起桥作用,将其连接在与组织抗原结合的一抗上。 (2) 非标记抗体酶法——PAP法 • 与酶桥法相似,不同的是,PAP法将酶桥法的第3、4步并为1步,用PAP复合物代替; • PAP是离体制备的复合物(HRP--抗HRP)。 • 显色与酶桥法相同,PAP复合物中的过氧化物酶催化底物水解,形成不溶
技术资料暂无技术资料 索取技术资料











